Что такое аскаридоз?
Аскаридоз — это форма гельминтозов, вызванная круглыми червями из класса нематод и семейства Ascarididae (аскариды). Эти паразиты обитают в кишечнике человека и животных. По данным Центра по контролю и профилактике заболеваний США (CDC), от аскаридоза страдают от 807 миллионов до 1,2 миллиарда людей по всему миру.
Существует несколько видов аскарид, поражающих различных позвоночных, включая кошек, собак, птиц и свиней. Обычно эти паразиты выбирают определённый вид хозяев и не затрагивают другие животные. Например, Ascaris lumbricoides (человеческая аскарида) паразитирует исключительно в организме человека, где может существовать от одного до двух лет.
Основной ареал обитания аскарид — тонкий кишечник. Эти черви не имеют специальных приспособлений, таких как сколексы, для прикрепления к стенкам кишечника. Чтобы удержаться в кишечнике, взрослой аскариде необходимо постоянно двигаться против направления пищевого комка. Живых аскарид невозможно обнаружить в кале; в фекалиях можно найти только мёртвых особей или яйца, отложенные самками. Размножение происходит только при наличии половозрелых самок и самцов, так как особи одного пола не могут воспроизводиться. Однако такие случаи редки, поскольку при массовой инвазии обычно присутствуют представители обоих полов.
В странах с высокими санитарно-гигиеническими условиями и развитой медициной уровень заболеваемости аскаридозом значительно ниже, чем в развивающихся странах, где отсутствуют чистая вода и качественная пища. Наиболее подвержены заражению дети в возрасте от 3 до 7 лет, так как в этом возрасте они часто не соблюдают гигиенические нормы, реже моют руки, употребляют плохо вымытые фрукты и овощи, а также играют с животными.
Симптомы аскаридоза чаще всего проявляются во время миграции личинок и взрослых особей по организму. Они зависят от стадии паразитарной инвазии и места локализации гельминтов. Наиболее распространённые проявления связаны с нарушениями работы пищеварительной системы (из-за жизнедеятельности взрослых особей) и органов дыхания (где мигрируют личинки).
Аскаридоз, как правило, не приводит к летальному исходу, однако нарушения в организме могут вызвать серьёзные осложнения. Это особенно касается детей и взрослых с ослабленным иммунитетом, которые находятся в группе риска.
Врачи отмечают, что аскаридоз у взрослых может проявляться разнообразными симптомами, включая боли в животе, тошноту, рвоту и потерю аппетита. Часто пациенты жалуются на общую слабость и утомляемость, что связано с нарушением усвоения питательных веществ. Важно отметить, что некоторые люди могут не испытывать явных симптомов, что затрудняет диагностику. Для лечения аскаридоза врачи рекомендуют антигельминтные препараты, такие как мебендазол или альбендазол, которые эффективно уничтожают паразитов. Также необходима поддерживающая терапия для восстановления функций организма. Специалисты подчеркивают важность профилактики, включая соблюдение правил личной гигиены и санитарных норм, чтобы избежать повторного заражения.

Кто такая аскарида?
Аскарида — паразитический червь, известный как Ascaris lumbricoides, относящийся к классу круглых гельминтов. Самки достигают длины до 40 см, а самцы — до 25 см. Ширина этих организмов варьируется от 4 до 6 см. Характерной особенностью самцов является изогнутая в сторону брюшка хвостовая часть. Аскариды имеют бело-розовый или жёлто-розовый цвет и веретенообразную форму. Яйца аскарид можно обнаружить в почве, воде и на растительных продуктах. Паразиты передаются орально-фекальным путём, что означает, что они могут попасть в организм через загрязнённую воду, почву или пищу.
Личинки аскарид проникают в человеческий организм при недостаточном соблюдении правил личной гигиены. Заболевание проявляется повышением температуры, общим недомоганием, упорным сухим кашлем, нарушениями работы желудочно-кишечного тракта и аллергическими реакциями. Для диагностики паразитарной инвазии проводят анализ кала на яйца глистов. Дополнительные методы диагностики включают общий анализ крови и серологические тесты. Взрослые особи аскарид часто выявляются при рентгенографии лёгких и кишечника.
| Симптом | Тяжесть симптома | Возможные методы лечения/меры |
|---|---|---|
| Боль в животе | От легкой до сильной, спастического характера | Спазмолитики (например, но-шпа), тепло на живот, диета |
| Тошнота и рвота | Легкая до сильной, может сопровождаться желчью | Противорвотные препараты, обильное питье, диета |
| Диарея или запор | Может чередоваться | Диета, нормализация стула, пробиотики (при необходимости) |
| Кашель | Сухой или влажный, может быть с мокротой | Отхаркивающие средства, обильное питье |
| Лихорадка | Низкая или умеренная | Жаропонижающие препараны, обильное питье, постельный режим |
| Аллергические реакции | Кожная сыпь, зуд, отек Квинке | Антигистаминные препараты, в тяжелых случаях – гормональные препараты |
| Ухудшение общего состояния | Слабость, утомляемость, снижение работоспособности | Постельный режим, симптоматическое лечение, диета |
| Нарушение сна | Бессонница, ночные кошмары | Седативные препараты (по назначению врача) |
| Гепатомегалия (увеличение печени) | Различной степени выраженности | Диета, гепатопротекторы (по назначению врача) |
| Пневмония (в редких случаях) | Различной степени тяжести | Антибиотики (по назначению врача), симптоматическое лечение |
Сколько живут аскариды в организме человека?
Аскариды обитают в тонком кишечнике человека. Они удерживаются в этом органе благодаря движению, противоположному движению пищи. Яйца аскарид и мертвые особи выводятся с калом. Паразит может существовать в организме человека от одного до двух лет, после чего умирает от старости. При заражении в кишечнике, как правило, развиваются особи обоих полов.
Аскаридоз — это инфекционное заболевание, вызванное паразитами, которые могут вызывать серьезные проблемы со здоровьем у взрослых. Люди часто отмечают, что симптомы аскаридоза могут быть разнообразными и не всегда очевидными. На ранних стадиях заболевания пациенты жалуются на общую слабость, усталость, потерю аппетита и иногда на боли в животе. В более запущенных случаях могут возникать аллергические реакции, такие как сыпь и кашель, что связано с миграцией личинок аскарид через легкие.
Лечение аскаридоза обычно включает применение антигельминтных препаратов, таких как мебендазол или альбендазол. Важно, чтобы терапия проводилась под контролем врача, так как неправильное лечение может привести к осложнениям. Профилактика заболевания заключается в соблюдении правил личной гигиены и санитарии, что особенно актуально для людей, работающих в сельском хозяйстве или имеющих контакт с загрязненной почвой. В целом, осведомленность о симптомах и методах лечения аскаридоза помогает людям своевременно обращаться за медицинской помощью и предотвращать развитие серьезных осложнений.

Как выглядят яйца аскарид в кале?
Яйца аскарид в фекалиях трудно заметить без специального оборудования, так как их размеры составляют от 0,05 до 0,07 мм. Они могут быть круглой или овальной формы. Если яйцо гельминта не оплодотворено, его форма будет неправильной. Яйцо окружено плотной оболочкой из нескольких слоев. Для детального изучения требуется микроскоп. Яйца появляются в фекалиях примерно через 2-3 месяца после заражения паразитами.
Сколько яиц откладывает аскарида ежедневно?
Каждый день взрослая аскарида в кишечнике человека производит более 200 000 неинвазионных яиц. Эти яйца выводятся с калом. Попадая в почву, при подходящих условиях они через две недели становятся инфекционными.

Симптомы аскаридоза
Аскаридоз у взрослых
Аскаридоз у взрослых, не имеющих серьезных хронических заболеваний, может долго протекать без явных симптомов. Признаки, такие как отрыжка, изжога, проблемы с пищеварением и боли в животе, пациенты часто связывают с изменениями в рационе или режиме питания. Это связано с тем, что аскаридоз не имеет характерных симптомов, однозначно указывающих на заболевание. В большинстве случаев его необходимо отличать от других заболеваний пищеварительной системы.
Симптоматика аскаридоза варьируется в зависимости от стадии болезни и наличия сопутствующих заболеваний. Выделяют две основные стадии: раннюю (миграционную) и позднюю (кишечную). Миграционная стадия длится от 2 до 3 недель, в течение которых личинки перемещаются с кровотоком через печень и легкие. Кишечная стадия может продолжаться год и более, пока аскариды находятся в тонком кишечнике пациента.
В каких органах возникают симптомы аскаридоза?
Наиболее сильно от аскаридоза страдает тонкий кишечник, где взрослые особи паразита питаются и размножаются. Однако сложный жизненный цикл аскарид заставляет их проникать также в дыхательную и кровеносную системы. В этих органах личинки аскарид находятся лишь короткое время по сравнению с кишечной фазой заболевания.
Органы, в которые могут проникать аскариды при обширной инвазии:
- Кишечник на всем протяжении, включая слепую кишку и аппендикс;
- Протоки поджелудочной железы;
- Желудок и пищевод (на короткий срок);
- Желчный пузырь и холедох (желчные протоки);
- Легкие;
- Печень;
- Сердце.
В других органах присутствие аскарид нетипично. В таких случаях они могут образовывать полости, напоминающие абсцессы. Эти образования не увеличиваются и не разрушаются самостоятельно, не представляя опасности, так как в них личинки аскарид не могут развиваться до взрослой формы.
Симптомы аскаридоза в фазе миграции
Симптоматика аскаридоза в основном проявляется в желудочно-кишечном тракте и дыхательной системе. Гельминты повреждают ткани легких и кишечника, а также могут вызывать аллергические реакции. Время появления симптомов зависит от количества аскарид в организме. При низкой инвазии наблюдаются стертые, слабо выраженные симптомы (утомляемость, слабость, снижение работоспособности) или отсутствие проявлений.
Симптомы аскаридоза при значительной инвазии:
- Кашель – может быть сухим или влажным, различной интенсивности, с выделением слизистой мокроты, иногда с примесью крови. Он возникает из-за повреждения легочных тканей при перемещении личинок из капилляров в альвеолы.
- Боль в грудной клетке умеренной силы – вызвана перемещением личинок и временным отключением части легкого от дыхательного процесса.
- Одышка при физической активности – проявляется при выраженной аллергической реакции и наличии в анамнезе бронхиальной астмы.
- Субфебрильная температура (37-37,9 °C) с ознобом, болями в мышцах и суставах, повышенным потоотделением и болями в животе.
- Тахикардия – учащенное сердцебиение с частотой 80 ударов в минуту и выше.
- Колебания артериального давления – чаще всего в сторону гипотонии, с понижением до 90/60 мм рт. ст. и ниже.
Аллергические симптомы у взрослых пациентов возникают нечасто и проявляются в полной мере только при высокой чувствительности организма. Чаще всего аллергия проявляется в период линьки личинок аскарид и может выражаться отеками, зудом кожи и сыпью. Запуск биохимических реакций в организме происходит из-за циркуляции иммуноглобулина класса IgE. Это может привести к крапивнице, увеличению лимфатических узлов, аллергическим гепатитам и миокардитам. Самым серьезным осложнением аллергии на продукты жизнедеятельности аскарид является анафилактический шок, который может закончиться летальным исходом из-за удушья.
На поздних стадиях аскаридоза и при его переходе в хроническую форму большинство симптомов связано с активностью зрелых аскарид в тонком кишечнике.
Симптомы аскаридоза в кишечной фазе
После повторного попадания аскарид в тонкий кишечник они начинают активно развиваться. Это может привести к следующим признакам:
- Нестабильный стул: запоры чередуются с поносами.
- Вздутие живота и симптомы, схожие с дизентерией.
- Боли в животе, сопровождающиеся тошнотой и рвотой. Болевые ощущения чаще всего локализуются в правой подвздошной области и вокруг пупка, имеют схваткообразный характер.
- Зуд в области ануса и покраснение кожи вокруг него.
- Снижение аппетита и резкая потеря веса. Пациент выглядит истощенным и ослабленным.
- Неврологические проявления: истерические припадки, нарушения сна (часто мучают кошмары), ночные крики. Возможны судороги, периодически возникают головные боли и головокружения. Люди с аскаридозом быстро утомляются.
- Нарушения со стороны органов зрения встречаются редко, но могут проявляться повышенной чувствительностью к яркому свету, анизокорией и амблиопией.
- Артериальное давление у пациентов с аскаридозом, как правило, понижено.
- Анализы крови на стадии кишечной инфекции показывают нормализацию уровня эозинофилов и снижение уровня гемоглобина.
- На фоне ослабленного иммунитета страдают кожные покровы и слизистые оболочки, что приводит к частым воспалениям и нагноениям. Пациенты становятся более восприимчивыми к различным инфекциям.
- Если аскариды проникают в стенку кишечника, они могут попасть в слепую кишку и вызвать острый аппендицит.
- Массовые инвазии могут привести к закупорке желчных протоков, вызывая холецистит, механическую желтуху, абсцесс печени, перитонит и гранулематозный гепатит. При значительном скоплении червей в кишечнике развиваются симптомы кишечной непроходимости.
Клинические наблюдения фиксируют случаи удушья, когда аскариды проникают в дыхательные пути, горло и носовые пазухи. Паразиты могут быть обнаружены в легких, правом желудочке сердца и даже в головном мозге.
Аскаридоз представляет особую опасность для беременных женщин, так как вынашивание плода может осложняться сильным токсикозом, что приводит к задержке внутриутробного развития и нарушению родовой деятельности.
Осложнения аскаридоза
Данный тип гельминтоза не представляет серьезной угрозы для жизни или здоровья человека. Многие зараженные могут сосуществовать с аскаридами, не подозревая о них. Однако у некоторых групп пациентов, таких как беременные женщины или люди с хроническими заболеваниями, аскариды могут вызвать серьезные осложнения. У этих людей иммунная система ослаблена, что способствует более быстрому распространению инфекции.
Наиболее распространенные осложнения аскаридоза:
-
Непроходимость кишечника. Это состояние возникает из-за закупорки просвета тонкого кишечника клубком гельминтов или спазма кишечника, вызванного нарушением нервно-мышечной регуляции. Раздражение нервных окончаний происходит из-за выделений аскарид. Симптомы включают боли в животе, длительное отсутствие стула и сильное вздутие. Пища не может продвигаться по кишечнику, что может привести к разрыву стенки и перитониту. Несвоевременная медицинская помощь увеличивает риск интоксикации и может вызвать рвоту с запахом кала.
-
Острый панкреатит. Это состояние возникает, когда гельминты проникают в протоки поджелудочной железы, нарушая выделение пищеварительных ферментов в 12-перстную кишку. В результате ферменты задерживаются и активируются в поджелудочной железе, разрушая её структуру. Симптомы включают опоясывающую боль, отдающую в спину, кинжальную боль в верхней части живота и рвоту. Это состояние может привести к панкреонекрозу.
-
Механическая желтуха. Она возникает, когда гельминты проникают из 12-перстной кишки в желчные протоки, полностью закупоривая их. Это приводит к застою желчи и повышению уровня билирубина, что вызывает желтушный оттенок кожи и склер глаз. Также нарушается усвоение жиров, появляются головные боли, сонливость и тяжесть в правом подреберье. Чем выше уровень билирубина, тем ярче выражены симптомы.
-
Перитонит. Это состояние не является специфическим симптомом, но может возникнуть из-за бактериального заражения брюшины в результате разрыва кишечника, как осложнение аппендицита или панкреонекроза. Несвоевременная диагностика и лечение перитонита могут привести к летальному исходу.
-
Аппендицит. У пациентов с аскаридозом это осложнение встречается довольно часто, что может быть связано с проникновением аскарид в слепую кишку. Симптомы включают боли в правом нижнем квадранте живота, отдающие в пупок, повышение температуры и рвоту. Это состояние опасно для жизни и требует немедленной медицинской помощи, задержка может привести к летальному исходу.
-
Печеночный абсцесс. Он возникает, когда аскариды проникают в печень через портальную вену или желчевыводящие протоки. Гельминты повреждают слизистую оболочку органа, что позволяет гноеродным бактериям проникать в печень и вызывать абсцесс.
-
Гнойный холангит. Это состояние развивается из-за повреждения слизистой оболочки желчевыводящих путей гельминтами и присоединения бактерий, вызывающих воспаление. Симптомы включают значительное повышение температуры (до 39°C), озноб и сильные боли в правом подреберье.
-
Пневмония. Она может возникнуть на стадии легочного развития аскаридоза. Бактерии, вызывающие воспаление легких, размножаются в поврежденных капиллярах и альвеолах. Симптомы бактериальной пневмонии включают учащенное дыхание, повышение температуры и хрипы при прослушивании легких. Кратковременное пребывание личинок в дыхательной системе затрудняет установление связи между пневмонией и аскаридозом.
-
Атипичная локализация аскарид. Это состояние возникает, когда личинки или взрослые особи попадают в носовые пазухи, среднее ухо, слезный канал или органы мочеполовой системы. В этих местах они не вызывают разрушения тканей, со временем погибают и могут быть обнаружены случайно.
-
Асфиксия из-за закупорки дыхательных путей. Это состояние возникает в результате рефлекторного спазма гладкой мускулатуры, что приводит к перекрытию дыхательных путей и остановке дыхания. Спазм может быть вызван раздражением слизистой оболочки глотки личинками паразита. Асфиксии может предшествовать сильный мучительный кашель.
Чаще всего осложнения возникают из-за чрезмерной активности аскарид, которая усиливается при воздействии лекарств, присоединении кишечных инфекций или повышении температуры. Взрослые особи начинают активно двигаться по пищеварительной системе, что приводит к осложнениям. Риск их возникновения увеличивается при повторном заражении, что связано с особенностями развития паразита.
Причины заражения аскаридозом
Источником заражения аскаридами является исключительно человек.
Яйца этих паразитов, выделяемые с фекалиями больного, попадают в почву, где могут сохраняться в течение многих лет. Однако уже через две недели они становятся готовыми к инвазии личинками. Личинки не могут развиваться вне организма человека. Оптимальные условия для созревания яиц включают температуру около +24 градусов, а также влажную почву и воздух. Яйца аскарид могут попасть в человеческий организм через воду или продукты, загрязненные почвой, особенно немытые ягоды и овощи. Невыполнение правил личной гигиены и неаккуратное мытье рук увеличивают риск заражения.
Аскаридоз чаще всего наблюдается у детей дошкольного возраста, так как они не всегда соблюдают правила гигиены и часто играют с песком и землей. В группу риска также входят жители сельской местности, садоводы и дачники, а также люди, живущие в неблагоприятных условиях. Пик заражения аскаридозом наблюдается осенью и летом, когда контакты с почвой и водой становятся более частыми. В это время возрастает вероятность употребления загрязненных овощей и фруктов, а также некипяченой воды.
Заражение происходит через фекально-оральный механизм: яйца, попавшие в окружающую среду, должны снова попасть в кишечник человека. Это происходит через рот, после чего личинки мигрируют по организму и оседают в кишечнике.
Случаи самозаражения яйцами аскарид, вырабатываемыми взрослыми особями в кишечнике больного, также не редкость. Этот путь заражения часто встречается у детей, которые не моют руки, на которых могут находиться яйца гельминтов, и переносят их на еду, игрушки и предметы быта. Повторное проглатывание яиц запускает новый цикл размножения паразита.
Даже если личинки временно попадают в кровеносную систему, заразиться аскаридами через кровь невозможно. Паразит мигрирует по малому кругу кровообращения: из пищеварительного тракта в печень и легкие, а затем возвращается в глотку и ротовую полость. Заражение аскаридами при поцелуях, кашле или чихании невозможно, так как такая миграция происходит только во время сна.
Чтобы минимизировать риск заражения, следует соблюдать несколько простых правил:
- При работе с землей носите перчатки.
- Все растительные продукты тщательно мойте.
- Ногти должны быть коротко остриженными, особенно для садоводов и огородников.
- Перед приготовлением пищи или едой мойте руки с мылом.
- Дети должны с раннего возраста приучаться следить за чистотой рук.
Диагностика аскаридоза
Обнаружение аскаридоза может быть сложной задачей, так как каждая стадия развития паразита сопровождается специфическими изменениями. Врачу может потребоваться от 2 до 3 недель для точной оценки ситуации и установления наличия аскарид в организме. Обычно этого времени достаточно для выявления осложнений, вызванных паразитарной инвазией.
Методы диагностики аскаридоза у взрослых на различных этапах заболевания включают:
- Общий и биохимический анализ крови;
- Исследование крови на антитела;
- Анализ мокроты;
- Исследование кала на яйца аскарид;
- Анализ мочи;
- Рентгенография легких;
- Ультразвуковое исследование (УЗИ).
Анализ крови на аскаридоз
В большинстве случаев указанные методы не показывают конкретных изменений в организме при аскаридозе. Увеличение количества лейкоцитов фиксируется во время миграции личинок из пищеварительного тракта в лёгкие. Это свидетельствует о реакции иммунной системы на взаимодействие с гельминтом. Повышение уровня лейкоцитов связано с увеличением доли эозинофилов — клеток крови, которые первыми реагируют на паразитарные инвазии. Эта реакция временная и проявляется в течение нескольких дней. Аналогичный симптом может возникать и при аллергических реакциях, имеющих другое происхождение.
Анализ на антитела к аскаридам
Серологический метод диагностики позволяет точно выявить инвазию. Он основан на определении антител к аскаридам в сыворотке крови пациента. Эти антитела начинают вырабатываться сразу после попадания личинок гельминтов в организм. Однако такая защита не может полностью остановить паразита, который защищён кутикулой. Выработка антител лишь временно замедляет его развитие на начальном этапе.
Серологические методы исследования на антитела к аскаридам
- Реакция кольцепреципитации;
- Реакция непрямой гемагглютинации;
- Реакция агглютинации с кармином;
- Ускоренное оседание эритроцитов при наличии антигена аскарид в образце;
- Иммунофлюоресцентный анализ;
- Реакция преципитации;
- Реакция связывания комплемента;
- Реакция бентонит-флокуляции.
Методика выявления антител к аскаридам особенно информативна на стадии личинок гельминта. Наиболее точная диагностика кишечной фазы заболевания осуществляется путем анализа кала на наличие яиц глистов.
Анализ мокроты на аскаридоз
Метод информативен на лёгочной стадии аскаридоза. Микроскопический анализ мокроты, выделяемой при кашле, позволяет выявить личинки аскарид. Этот признак часто сопровождается повышением уровня эозинофилов в крови.
Если отделяемое отсутствует, исследуется лаваж — смыв бронхиального секрета, полученный во время бронхоскопии. Этот метод применяется редко, так как требует значительных усилий и может вызывать дискомфорт у пациента. Его используют как единственный способ диагностики аскаридоза у пациентов в тяжёлом состоянии.
Анализ кала на аскаридоз
Наиболее распространённым способом диагностики данного заболевания является анализ, основанный на жизненном цикле аскарид, особенно на способности самок откладывать большое количество оплодотворённых яиц. Яйца гельминта имеют желто-коричневый цвет и овальную форму, размер варьируется от 30 до 60 мкм, что позволяет легко их идентифицировать при микроскопическом исследовании кала.
Существуют различные методы исследования:
- Метод Красильниковой;
- Метод Калантарян;
- Метод Фюлленборна.
Важно отметить, что отсутствие яиц гельминта в кале пациента не является окончательным доказательством отсутствия заболевания. На стадии личинок паразит не производит яйца, и этот процесс начинается лишь через несколько месяцев после попадания в организм. Поэтому рекомендуется повторное проведение анализа кала. Если в организм попадают несколько самок, в кале могут быть обнаружены неоплодотворённые яйца, которые меньше по размеру, отличаются по цвету и труднее поддаются обнаружению при микроскопии. Мужские особи гельминтов не производят яйца, но могут причинять значительный вред организму.
Анализ мочи на аскаридоз
Специфический биохимический анализ мочи на наличие летучих жирных кислот может подтвердить диагноз аскаридоза. Эти кислоты выделяются как взрослыми особями, так и личинками гельминта в процессе углеводного обмена. Метод позволяет выявить паразита на ранних стадиях заболевания, еще до половой зрелости и начала откладки яиц. Однако следует учитывать, что данный метод может давать ложные результаты, так как аналогичные изменения могут наблюдаться и при других заболеваниях.
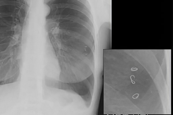
Рентгенография при аскаридозе
Метод используется для выявления изменений в легких и кишечнике. Это доступный и недорогой способ диагностики, который применяется при первых подозрениях на аскаридоз.
Изменения, которые можно увидеть на рентгеновских снимках:
- Рентгенография брюшной полости – позволяет обнаружить скопление кала и газа при кишечной непроходимости. Этот метод помогает отличить аскаридоз от других заболеваний желудочно-кишечного тракта. Однако сами аскариды на рентгеновских снимках не видны.
- Рентгенография грудной клетки – на этом снимке можно заметить изменения в тканях во время легочной стадии аскаридоза (в течение первых 10 дней). Выявляется летучий инфильтрат Леффлера, который меняет свое местоположение через несколько дней. Различия между аскаридозом и пневмонией, а также новообразованиями в легких становятся очевидными при повторной рентгенографии, когда скопления паразитов перемещаются в другую область. Пневмония может развиваться у пациентов с ослабленным иммунитетом как вторичное осложнение основного заболевания.
Ультразвуковое исследование при аскаридозе
Данная методика основана на отражении звуковых волн от тканей организма. Ультразвуковое исследование не может точно определить местоположение аскарид, но эффективно для диагностики заболеваний пищеварительной системы с похожими симптомами, таких как язва желудка и кишечника, колит и болезнь Крона. В случае осложнений УЗИ помогает выявить повреждения органов, вызванные аскаридами, например, холангит, панкреатит и кишечную непроходимость.
Среди всех методов диагностики аскаридоза наиболее надежным является серологический тест на антитела. Остальные методы используются для уточнения диагноза, так как их результаты могут указывать на заболевания, не связанные с гельминтозом.
Лечение
Для борьбы с аскаридозом врач выбирает медикаменты, учитывая возраст пациента, индивидуальные особенности организма и степень инвазии. Современные антипаразитарные препараты обеспечивают излечение в 80-100% случаев.
Противогельминтная терапия аскаридоза несложна, но должна проводиться под наблюдением врача. Специалисты располагают множеством эффективных средств, способных за один прием полностью устранить паразитов. В отличие от бактерий, гельминты не развивают устойчивость к препаратам. Однако многие из них обладают высокой токсичностью, и передозировка может негативно сказаться на здоровье. Правильный расчет дозы и её деление на несколько приемов помогают снизить риск токсического воздействия.
Основные направления комплексного лечения аскаридоза:
- Уничтожение аскарид – осуществляется с помощью высокоэффективных препаратов, позволяющих полностью вывести паразитов из организма.
- Лечение симптомов аскаридоза – проводится после уничтожения паразитов и включает купирование кашля, расстройств стула, болей в животе и других симптомов.
- Профилактика реинвазии – включает уничтожение источников повторного заражения, которые могут оставаться в окружении больного. Для этого проводятся санитарные мероприятия.
- Полноценное питание – важно для восстановления здоровья детей, отстающих в росте. Специальная диета при лечении аскаридоза не требуется.
- Курс витаминных препаратов – необходим для восполнения запасов, истощенных гельминтами в ходе инвазии.
- Лечение осложнений аскаридоза – включает дополнительные методы, в том числе хирургическое вмешательство при аппендиците или инвагинации тонкого кишечника.
- Дополнительная поддерживающая терапия – назначается лечащим врачом и может включать ферменты и пробиотики для восстановления нормального пищеварения, а также другие медикаменты.
- Лечение сопутствующих хронических заболеваний – проводится при обострении инфекций кишечника и других патологий.
Лечение аскаридоза начинается немедленно после подтверждения диагноза. В регионах с высоким уровнем распространенности инвазии проводится профилактическое лечение всех жителей однократной дозой препарата.
Лечение аскаридоза обязательно перед любыми оперативными вмешательствами на кишечнике или легких. Осложнения, вызванные аскаридозом, могут привести к летальному исходу во время операции или в послеоперационный период.
Лекарственное лечение аскаридоза
Для борьбы с аскаридозом применяются противопаразитарные средства, выбор которых зависит от расположения аскарид и стадии заболевания. Аскаридоз может быть выявлен как на остром, так и на хроническом этапе инвазии. Врач учитывает индивидуальные характеристики пациента и возможные противопоказания к использованию высокотоксичных медикаментов.
| Название препарата | Режим приёма | Противопоказания |
| Декарис (Левамизол) | Рекомендуется при значительных инвазиях. Взрослым – однократно 120-150 мг, детям – 2,5 мг на 1 кг массы тела. | Не назначается беременным и кормящим женщинам, а также детям до 14 лет. |
| Мебендазол (Вермокс) | Препарат выбора при сочетании аскаридоза и трихоцефалеза. Принимается по 100 мг дважды в день на протяжении 3-4 дней. | Противопоказан при язвенном колите, болезни Крона и печёночной недостаточности. Не рекомендуется детям до 2 лет, беременным и кормящим женщинам. |
| Минтезол (Тиабендазол) | Дозировка – 50 мг/кг массы тела дважды в день в течение недели. Эффективен на ранних стадиях заболевания. | Противопоказан детям до 2 лет, беременным и кормящим матерям. |
| Альбендазол | Взрослым назначается 100 мг, разделённых на два приёма в сутки. Курс – три дня. Для детей доза составляет 25-50 мг в сутки (возраст от 2 до 10 лет). | Не рекомендуется детям до 2 лет, беременным и кормящим женщинам. |
| Пиперазина цитрат | Эффективное средство для лечения аскаридоза и энтеробиоза, доступен в форме таблеток или раствора. Дозировка – 3 раза в день через час после еды, курс лечения – 3 дня. | Запрещено совместное применение с хлорпромазином. |
| Пирантел | Дозировка – 10 мг/кг однократно после еды. | Может использоваться при беременности под строгим контролем врача. Запрещён при почечной недостаточности и детям до полугода. |
На миграционной стадии аскаридоза для лечения детей и взрослых применяются препараты универсального действия против нематод:
- Мебендазол – Вормин, Мебекс, Вермокс (стоимость от 90 до 130 руб.), Термокс, Веро-Мебендазол, Вермакар;
- Левамизол – Декарис (стоимость от 70 до 90 руб.);
- Тиабендазол – Минтезол, Мертект, Арботект, Тресадерм, Текто.
Дополнительно могут быть назначены бронхолитики при обструктивном бронхите и воспалении лёгких, а также кортикостероиды.
На кишечной стадии аскаридоза используются следующие препараты:
- Пирантела памоат – Гельминтокс (стоимость от 90 до 120 руб.), Пирантел (от 30 до 50 руб.), Комбантрин, Немоцид, все препараты предназначены для однократного применения;
- Декарис – принимается согласно инструкции, с учётом возраста и веса пациента;
- Мебендазол – Вормин, Мебекс, Вермокс, Термокс, Веро-Мебендазол, Вермакар.
Универсальные препараты для специфического лечения аскаридоза:
- Сантонин – принимается в течение 2 суток, дозировка корректируется в зависимости от возраста. Подготовка к лечению включает очистку кишечника с помощью слабительного. Дозировка – 3 раза в день за час до еды. На ночь обязательно принимается слабительное, рекомендуется лёгкая пища. Повторный курс возможен через месяц. Противопоказания – гастроэнтерит, нефрозонефрит.
- Санкафен – высокоэффективный препарат, действующий аналогично Немозолу. Перед началом лечения пациенту назначается очистительная клизма и слабительное. Дозировка – 2 раза в день, курс – 2 дня. Препарат принимается на следующий день после лёгкого завтрака, в два приёма с интервалом в час. Через 2-2,5 часа разрешён приём пищи, вечером назначается лёгкое слабительное. Второй день лечения проходит аналогично, с тем отличием, что вечером принимается солевое слабительное. Диета во время лечения должна ограничивать жирные и острые блюда.
Самостоятельное лечение аскаридоза строго запрещено, так как неверно рассчитанная доза может привести к серьёзной интоксикации организма. Кратковременные побочные эффекты от применения препаратов могут быть разнообразными и вызвать негативные последствия для пациента.
Помимо перорального приёма, могут использоваться и другие методы введения препаратов. При массивной инвазии возможно введение лекарства через назогастральный зонд – непосредственно из носа в желудок, минуя ротовую полость и контакт со слюной.
Слабительные средства не применяются при остром аскаридозе, особенно в случае запора, так как это может быть вызвано кишечной непроходимостью, и дополнительная стимуляция кишечника может привести к разрыву его стенок и развитию перитонита. Слабительные препараты могут быть использованы после дегельминтизации для ускоренного выведения погибших или парализованных аскарид из организма.
При подозрении на бактериальную инфекцию может потребоваться курс антибиотиков. В целом, лечение аскаридоза, не осложнённого сопутствующими заболеваниями, проходит достаточно быстро.
Другие методы лечения аскаридоза
Использование кислорода
Современный подход к лечению аскаридоза, предложенный Н. Кравец
Данный метод включает введение кислорода в желудок под небольшим давлением с использованием тонкого зонда или катетера. Это особенно актуально для детей в возрасте от одного до трёх лет. Зонд вводится через нос, а устройство подключается к кислородной подушке, аппарату для пневмоторакса или баллону Ричардсона. Предварительная подготовка кишечника не требуется. Процедура проводится в положении лежа, на голодный желудок, с применением минимальных доз. Курс лечения составляет два дня, по два часа в день. Спустя несколько часов после процедуры можно возвращаться к обычному питанию, исключая лишь жирные и острые блюда.
Если в течение суток не происходит стула, рекомендуется принять слабительное. К противопоказаниям для применения данного метода относятся обострение язвы желудка и двенадцатиперстной кишки, риск перитонита, а также воспалительные заболевания желудочно-кишечного тракта.
Гептилрезорцин
Гептилрезорцин — это лекарственное средство в форме таблеток. Их не следует разжевывать, чтобы избежать раздражения слизистой оболочки рта, глотки и пищевода. Перед началом лечения необходимо убедиться, что пациент способен проглотить таблетку целиком. Подготовка к приему включает 12-часовое голодание и использование солевого слабительного накануне перед сном. Утром пациент принимает полную дозу препарата, соблюдая 5-минутный интервал между таблетками и запивая их водой.
В течение дня рекомендуется соблюдать постельный режим. На ночь или на следующее утро следует снова принять солевое слабительное. Возможные побочные эффекты, такие как боли в животе или рвота, можно облегчить с помощью теплой грелки или клизмы. Диета на протяжении всего курса лечения должна соответствовать диете, применяемой при лечении Сантонином.
Противопоказания к использованию препарата включают язвенную болезнь, воспалительные заболевания желудочно-кишечного тракта и общую ослабленность организма. Повторный курс лечения можно проводить через 20 дней.
Хеноподиевое масло
Обладает ярко выраженным вкусом и светло-желтым оттенком.
Дозировка препарата измеряется с помощью градуированной пипетки, затем смешивается со слабительным средством, например, касторовым маслом, и принимается за один раз. Подготовка к лечению включает очищение кишечника с помощью клизмы, которую следует сделать накануне вечером. На следующий день, через два часа после легкого завтрака, принимается раствор препарата. Следующий прием пищи рекомендуется через три часа. В случае запора возможно назначение слабительного или использование клизмы. Противопоказания для применения хеноподиевого масла включают заболевания почек, грудной возраст, острые заболевания желудочно-кишечного тракта, нарушения центральной нервной системы и общую слабость организма. Повторный курс лечения можно проводить через два месяца под контролем лабораторных анализов.
Для восстановления нормальной работы кишечника после лечения аскаридоза применяются энтеросорбенты, такие как Полифепан, Полисорб и активированный уголь. Эффективность противогельминтной терапии проверяется через месяц после завершения курса.
Какой врач проводит лечение аскаридоза?
Диагностику и терапию аскаридоза проводит врач-паразитолог. Однако не во всех медицинских учреждениях есть специалисты этой узкой области, поэтому вопросами паразитарных инфекций чаще всего занимается врач-инфекционист. Он выполняет аналогичные функции по диагностике и лечению аскаридоза. Первые симптомы, на которые обращает внимание пациент, обычно связаны с нарушениями в работе пищеварительной или дыхательной систем. Поэтому возможен визит к терапевту или семейному врачу. Для уточнения диагноза или устранения последствий аскаридоза могут быть привлечены узкие специалисты.
Консультация врачей при лечении аскаридоза:
- Иммунолог – при проявлениях аллергических реакций;
- Хирург – для диагностики и проведения операций при осложнениях;
- Гастроэнтеролог – при наличии хронических заболеваний пищеварительной системы;
- Микробиолог – для более детального обследования и уточнения диагноза.
Необходима ли госпитализация при аскаридозе? После установления диагноза и первичного обследования врач назначает лечение. В большинстве случаев это однократный прием противогельминтного препарата, поэтому лечение можно проводить в домашних условиях. Госпитализация для выполнения рекомендаций инфекциониста не требуется, возможно оформление больничного листа.
Подтвердить выздоровление можно только после лабораторных исследований, например, анализа кала. Лишь повторный отрицательный результат гарантирует, что пациент избавился от гельминтов.
Стационарное лечение проводится только в случае серьезных осложнений. Особое внимание следует уделить угрожающим жизни состояниям, таким как аппендицит, кишечная непроходимость и панкреатит. Присоединение инфекционных процессов, вызванных патогенными бактериями, может значительно ухудшить состояние пациента. Наблюдение врача необходимо для пациентов с сахарным диабетом, сердечной или дыхательной недостаточностью, так как аскаридоз может вызвать резкое ухудшение их состояния.
Лечение аскаридоза во время беременности
Аскаридоз и его влияние на беременность
Аскаридоз, который считается серьезным заболеванием, представляет особую угрозу для женщин во время беременности. Плацентарный барьер не защищает плод от личинок этого гельминта. Токсины, выделяемые аскаридами, негативно влияют на здоровье беременной, вызывая боли в животе, усиливающуюся тошноту и возможную рвоту.
Если личинки аскарид попадают в легкие еще не родившегося малыша, после рождения он может столкнуться с хроническим бронхитом, пневмонией, воспалениями дыхательных путей и аллергическими реакциями. Лечение этих заболеваний представляет собой сложную задачу. Аскариды, проникая в печень новорожденного, могут вызвать воспаление (гепатит) и хроническую желтуху.
При выборе противогельминтного препарата для лечения аскаридоза у беременной женщины врач предпочитает наименее токсичные средства. Наиболее часто используются Пиперазин и Гептилрезорцин.
Профилактика аскаридоза
Профилактика аскаридоза играет ключевую роль в выздоровлении от этого заболевания. Даже после удаления паразитов яйца аскарид могут оставаться в окружающей среде, что создает риск повторного заражения. Принятие профилактических мер поможет предотвратить новое инфицирование через попадание яиц и личинок паразита в организм. Пренебрежение этими мерами может привести к увеличению случаев повторного заболевания аскаридозом.
Меры по профилактике аскаридоза:
-
Раннее выявление заболевания. При подозрении на заражение аскаридами необходимо пройти обследование: анализ кала на яйца гельминтов, анализ крови на антитела к аскаридам и другие исследования. В случае положительного результата назначается лечение и проводится разъяснительная беседа о соблюдении гигиенических норм. В странах с уровнем заражения более 10% предусмотрена обязательная ежегодная проверка всех жителей региона. При уровне заражения в 40% рекомендуется массовая профилактическая терапия антигельминтными средствами.
-
Тщательное мытье рук. Поскольку земля является основной средой для распространения аскарид и их личинок, всем, кто контактирует с почвой, следует уделять особое внимание гигиене рук.
-
Мытье продуктов, не подвергающихся термической обработке. Фрукты, овощи и яйца могут контактировать с почвой, содержащей личинки аскарид. Эти продукты необходимо тщательно промывать, так как они могут употребляться в сыром виде. Кратковременное нагревание до температуры около +50°C полностью исключает риск заражения от пищи.
-
Инструктаж для сотрудников СЭС. Группы населения, находящиеся в зоне повышенного риска заражения аскаридозом, должны быть хорошо информированы о заболевании и мерах предосторожности. Это касается работников общественного питания, детских учреждений, сельского хозяйства и ассенизаторов. Инструктажи должны проводиться санитарно-эпидемиологическими службами. Важно также обучать детей соблюдению гигиенических норм с помощью родителей и воспитателей.
-
Защита почвы от фекального загрязнения. Санитарная защита почвы включает такие мероприятия, как анализ почвы перед строительством и выделением сельскохозяйственных угодий, обязательное цементирование выгребных ям и создание соответствующей законодательной базы.
-
Мониторинг состояния водопроводных и канализационных систем. Изношенные канализационные сети могут загрязнять почву фекалиями. Через повреждения в водопроводных трубах яйца аскарид могут попадать в питьевую воду и воду для приготовления пищи.
-
Борьба с переносчиками заболевания. Яйца аскарид могут переноситься на продукты питания мухами и тараканами при их контакте с фекалиями и зараженной почвой. Поэтому борьба с этими насекомыми на предприятиях общественного питания имеет важное значение.
Эффективная защита от аскаридоза возможна только при совместных усилиях врачей СЭС, эпидемиологов, инфекционистов и местной администрации. Однако их усилия могут оказаться бесполезными, если пациенты не будут соблюдать основные правила гигиены.
Вопрос-ответ
Как лечат аскаридоз у взрослых?
Терапия аскаридоза предусматривает применение противоглистных препаратов по определенной схеме: «Мебендазол» (Mebendazole, препарат выбора) – 100 мг два раза в день в течение 3-х дней (или 500 мг один раз) для взрослых, детям 2,5–5 мг/кг, курс 1–2 дня.
Какие таблетки лечат аскаридоз?
Необходима дегельминтизация противопаразитарными средствами от глистов. На миграционной стадии часто применяют Гельминдазол, на кишечной — Левамизол, Гельминтокс, Пирантел.
Советы
СОВЕТ №1
Регулярно проходите медицинские обследования, особенно если вы живете в регионах с высоким риском заражения аскаридами. Это поможет выявить заболевание на ранней стадии и начать лечение.
СОВЕТ №2
Обратите внимание на личную гигиену: мойте руки перед едой и после посещения туалета. Это простое правило значительно снижает риск заражения паразитами.
СОВЕТ №3
Избегайте употребления сырых или недостаточно обработанных продуктов, особенно овощей и фруктов, которые могут быть загрязнены яйцами аскарид. Перед употреблением тщательно мойте все продукты.
СОВЕТ №4
Если у вас появились симптомы аскаридоза, такие как боли в животе, тошнота или потеря аппетита, не откладывайте визит к врачу. Чем раньше начнется лечение, тем быстрее вы сможете избавиться от паразитов.






















