Этиология
Аллергический альвеолит возникает при вдыхании аллергенов, проникающих в легкие с воздухом. К аллергенам относятся различные вещества, среди которых наиболее опасны споры грибов, содержащиеся в заплесневелом сене, коре клена, сахарном тростнике и других источниках.
Также следует учитывать пыльцу растений, белковые соединения и домашнюю пыль. Некоторые лекарства, такие как антибиотики или производные нитрофурана, могут вызвать аллергический альвеолит даже без вдыхания, если они попадают в организм другими путями.
Важно не только наличие аллергенов в дыхательных путях, но и их концентрация и размеры. Частицы размером менее 5 мкм легко достигают альвеол и могут вызывать гиперчувствительность.
Аллергены, вызывающие экзогенный аллергический альвеолит, часто связаны с профессией. Различные виды альвеолита получили названия в зависимости от профессий:
- Легкое фермера. Антигены содержатся в заплесневелом сене, среди них: Thermophilic Actinomycetes, Aspergillus spp, Mycropolyspora faeni, Thermoactinomycas vulgaris.
- Легкое любителей птиц. Аллергены находятся в экскрементах и перхоти птиц, представляя собой сывороточные белки.
- Багассоз. Аллергеном выступает сахарный тростник, а именно Mycropolysporal faeni и Thermoactinomycas sacchari.
- Легкое грибников. Источником аллергенов является компост, а антигены – Mycropolysporal faeni и Thermoactinomycas vulgaris.
- Легкое пользователей кондиционеров. Антигены распространяются через увлажнители и кондиционеры. Сенсибилизацию вызывают такие патогены, как Thermoactinomycas vulgaris, Thermoactinomycas viridis, Ameba, Fungi.
- Субероз. Аллергены содержатся в коре пробкового дерева, а сам аллерген – Penicillum frequentans.
- Легкое варщиков солода. Источник антигенов – заплесневелый ячмень, а аллерген – Aspergillus clavatus.
- Болезнь сыроваров. Источник антигенов – частицы сыра и плесени, а сам антиген – Penicillum cseii.
- Секвойз. Аллергены находятся в древесной пыли секвойи, представлены Graphium spp., Upullaria spp., Alternaria spp.
- Легкое производителей детергентов. Аллерген находится в ферментах и детергентах, представлен Bacillus subtitus.
- Легкое лаборантов. Источниками аллергенов являются перхоть и моча грызунов, а сами аллергены – протеины их мочи.
- Легкое нюхающих порошок гипофиза. Антиген представлен свиными и бычьими протеинами, содержащимися в порошке гипофиза.
- Легкое работников в производстве пластмасс. Диизоцианаты становятся источником сенсибилизации, аллергенами являются Toluene diisocianate и diphenylmethane diisocianate.
- Летний пневмонит. Заболевание возникает из-за попадания в дыхательные пути пыли из влажных жилых помещений, распространено в Японии. Источник аллергенов – Trichosporon cutaneum.
Термофильные актиномицеты и антигены птиц играют ключевую роль в развитии экзогенного аллергического альвеолита. В регионах с развитым сельским хозяйством именно актиномицеты становятся основными виновниками ЭАА. Эти бактерии имеют размер менее 1 мкм и обладают свойствами как микробов, так и грибов. Они обитают в почве, компосте и воде, а также в кондиционерах.
К экзогенному аллергическому альвеолиту могут привести термофильные актиномицеты, такие как Mycropolyspora faeni, Thermoactinomycas vulgaris, Thermoactinomycas viridis, Thermoactinomycas sacchari и Thermoactinomycas scandidum.
Все перечисленные патогенные микроорганизмы активно размножаются при температуре 50-60 °C, что соответствует условиям гниения органики. Такие температуры могут поддерживаться в системах отопления. Актиномицеты способны вызывать багассоз, «легкое фермера», «легкое грибников» и другие заболевания, упомянутые выше.
Антигены, поражающие людей, работающих с птицами, представляют собой сывороточные белки, такие как альбумин и гамма-глобулины, которые содержатся в птичьем помете и выделениях кожных желез голубей, попугаев и канареек.
Люди, ухаживающие за птицами, могут столкнуться с аллергическим альвеолитом при длительном контакте с животными. Заболевание могут спровоцировать белки крупнорогатого скота и свиней.
Наиболее активным грибковым антигеном является Aspergillus spp., различные виды которого могут вызывать субероз, легкое варщиков солода или легкое сыроваров.
Не стоит думать, что проживание в городе и отсутствие связи с сельским хозяйством защищает от экзогенного аллергического альвеолита. Aspergillus fumigatus прекрасно размножается в сырых помещениях с плохой вентиляцией, особенно при высокой температуре.
Также в группе риска находятся люди, чья работа связана с реактивными химическими соединениями, такими как пластмассы, смолы, краски и полиуретан. Особенно опасны фталевый ангидрид и диизоцианат.
В зависимости от региона наблюдается различная распространенность видов аллергических альвеолитов:
- Легкое любителей волнистых попугаев чаще всего встречается в Великобритании.
- Легкое пользователей кондиционеров и увлажнителей – в США.
- Летний тип альвеолита, связанный с сезонным размножением грибов Trichosporon cutaneum, в 75% случаев диагностируется в Японии.
- В Москве и других крупных промышленных городах чаще всего выявляют пациентов с реакцией на птичьи и грибковые антигены.
Врачи отмечают, что экзогенный аллергический альвеолит является серьезным заболеванием, вызванным воздействием органических аллергенов, таких как пыльца, грибковые споры и перхоть животных. Этиология заболевания связана с повторным вдыханием аллергенов, что приводит к воспалению легких и нарушению газообмена. Патогенез включает в себя иммунный ответ, при котором активируются Т-лимфоциты и вырабатываются антитела, что в конечном итоге приводит к повреждению альвеолярной ткани. Врачи подчеркивают важность ранней диагностики и исключения контакта с аллергенами. Лечение включает в себя применение кортикостероидов для уменьшения воспаления и симптоматическую терапию. Важно также проводить регулярные обследования для мониторинга состояния пациента и предотвращения осложнений.

Патогенез экзогенного аллергического альвеолита
Экзогенный аллергический альвеолит: причины и механизмы
Дыхательная система человека постоянно подвергается воздействию пылевых частиц, включая органические и неорганические загрязнители. Исследования показывают, что антигены одного типа могут вызывать различные заболевания. У некоторых людей развивается бронхиальная астма, у других — хронический ринит. У некоторых проявляется аллергодерматоз, а также аллергический конъюнктивит. Экзогенный аллергический альвеолит также входит в этот список заболеваний. Конкретное заболевание зависит от силы воздействия, типа аллергена, состояния иммунной системы и других факторов.
Для развития экзогенного аллергического альвеолита необходимо сочетание нескольких условий:
- Достаточное количество аллергенов, попадающих в дыхательные пути.
- Длительное воздействие этих аллергенов на органы дыхания.
- Определённый размер частиц — около 5 мкм. Реже заболевание возникает при попадании в дыхательную систему антигенов большего размера, которые оседают в проксимальных отделах бронхов.
Большинство людей, сталкивающихся с такими аллергенами, не страдают от экзогенного аллергического альвеолита. Поэтому учёные полагают, что на организм человека должно одновременно воздействовать несколько факторов. Эти факторы недостаточно изучены, но предполагается, что важную роль играют генетическая предрасположенность и состояние иммунной системы.
Экзогенный аллергический альвеолит относится к иммунопатологическим заболеваниям, основными причинами которого являются аллергические реакции третьего и четвёртого типов. Также следует учитывать неиммунное воспаление.
Иммунологическая реакция третьего типа имеет особое значение на ранних стадиях заболевания. Иммунные комплексы формируются в интерстиции лёгких, когда патологический антиген взаимодействует с антителами класса IgG. Это приводит к повреждению альвеол и интерстиция, а также увеличивает проницаемость сосудов, питающих лёгкие.
Образовавшиеся иммунные комплексы активируют систему комплемента и альвеолярные макрофаги. В результате высвобождаются токсические и противовоспалительные вещества, гидролитические ферменты и цитокины (например, фактор некроза опухоли – TNF-α и интерлейкин-1), что вызывает воспалительную реакцию на местном уровне.
Со временем клетки и матричные компоненты интерстиция начинают погибать, воспаление усиливается. В зону поражения поступают моноциты и лимфоциты, которые поддерживают реакцию гиперчувствительности замедленного типа.
Факты, подтверждающие роль иммунокомплексных реакций при экзогенном аллергическом альвеолите:
- Воспаление развивается быстро, в течение 4-8 часов после взаимодействия с антигеном.
- В экссудате из бронхов и альвеол, а также в сыворотке крови обнаруживаются высокие уровни антител класса IgG.
- В лёгочной ткани, взятой для гистологического исследования у пациентов с острой формой заболевания, выявляются иммуноглобулины, компоненты комплемента и антигены, относящиеся к иммунным комплексам.
- При проведении кожных проб с высокоочищенными антигенами, специфичными для пациента, возникает классическая реакция по типу Артюса.
- После провокационных тестов с вдыханием патогенов у пациентов наблюдается увеличение числа нейтрофилов в жидкости бронхоальвеолярного лаважа.
Иммунные реакции четвёртого типа включают CD+ T-клеточную гиперчувствительность замедленного типа и CD8+ Т-клеточную цитотоксичность. После попадания антигенов в дыхательные пути реакции замедленного типа развиваются через 1-2 дня. Повреждение иммунных комплексов приводит к высвобождению цитокинов, которые заставляют лейкоциты и эндотелий лёгочной ткани экспрессировать адгезивные молекулы. На них реагируют моноциты и другие лимфоциты, активно направляясь к месту воспаления.
Гамма-интерферон активирует макрофаги, которые вырабатывают лимфоциты CD4+. Это является характерной чертой реакции замедленного типа, которая благодаря макрофагам длится продолжительное время. В результате у пациента формируются гранулёмы, начинается избыточное выделение коллагена (фибробласты активируются ростовыми факторами), развивается интерстициальный фиброз.
Факты, подтверждающие значение замедленных иммунологических реакций четвёртого типа при экзогенном аллергическом альвеолите:
- В крови обнаруживаются Т-лимфоциты, присутствующие в лёгочной ткани пациентов.
- У больных с острым и подострым экзогенным аллергическим альвеолитом выявляются гранулёмы, инфильтраты с накоплением лимфоцитов и моноцитов, а также интерстициальный фиброз.
- Эксперименты на лабораторных животных с экзогенным аллергическим альвеолитом показали, что для индукции заболевания необходимы Т-лимфоциты CD4+.
| Этиологический фактор | Патогенез (ключевые механизмы) | Лечение |
|---|---|---|
| Пыль из птичьего помета (птицеводческие фермы) | Ингаляция антигенов птичьего помета → активация альвеолярных макрофагов → высвобождение цитокинов (TNF-α, IL-1β) → привлечение воспалительных клеток (лимфоциты, нейтрофилы) → гранулематозное воспаление в альвеолах → фиброз легких | Избегание контакта с антигеном; глюкокортикоиды (преднизон, метилпреднизолон); иммуносупрессанты (циклофосфамид, азатиоприн) в тяжелых случаях; кислородная терапия при гипоксемии |
| Пыль из термофильных актиномицетов (компостирование, влажные помещения) | Аналогично птичьему помету: ингаляция спор актиномицетов → активация иммунной системы → воспаление и фиброз | Избегание контакта с антигеном; глюкокортикоиды; симптоматическая терапия (противокашлевые, муколитики) |
| Пыль из древесины твердых пород (столярные мастерские) | Аналогично птичьему помету: ингаляция древесной пыли (часто с содержанием грибов) → иммунный ответ → воспаление и фиброз | Избегание контакта с антигеном; глюкокортикоиды; респираторная поддержка |
| Пыль из плесени (сырые помещения, зернохранилища) | Аналогично птичьему помету: ингаляция спор грибов → иммунный ответ → воспаление и фиброз | Избегание контакта с антигеном; глюкокортикоиды; противогрибковая терапия (в случае подтвержденного грибкового поражения) |
| Металлы (например, бериллий) | Прямое повреждение альвеолярных клеток и активация иммунной системы → воспаление и фиброз | Избегание контакта с антигеном; глюкокортикоиды; иммуносупрессанты; коррекция электролитного баланса (при необходимости) |
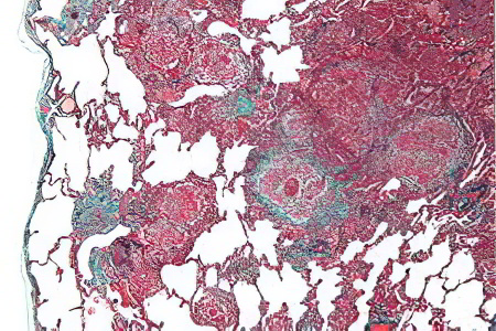
Гистологическая картина ЭАА
В большинстве случаев у пациентов с экзогенным аллергическим альвеолитом наблюдаются гранулёмы без творожистого налёта. Эти изменения фиксируются у 79-90% больных.
Чтобы не путать гранулёмы при экзогенном аллергическом альвеолите и саркоидозе, следует обратить внимание на несколько ключевых отличий:
- Гранулёмы при экзогенном аллергическом альвеолите меньше по размеру.
- У них отсутствуют четкие границы.
- В составе гранулём больше лимфоцитов.
- Альвеолярные стенки утолщены и имеют лимфоцитарные инфильтраты.
После устранения контакта с антигеном гранулёмы могут исчезнуть самостоятельно в течение полугода.
Воспалительный процесс при экзогенном аллергическом альвеолите обусловлен лимфоцитами, моноцитами, макрофагами и плазматическими клетками. Пенистые альвеолярные макрофаги накапливаются внутри альвеол, в то время как лимфоциты располагаются в интерстиции. На начальных стадиях заболевания у пациентов можно обнаружить белковый и фибринозный выпот внутри альвеол. Также у больных выявляется бронхиолит, лимфатические фолликулы и перибронхиальные воспалительные инфильтраты в малых дыхательных путях.
Таким образом, для этого заболевания характерна триада морфологических изменений:
- Альвеолит.
- Гранулёматоз.
- Бронхиолит.
Хотя иногда один из этих признаков может отсутствовать. Редко у пациентов с экзогенным аллергическим альвеолитом развивается васкулит, который диагностируется посмертно, что фиксируется в соответствующих документах. При лёгочной гипертензии у больных наблюдается гипертрофия артерий и артериол.
Хроническое течение экзогенного аллергического альвеолита приводит к фибринозным изменениям, которые могут варьироваться по интенсивности. Однако такие изменения не являются уникальными для экзогенного аллергического альвеолита и встречаются также при других хронических заболеваниях лёгких. Поэтому их нельзя считать патогномичным признаком. При длительно текущем альвеолите у пациентов лёгочная паренхима претерпевает патологические изменения, напоминающие сотовое лёгкое.
Экзогенный аллергический альвеолит (ЭАА) вызывает интерес у специалистов и пациентов, поскольку это заболевание связано с воздействием различных аллергенов, таких как органическая пыль, плесень и птичьи перья. Люди, работающие в сельском хозяйстве или занимающиеся птицеводством, чаще подвержены этому заболеванию. Патогенез ЭАА включает в себя иммунный ответ на ингалируемые антигены, что приводит к воспалению легочной ткани и нарушению газообмена. Симптомы могут варьироваться от одышки и кашля до лихорадки и общего недомогания. Лечение обычно включает избегание контакта с аллергенами и применение кортикостероидов для уменьшения воспаления. Важно также проводить регулярные обследования, чтобы контролировать состояние легких и предотвратить осложнения.

Симптомы экзогенного аллергического альвеолита
Заболевание чаще всего возникает у людей, не склонных к аллергиям. Патология проявляется после длительного контакта с источниками, способствующими распространению антигенов.
Экзогенный аллергический альвеолит может проявляться в трех формах:
Симптомы острого типа
Острая форма заболевания возникает при попадании значительного количества антигена в дыхательные пути. Это может произойти как в домашних условиях, так и на рабочем месте или на улице.
Через 4-12 часов у пациента наблюдается повышение температуры тела до высоких значений, озноб и выраженная слабость. В области груди возникает чувство тяжести, больной начинает кашлять и испытывать одышку. Также могут проявляться боли в суставах и мышцах. Мокрота при кашле выделяется редко, и если она появляется, то в небольшом количестве и в основном состоит из слизи.
Еще одним характерным признаком острого ЭАА является головная боль, сосредоточенная в лобной области.
При осмотре врач может заметить цианоз кожи. При аускультации легких слышны крепитации и свистящие хрипы.
Через 1-3 дня симптомы болезни могут ослабевать, однако после повторного контакта с аллергеном они могут вновь проявиться. Общая слабость, вялость и одышка могут беспокоить пациента еще несколько недель после окончания острого периода заболевания.
Острая форма болезни встречается не так часто, поэтому врачи могут путать её с атипичной пневмонией, вызванной вирусами или микоплазмами. Специалистам следует быть внимательными к пациентам, работающим в сельском хозяйстве, и различать симптомы ЭАА от признаков легочных микотоксикозов, возникающих при попадании грибковых спор в легкие. У пациентов с микотоксикозом рентгенограмма легких не показывает патологических изменений, а в сыворотке крови отсутствуют преципитирующие антитела.

Симптомы подострого типа
Симптомы подострой формы заболевания менее выражены, чем при остром альвеолите. Эта форма развивается из-за длительного воздействия антигенов, чаще всего в домашних условиях. Наиболее распространенной причиной подострого воспаления является уход за домашними птицами.
К основным признакам подострого экзогенного аллергического альвеолита относятся:
- Одышка, усиливающаяся после физической нагрузки.
- Увеличение утомляемости.
- Кашель с выделением прозрачной мокроты.
- На ранних стадиях может наблюдаться повышение температуры тела.
При прослушивании легких слышны мягкие крепитации.
Важно уметь различать подострый экзогенный аллергический альвеолит от саркоидоза и других заболеваний интерстициальной ткани легких.
Симптомы хронического типа
Хроническая форма заболевания возникает у людей, которые долгое время подвергаются воздействию небольших доз антигенов. Подострый альвеолит может перейти в хроническую стадию при отсутствии надлежащего лечения.
Признаки хронического течения болезни включают:
- Постепенно усиливающуюся одышку, заметную при физической активности.
- Значительное снижение веса, вплоть до анорексии.
Это заболевание может привести к серьезным осложнениям, таким как легочное сердце, интерстициальный фиброз, а также сердечная и дыхательная недостаточность. Хронический экзогенный аллергический альвеолит развивается незаметно и не проявляет ярко выраженных симптомов, что затрудняет его диагностику.
Диагностика экзогенного аллергического альвеолита
Для диагностики заболевания необходимо опираться на рентгенологическое исследование легких. Рентгенологические признаки будут варьироваться в зависимости от стадии и формы альвеолита.
При остром и подостром течении болезни наблюдается снижение прозрачности легочных полей, напоминающее матовое стекло, а также появление узелково-сетчатых затемнений. Узелки размером до 3 мм могут быть обнаружены на всей поверхности легких, кроме верхней части и базальных отделов. Если пациент прекращает контакт с антигенами, рентгенологические изменения исчезают через 1-1,5 месяца.
При хроническом течении заболевания на рентгенограмме видны линейные тени с четкими контурами, затемненные участки, представленные узелками, изменения в интерстиции и уменьшение размеров легочных полей. В запущенной форме патологии может наблюдаться сотовое легкое.
Компьютерная томография (КТ) обладает значительно большей точностью по сравнению с рентгенографией и позволяет выявить признаки экзогенного аллергического альвеолита (ЭАА), которые могут быть незаметны на стандартных рентгенограммах.
Анализ крови у пациентов с ЭАА демонстрирует следующие изменения:
- Лейкоцитоз до 12-15х10³/мл, реже уровень лейкоцитов достигает 20-30х10³/мл.
- Сдвиг лейкоцитарной формулы влево.
- Уровень эозинофилов либо остается нормальным, либо незначительно повышается.
- У 31% пациентов скорость оседания эритроцитов (СОЭ) повышается до 20 мм/ч, а у 8% — до 40 мм/ч; у остальных СОЭ остается в пределах нормы.
- Увеличение уровня иммуноглобулинов lgM и lgG, иногда наблюдается скачок уровня иммуноглобулинов класса А.
- У некоторых пациентов активизируется ревматоидный фактор.
- Повышение общего уровня лактатдегидрогеназы (ЛДГ) может указывать на острое воспаление в легочной паренхиме.
Для подтверждения диагноза применяются методы двойной диффузии по Оухтерлони, микро-Оухтерлони, встречного иммуноэлектрофореза и иммуноферментного анализа (ИФА). Эти методы позволяют выявить специфические преципитирующие антитела к аллергенам.
В остром периоде болезни преципитирующие антитела обнаруживаются практически у всех пациентов. После прекращения контакта с аллергеном уровень антител снижается, однако в сыворотке крови они могут оставаться до трех лет.
При хроническом течении заболевания антитела могут не обнаруживаться, и существует вероятность ложноположительных результатов. У фермеров без симптомов альвеолита антитела выявляются в 9-22% случаев, а у любителей птиц — в 51%.
У пациентов с ЭАА уровень преципитирующих антител не всегда коррелирует с активностью заболевания. На их уровень могут влиять различные факторы, например, у курящих людей он может быть занижен. Поэтому наличие антител не является окончательным доказательством ЭАА, а их отсутствие не исключает наличие болезни. Тем не менее, антитела могут усилить предположение о диагнозе при наличии соответствующих клинических признаков.
Тест на снижение диффузной способности легких важен, так как другие функциональные изменения при ЭАА могут быть характерны для других заболеваний, поражающих интерстициальную ткань легких. Гипоксемия у пациентов с аллергическим альвеолитом наблюдается в покое и усиливается при физической нагрузке. Вентиляционные нарушения имеют рестриктивный характер, а гиперреактивность дыхательных путей диагностируется у 10-25% пациентов.
Ингаляционные тесты начали использовать для диагностики аллергического альвеолита еще в 1963 году. Аэрозоли, созданные из пыли сена с плесенью, вызывали обострение симптомов у пациентов, в то время как экстракты «чистого сена» не приводили к подобным реакциям. У здоровых людей даже аэрозоли с плесенью не вызывали патологических признаков.
Провокационные тесты у пациентов с бронхиальной астмой не вызывают быстрых иммунных реакций и не нарушают работу легких. Однако у людей с положительным иммунным ответом они могут приводить к изменениям в дыхательной системе, повышению температуры, ознобу, слабости и одышке, которые проходят через 10-12 часов.
Подтвердить диагноз ЭАА можно без проведения провокационных тестов, поэтому в современной медицинской практике они не являются стандартом. Их используют только в случаях, когда необходимо подтвердить причину заболевания. В качестве альтернативы достаточно наблюдения за пациентом в привычной для него обстановке, например, на работе или дома, где он контактирует с аллергеном.
Бронхоальвеолярный лаваж (БАЛ) позволяет оценить состав содержимого альвеол и удаленных отделов легких. Подтверждение диагноза возможно при обнаружении в нем пятикратного увеличения клеточных элементов, 80% из которых составляют лимфоциты (в основном Т-клетки, включая CD8+-лимфоциты).
Иммунорегуляторный индекс у пациентов снижен и составляет менее единицы, в то время как при саркоидозе этот показатель равен 4-5 единицам. Однако если лаваж был выполнен в первые три дня после острого развития альвеолита, количество нейтрофилов может быть повышено, а лимфоцитоз отсутствует.
Кроме того, лаваж позволяет выявить значительное увеличение количества тучных клеток, которое может сохраняться до трех месяцев и более после контакта с аллергеном. Этот показатель свидетельствует о активности процесса выработки фибрина. При подостром течении заболевания в лаваже могут быть обнаружены плазматические клетки.
Постановка дифференциального диагноза
Заболевания, которые необходимо отличать от экзогенного аллергического альвеолита:
-
Альвеолярный рак или метастазы в легких. При раковых образованиях нет связи между симптомами и воздействием аллергенов. Заболевание прогрессирует и проявляется тяжелыми симптомами. В сыворотке крови не обнаруживаются преципитирующие антитела к аллергенам. Дополнительную информацию можно получить с помощью рентгенографии легких.
-
Милиарный туберкулез. Здесь также отсутствует связь с аллергенами. Инфекция протекает тяжело и длительно. Серологические методы позволяют выявить антитела к туберкулезному антигену, в то время как на экзоаллергены они не обнаруживаются. Важно учитывать рентгенологическое исследование.
-
Саркоидоз. Это заболевание не связано с профессиональной деятельностью и затрагивает не только дыхательную систему, но и другие органы. Воспаление прикорневых лимфатических узлов в грудной клетке происходит с обеих сторон, а реакция на туберкулин может быть слабой или отрицательной. Реакция Квейма будет положительной. Саркоидоз подтверждается гистологическим анализом.
-
Другие фиброзирующие альвеолиты. У пациентов с этой патологией часто развивается васкулит, а системное поражение соединительной ткани затрагивает весь организм. При неясном диагнозе проводится биопсия легких с последующим гистологическим исследованием.
-
Пневмония. Это заболевание возникает после перенесенной простуды. На рентгеновском снимке видны затемнения из-за инфильтрации тканей.
Согласно МКБ-10, экзогенный аллергический альвеолит относится к классу Х «Болезни органов дыхания».
Классификация:
- J 55 — Болезнь дыхательных путей, вызванная специфической пылью.
- J 66.0 — Биссиноз.
- J 66.1 — Болезнь трепальщиков льна.
- J 66.2 — Каннабиоз.
- J 66.8 — Болезнь дыхательных путей, вызванная другой уточненной органической пылью.
- J 67 — Гиперсенситивный пневмонит.
- J 67.0 — Легкое фермера (сельскохозяйственного работника).
- J 67.1 — Багассоз (от пыли сахарного тростника).
- J 67.2 — Легкое птицевода.
- J 67.3 — Субероз.
- J 67.4 — Легкое работающего с солодом.
- J 67.5 — Легкое работающего с грибами.
- J 67.6 — Легкое сборщика коры клена.
- J 67.8 — Гиперсенситивные пневмониты, вызванные другой органической пылью.
- J 67.9 — Гиперсенситивный пневмонит, вызванный другой неуточненной органической пылью.
Диагноз может быть сформулирован следующим образом:
- Экзогенный аллергический альвеолит (легкое фермера), острая форма.
- Медикаментозный аллергический альвеолит, вызванный фуразолидоном, подострая форма, с дыхательной недостаточностью.
- Экзогенный аллергический альвеолит (легкое птицеводов), хроническая форма. Хроническое легкое сердце, хронический бронхит.
Лечение экзогенного аллергического альвеолита
Для успешной борьбы с заболеванием необходимо полностью исключить контакт пациента с аллергеном. В процессе работы следует использовать маски и специальные фильтры. Рекомендуется также рассмотреть возможность смены места работы и привычек. Чтобы предотвратить дальнейшее развитие болезни, важно выявить её на ранних этапах. Если контакт с аллергеном продолжится, изменения в лёгких могут стать необратимыми.
При тяжёлой форме альвеолита требуется назначение глюкокортикостероидов, что может делать только врач.
Пациентам с гиперреактивностью лёгких назначаются ингаляционные бронходилататоры. В случае осложнений могут быть прописаны антибиотики, мочегонные средства, кислород и другие препараты.
Прогноз и профилактика
Чтобы предотвратить развитие заболевания, необходимо минимизировать контакты с аллергенами. Например, сено следует хорошо просушивать, а силосные ямы держать открытыми. Помещения на производстве должны быть тщательно проветриваемыми, а при наличии животных и птиц необходимо строго соблюдать санитарные и гигиенические нормы. Кондиционеры и системы вентиляции требуют регулярной и качественной обработки.
Если альвеолит уже проявился, пациенту следует избегать контактов с аллергенами. Если причиной является профессиональная деятельность, рекомендуется сменить место работы.
Прогнозы могут варьироваться. Если заболевание выявлено на ранних стадиях, существует вероятность его самостоятельного разрешения. Однако рецидивы альвеолита могут привести к необратимым изменениям в легочной ткани, что ухудшает прогноз, как и осложнения или хроническое течение болезни.
Вопрос-ответ
В основе экзогенного аллергического альвеолита лежит?
Основу развития аллергического альвеолита составляют гиперчувствительные реакции III и IV типа, при которых повторное проникновение в организм ингаляционного аллергена сопровождается появлением в циркулирующей крови иммунных комплексов и специфических преципитирующих антител.
Каковы симптомы экзогенного аллергического альвеолита?
Симптомы экзогенного аллергического альвеолита могут включать одышку, кашель, озноб, лихорадку, усталость и боль в груди. Эти проявления обычно возникают после воздействия на организм аллергенов, таких как органические пыльцы или споры грибов, и могут варьироваться от легких до тяжелых в зависимости от степени аллергической реакции и продолжительности контакта с аллергеном.
Что такое профессиональный экзогенный аллергический альвеолит?
Экзогенный аллергический альвеолит (или гиперчувствительный пневмонит) – патологический синдром с преобладанием легочной симптоматики, вызванный сенсибилизацией и последующей гиперчувствительностью к экзогенному (часто профессиональному) антигену. Впервые описан.
Советы
СОВЕТ №1
Обратите внимание на источники аллергенов. Если вы подозреваете, что у вас экзогенный аллергический альвеолит, постарайтесь выявить и устранить возможные триггеры, такие как пыльца, грибки или химические вещества, которые могут вызывать аллергическую реакцию.
СОВЕТ №2
Регулярно проводите уборку и проветривание помещений. Это поможет снизить уровень аллергенов в вашем доме. Используйте воздухоочистители и фильтры, чтобы уменьшить количество пыли и спор грибков в воздухе.
СОВЕТ №3
Консультируйтесь с врачом при первых симптомах. Если вы заметили такие симптомы, как кашель, одышка или усталость, не откладывайте визит к врачу. Раннее обращение за медицинской помощью может помочь в диагностике и лечении заболевания.
СОВЕТ №4
Следите за своим состоянием и ведите дневник симптомов. Записывайте, когда и в каких условиях у вас возникают симптомы, чтобы помочь врачу лучше понять вашу ситуацию и назначить эффективное лечение.







