Геморрагический васкулит – что это?
Геморрагический васкулит — это приобретенное заболевание, которое вызывает повреждение капилляров, венул и артериол. Воспалительный процесс протекает асептически, но всегда приводит к нарушению целостности сосудистой стенки и способствует быстрому образованию тромбов. При этом заболевании страдают сосуды, обеспечивающие кровоснабжение кожи и паренхиматозных органов. В результате воспаления на коже появляются элементы сыпи, что привело к тому, что васкулит получил названия ревматоидной пурпуры или аллергической пурпуры.
Это заболевание было впервые описано два века назад врачами Шенлейном и Генохом, поэтому геморрагический васкулит иногда называют болезнью Шенлейна-Геноха.
Врачи отмечают, что геморрагический васкулит, или болезнь Шенлейн-Геноха, представляет собой воспалительное заболевание сосудов, которое чаще всего встречается у детей, но может проявляться и у взрослых. Специалисты подчеркивают важность ранней диагностики, так как своевременное вмешательство может значительно снизить риск осложнений. Симптомы, такие как кожные высыпания, боли в животе и суставные боли, требуют внимательного наблюдения. Врачи рекомендуют комплексный подход к лечению, включая противовоспалительные препараты и, в некоторых случаях, кортикостероиды. Также важно учитывать индивидуальные особенности пациента, чтобы минимизировать возможные рецидивы. Профилактика и регулярные осмотры могут помочь в контроле заболевания и улучшении качества жизни пациентов.

Причины геморрагического васкулита
Учёные продолжают обсуждать причины геморрагического васкулита. Считается, что это заболевание чаще всего затрагивает людей с предрасположенностью к аллергическим реакциям. Под воздействием различных факторов иммунная система активирует организм для производства иммунных комплексов. Эти комплексы попадают в кровь и накапливаются в сосудах, которые снабжают кровью кожу и внутренние органы. В результате их воздействия стенки сосудов повреждаются, и элементы крови проникают в окружающие ткани. В итоге на коже пациента возникает геморрагическая сыпь.
Геморрагический васкулит может развиваться по следующим причинам:
- Перенесённые инфекции. Наибольшую опасность представляют вирусы герпеса, гриппа, ОРВИ, а также бактерии, такие как микоплазмы, туберкулёзные микобактерии, стафилококки и стрептококки, и паразиты (трихомонады и гельминты).
- Вакцинация.
- Введение сывороток.
- Укусы насекомых.
- Аллергические реакции на пищу.
- Ожоговая болезнь.
- Переохлаждение организма.
Вероятность развития васкулита увеличивают следующие факторы риска:
- Пожилой возраст.
- Беременность.
- Частые инфекции.
- Склонность к аллергиям.
- Полученные травмы.
| Симптом | Описание | Возможные осложнения |
|---|---|---|
| Кожная сыпь (пурпура) | Кровоизлияния в кожу, обычно мелкие, красные или фиолетовые пятна, не бледнеющие при надавливании. Может быть различной локализации и интенсивности. | Язвы, рубцы, инфекции кожи |
| Боль в суставах (артралгия) | Боль и припухлость в суставах, чаще всего крупных. | Повреждение суставов, ограничение подвижности |
| Боль в животе (абдоминальная боль) | Может варьировать от легкого дискомфорта до сильных колик. | Кровотечение в желудочно-кишечный тракт, перфорация кишечника, перитонит |
| Почечное поражение (нефрит) | Повреждение почек, проявляющееся гематурией (кровь в моче), протеинурией (белок в моче), отеками. | Хроническая почечная недостаточность |
| Лихорадка | Повышение температуры тела. | Сепсис |
| Утомляемость | Общее чувство усталости и слабости. | Ухудшение качества жизни |
| Неврологические симптомы | В редких случаях могут наблюдаться головные боли, судороги, нарушения зрения. | Энцефалопатия, инсульт |
Классификация геморрагического васкулита
В зависимости от проявлений васкулита выделяют несколько его типов:
- Простая форма (кожный васкулит).
- Кожно-суставной васкулит.
- Почечная форма заболевания.
- Абдоминальный васкулит (с преобладанием расстройств органов пищеварения).
- Смешанная форма болезни.
Протекание заболевания может варьироваться:
- Острый васкулит. Болезнь проходит в течение месяца.
- Подострый васкулит. Длительность составляет около трех месяцев.
- Затяжной васкулит. Продолжается до шести месяцев.
- Рецидивирующий васкулит. За несколько лет может произойти 3-4 эпизода воспалительного процесса.
- Хронический васкулит. Наблюдаются чередования периодов ремиссии и обострений.
- Молниеносный васкулит. Чаще встречается у детей до пяти лет и длится всего несколько дней.
В зависимости от степени тяжести заболевания выделяют:
- Васкулит первой степени. Пациент чувствует себя удовлетворительно. Температура тела немного повышается, сыпь не ярко выражена, другие симптомы отсутствуют. В анализе крови увеличивается СОЭ, но не более 20 мм/час.
- Васкулит второй степени. Самочувствие ухудшается, сыпь становится более выраженной, температура поднимается до 38 °C. Больной испытывает головные и мышечные боли, выраженную слабость. Возможны нарушения в работе пищеварительной и мочевыделительной систем. СОЭ может достигать 40 мм/час, уровень альбуминов в крови снижается, а количество эозинофилов и лейкоцитов увеличивается.
- Васкулит третьей степени. Интоксикация организма выражена значительно. Наблюдаются патологические изменения в суставах, почках и органах ЖКТ. Часто воспалительный процесс затрагивает центральную и периферическую нервную систему. СОЭ увеличивается до 40 мм/час, уровень лейкоцитов значительно повышен, а количество тромбоцитов снижается. У пациента могут развиваться симптомы анемии.
Геморрагический васкулит вызывает много обсуждений среди пациентов и врачей. Люди, столкнувшиеся с этой болезнью, часто делятся своими переживаниями и опытом лечения. Многие отмечают, что симптомы, такие как сыпь, боли в животе и суставные боли, могут сильно ухудшать качество жизни. Некоторые пациенты говорят о том, что им удалось справиться с заболеванием благодаря правильной диагностике и своевременному лечению, включая кортикостероиды и иммуносупрессоры. Однако есть и те, кто сталкивается с рецидивами, что вызывает страх и неопределенность. Важным аспектом является поддержка со стороны близких и медицинских специалистов, которая помогает людям не терять надежду и продолжать борьбу с болезнью. Обсуждения на форумах и в социальных сетях становятся важным источником информации и поддержки для многих, кто ищет ответы на свои вопросы и хочет понять, как жить с этой сложной патологией.

Симптомы геморрагического васкулита
При остром васкулите у пациента наблюдается повышение температуры тела. Обычно это происходит примерно через две недели после перенесённой инфекции.
Кожные проявления
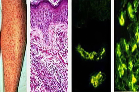
Сыпь может появляться на ранних стадиях васкулита. Она имеет геморрагический характер и проявляется в виде пузырьков. Эти высыпания могут распространяться по телу в виде пятен или точек, размер которых варьируется от 1 до 5 мм в диаметре. При нажатии сыпь не исчезает. С развитием заболевания элементы могут сливаться.
Элементы сыпи выступают над поверхностью кожи. Наибольшее количество пятен наблюдается на разгибательных участках конечностей. Сыпь также может появляться на ягодицах и в области крупных суставов. В некоторых случаях она затрагивает лицо, грудь, живот и спину.
Перед появлением высыпаний кожа может зудеть. Через несколько дней сыпь становится менее яркой. После исчезновения элементов на коже могут оставаться пигментные пятна.
Некоторые элементы сыпи исчезают, в то время как новые продолжают появляться, что делает кожу пестрой. Высыпания, как правило, симметричны. Чем тяжелее протекает васкулит, тем более выраженной будет сыпь.
Иногда в центре узелков или пятен образуется зона некроза, после чего формируется струп, который со временем отпадает. Это может привести к образованию рубцов на коже после разрешения элементов сыпи.

Поражение суставов
Суставные проблемы наблюдаются у 70% пациентов. Люди часто испытывают боль и воспаление. В первую очередь страдают коленные, голеностопные и лучезапястные суставы. Если на коже появляется сыпь, болевые ощущения усиливаются.
Суставы могут опухать и деформироваться, что ограничивает их подвижность. Кожа над суставами воспаляется: сначала краснеет, затем приобретает синеватый оттенок.
Деформация суставов обратима, так как воспалительный процесс обычно не длится более 7 дней.
Абдоминальный синдром
Приблизительно 50% пациентов сталкиваются с абдоминальным синдромом. Это состояние характеризуется множественными кровоизлияниями в кишечник и брюшную стенку. Боль проявляется приступами и напоминает кишечные колики. Часто наблюдаются рвота и диарея, в кале и рвотных массах может быть кровь. Боль обычно локализуется в области пупка, но иногда охватывает весь живот.
Кожные покровы бледнеют, глаза углубляются, язык становится сухим, а черты лица заостряются.
Чтобы облегчить боль, пациент часто принимает положение на боку, прижимая ноги к животу. В некоторых случаях обострение заболевания может привести к инвагинации кишечника или кишечной непроходимости. Реже наблюдается перфорация аппендикса с развитием перитонита. Обычно абдоминальный синдром проходит самостоятельно через 2-3 дня.
Поражение почек
Васкулит часто приводит к повреждению почек. В этих органах образуются тромбы, что может вызвать гломерулонефрит. В результате в моче появляется кровь, которую можно обнаружить при анализе. Пациенты обычно отмечают отёки.
Повреждение почек не происходит мгновенно. Органы начинают страдать в течение года после начала васкулита. Почечный синдром наблюдается у 40-60% больных.
Прочие симптомы васкулита
Повреждения спинного и головного мозга встречаются довольно редко. Ещё реже у людей наблюдаются пневмония и миокардит.
Анемия
Анемия — одно из последствий васкулита. У пациента наблюдается пониженный уровень гемоглобина в крови, что приводит к повышенной усталости и слабости. В некоторых случаях возможна потеря сознания, а также появление «мушек» перед глазами.
Беременность и васкулит
Беременность может вызвать васкулит, который, в свою очередь, провоцирует антифосфолипидный синдром. Это состояние представляет серьезную угрозу для беременных женщин, так как негативно сказывается на развитии плода. Увеличивается риск выкидыша, преждевременных родов и отслойки плаценты.
Чтобы минимизировать риски осложнений во время беременности, женщинам с васкулитом обычно назначают антикоагулянты, такие как аспирин и гепарин.
Васкулит у детей
У детей это заболевание часто протекает без сыпи, что затрудняет диагностику. Маленькие пациенты могут жаловаться на боли в суставах и дискомфорт в животе. Патология развивается остро и внезапно.
Если сыпь появляется, она охватывает все тело и выглядит как подкожные кровоизлияния. Заболевание склонно к рецидивам. В детском возрасте также увеличивается риск отека Квинке.
Диагностика
Стандартный процесс диагностики начинается с осмотра пациента и сбора анамнеза. Врач анализирует полученные данные и сопоставляет их с клиническими проявлениями заболевания.
Затем пациенту назначаются анализы:
- Общий анализ крови: наблюдается увеличение уровня лейкоцитов и нейтрофилов, снижение гемоглобина и эритроцитов. Скорость оседания эритроцитов (СОЭ) возрастает. Степень изменений зависит от тяжести заболевания.
- Общий анализ мочи: в моче могут быть обнаружены эритроциты, белок и цилиндры.
- Биохимический анализ крови: отмечается повышение уровня фибриногена, гаптоглобулина, сиаловых кислот, альфа- и гамма-глобулина.
- Проба мочи по Зимницкому: плотность мочи будет пониженной.
- Кал: может содержать кровь.
- Коагулограмма: остается без изменений.
- Иммунологическое исследование: позволяет выявить увеличение иммунологических комплексов класса А и возможное повышение уровня С-реактивного белка. Важно провести анализ крови на гепатиты, так как эти вирусные инфекции могут стать причиной васкулита.
Помимо лабораторных анализов, пациенту назначаются инструментальные исследования:
- УЗИ почек и органов брюшной полости.
- Биопсия почек и кожи.
- ФГДС, колоноскопия, бронхоскопия.
Дополнительные методы обследования включают:
- Щипковая проба: при нажатии на кожу у пациента появляются кровоподтёки.
- Проба с жгутом: подкожные кровоподтёки возникают при наложении жгута на плечо.
- Манжеточная проба: после наложения манжеты тонометра у пациента появляются подкожные кровоизлияния.
Лечение геморрагического васкулита
Лечение васкулита проводится под наблюдением ревматолога. Если у пациента возникают поражения других органов, необходимо обратиться к узким специалистам. При рецидиве заболевания пациента госпитализируют. В период обострения васкулита важно соблюдать постельный режим, что помогает предотвратить осложнения.
В терапии используются следующие медикаменты:
- Энтеросорбенты. Эти препараты способствуют быстрому выведению токсинов из организма.
- Антикоагулянты. Они предотвращают образование тромбов и улучшают кровообращение в мелких сосудах.
- Антиагреганты. Эти средства разжижают кровь, препятствуя её свертыванию и образованию тромбов.
- Антигистаминные препараты. Они помогают устранить аллергические реакции.
- Глюкокортикостероиды. Эти лекарства быстро снимают воспаление, но действуют за счёт подавления иммунной системы.
Дополнительные методы лечения включают:
- Препараты из группы НПВС. Они снижают температуру, уменьшают боль и воспаление. Диклофенак, Индометацин и Ибупрофен назначаются при поражении суставов.
- Витамины А, Е и группы В укрепляют стенки сосудов, снижая риск кровотечений.
- Цитостатики подавляют иммунный ответ и применяются при тяжелом течении заболевания.
- Переливание крови и её очищение могут облегчить симптомы васкулита.
- Препараты кальция помогают восполнить нехватку этого микроэлемента в организме.
Симптоматическая терапия. Для снятия мышечных спазмов применяются препараты, такие как Папаверин и Но-шпа. Чтобы минимизировать повреждения желудка и кишечника, пациентам назначают антациды (например, Альмагель, Маалокс), которые снижают кислотность желудочного сока.
Серьезные осложнения, такие как перитонит или перфорация кишечника, требуют хирургического вмешательства.
Гипоаллергенная диета при васкулите
Каждому пациенту с васкулитом важно соблюдать специальную диету. Из рациона следует исключить продукты, способные вызвать аллергические реакции. К запрещённым относятся яйца, кофе, шоколад, цитрусовые, орехи, рыба и морепродукты.
В период обострения заболевания рекомендуется избегать жирной и жареной пищи. Основу рациона должны составлять маложирные продукты. Разрешается употребление зелёных яблок, различных круп, а также мяса кролика и индейки.
Прогноз
При лёгком течении заболевания прогноз обычно положительный. В противном случае ситуация может ухудшиться. Существует риск серьёзных осложнений, таких как воспаление почек и почечная недостаточность. При молниеносной форме болезни возможен стремительный летальный исход.
Постановка на диспансерный учёт
Взрослые пациенты с васкулитом не подлежат диспансерному учету. Дети находятся под наблюдением ревматолога в течение двух лет. В первые полгода необходимо посещать врача раз в месяц, а в следующие полгода — раз в три месяца. После этого визиты к специалисту проводятся дважды в год.
Детям, перенесшим васкулит, рекомендуется ограничить физическую активность. Им противопоказаны физиотерапевтические процедуры и длительное пребывание на солнце.
Осложнения
Васкулит может вызвать серьезные осложнения, включая кишечную непроходимость, перитонит и почечную недостаточность. В некоторых случаях страдают сердце и печень, возможны кровотечения в легких. У детей часто наблюдается геморрагический диатез.
Вопрос-ответ
От чего появляется геморрагический васкулит?
Геморрагический васкулит, также известный как пурпура Шенлейна-Геноха, возникает в результате воспаления мелких кровеносных сосудов, что может быть спровоцировано инфекциями (например, вирусными или бактериальными), аллергическими реакциями, лекарственными препаратами или аутоиммунными заболеваниями. Он проявляется в виде кожных высыпаний, болей в суставах и нарушений работы внутренних органов.
Сколько живут с геморрагическим васкулитом?
В большинстве случаев прогноз геморрагического васкулита благоприятный — более 90% пациентов выздоравливают в течение 2 лет после начала болезни. При этом примерно у 40% людей заболевание рецидивирует. Молниеносная форма болезни может привести к смерти пациента в течение нескольких дней.
Что такое геморрагический васкулит?
Геморраги́ческий васкули́т (синонимы: пурпура Шёнлейна — Ге́ноха, болезнь Шёнлейна-Ге́ноха, ревматическая пурпура, аллергическая пурпура, Шенлейна — Геноха анафилактоидная пурпура) — наиболее распространённое заболевание из группы системных васкулитов.
Что такое васкулит простыми словами?
Васкулит – патология, поражающая крупные, средние и мелкие сосуды и характеризующаяся воспалением стенок артерий, вен, венол, артериол и мелких капилляров. Заболевание является не только неприятным для пациента, но и опасным. Точный диагноз может поставить лишь опытный ревматолог.
Советы
СОВЕТ №1
Обратитесь к врачу при первых симптомах. Геморрагический васкулит может проявляться различными симптомами, такими как сыпь, боли в животе или суставе. Раннее обращение к специалисту поможет установить диагноз и начать лечение на ранней стадии.
СОВЕТ №2
Следите за своим состоянием и ведите дневник симптомов. Записывайте, когда и какие симптомы у вас появляются, а также любые изменения в вашем состоянии. Это поможет врачу лучше понять вашу ситуацию и назначить правильное лечение.
СОВЕТ №3
Соблюдайте режим питания и избегайте аллергенов. Некоторые продукты могут усугубить симптомы васкулита. Старайтесь придерживаться сбалансированной диеты и избегайте пищи, на которую у вас есть аллергия или непереносимость.
СОВЕТ №4
Не пренебрегайте физической активностью, но выбирайте умеренные нагрузки. Умеренные физические упражнения могут помочь улучшить общее состояние здоровья и укрепить иммунную систему, но избегайте чрезмерных нагрузок, которые могут усугубить симптомы.





