Знаний о возможностях человеческого мозга крайне мало. Известны только его строение, способности координировать работу всего организма и влияние на общее самочувствие. К примеру, в результате расстройства кровотока в мозговой артерии нарушается речь, согласованность движений, мышление, наступает паралич. Все это – симптомы инсульта. Нарушения работоспособности мозга, в частности, опухоль мозга, эпилепсия, болезнь Альцгеймера, худшим образом сказываются на продолжительности и качестве жизни.
Своевременное и инновационное диагностирование дает возможность провести эффективное лечение болезней любой части головного мозга.
Когда назначается
Свидетельствовать о том, что у пациента есть определенные нарушения кровообращения могут различные симптомы. Диагностика по выявлению подобных проблем в современных клиниках проводится достаточно часто. Вовремя проверить сосуды головного мозга – значит избежать серьезных заболеваний в будущем.
Получить направление на диагностику могут пациенты, у которых обнаружены следующие симптомы:
- Предобморочное состояние;
- Проблемы с концентрацией внимания;
- Плохая память;
- Рассеянность;
- Периодический шум в ушах;
- Болезненность в области шеи;
- Частые головокружения;
- Нарушение координации;
- Головные боли;
- Онемение рук и ног;
- Мушки перед глазами;
- Слабость и прочее.
Что касается определенных проблем со здоровьем у пациента, то показаниями для назначения диагностики могут быть следующие симптомы, привычки и состояния пациентов:
- Перенесение в раннем возрасте операций на сосудах шеи;
- Ожирение;
- Нарушение зрения;
- Проблемы со слухом;
- Подготовка пациента к плановой хирургической операции;
- Реакции на изменения погоды;
- Повышенный уровень холестерина в крови;
- Сахарный диабет;
- Эпилепсия;
- Нейроциркуляторная дистония;
- Никотиновая зависимость;
- Остеохондроз;
- Нарушение показателей артериального давления длительное время;
- Отличия в показателях давления и пульса двух рук пациента;
- Перенесение инфаркта в молодом возрасте;
- Сосудистые патологии шейного отдела;
- Травмы головы;
- Морская болезнь.
Консультация врача-невролога
Вопросы заболеваний сосудов мозга и шеи находятся в ведении врача-невролога. Этот специалист квалифицированно разберется с жалобами пациентов, назначит все необходимые обследования, как аппаратные, для сосудов головного мозга и шеи, так и лабораторные, которые позволят судить об общем состоянии здоровья пациента. Также только специалист выберет адекватное лечение, индивидуальное в каждом случае.
В случае обнаружения тревожных симптомов, связанных с нарушением мозгового кровообращения или болезненных ощущений в области головы или шеи, не нужно заниматься самолечением, а необходимо обратиться в клинику для консультации со специалистом.
Данная статья размещена исключительно в познавательных целях, не заменяет приема у врача и не может быть использована для самодиагностики.
УЗДГ сосудов головного мозга
УЗДГ— это ультразвуковая допплерография. УЗДГ (ультразвуковую допплерографию)сосудов головного мозга используют для того, чтобы оценить кровоток в средних и крупных сосудах головы и шеи.
Процедуру можно использовать для контроля за состоянием больного и проводимым лечением, так же для выявления первоначальных патологий сосудистого русла.
Процедура практически не имеет противопоказаний и является безболезненной. Не требуется так же и специальной подготовки и выполняется амбулаторно.
Сцинтиграфия
Современная диагностическая процедура, основанная на введении в кровеносное русло пациента радиоактивных изотопов с последующей фиксацией их излучения. Подобная фиксация, проводимая специальными детекторами, позволяет получить двумерное или трехмерное изображение сосудистого русла и расположенных рядом с ним тканей мозга.
Эта методика используется для выявления локализации ишемических очагов поражения головного мозга и оценки степени кровотока в ЦНС при наличии нейродегенеративных заболеваний у пожилых людей. Помимо этого, сцинтиграфию используют для оценки эффективности лечебных и реабилитационных мероприятий указанных состояний. К противопоказаниям относят детский возраст, период беременности и аллергические реакции на используемые радиофармпрепараты.
Подготовка к исследованию заключается в исключении за 3-4 дня до процедуры лекарственных средств, влияющих на тонус сосудов, а также проведении аллергической пробы на радиомедикамент.
Средняя стоимость сцинтиграфии сосудов головного мозга составляет – 6-9 тысяч рублей. В зависимости от конкретного типа процедуры, ее цена может изменяться.
Процедуры для исследования артерий головного мозга широко представлены в большинстве медицинских клиник. Их правильное использование для проверки состояния мозговых сосудов – залог назначения эффективного лечения. Выбор конкретного метода обследования и интерпретация его результатов производится только лечащим врачом.
Магнитно-разонансная ангиография
Обследование сосудистой системы при рентгеноскопии после введения в кровь контрастного препарата (виден в рентген-излучении).

- Общую – введение контраста в центральные артерии (аорта и ее ветви);
- Селективную – контрастирование начинают с крупных сосудистых стволов (сонные артерии);
- Суперселективную – введение контраста в мелкие артериальные ветви «зоны интереса».
Чем выше селективность контрастирования сосудистого дерева, тем ниже лучевая нагрузка при исследовании.
Особенность метода: требует госпитализации в стационар.
Техника процедуры:
- пункция бедренной артерии;
- установка и проведение катетера к зоне исследования;
- введение контрастного препарата и осмотр сосудистых структур.
| Противопоказания | Подготовка | Время (мин) |
| Непереносимость йодсодержащих препаратов Недостаточность функции почек, печени
Беременность и кормление грудью |
Не есть, не пить в течение 12 часов до исследования | 60–180 |
КТ-ангиография
Получение объемного трехмерного изображения сосудистых структур за счет объединения множества снимков в разных проекциях, выполненных на компьютерном томографе. Требует введения контрастного вещества.
- установка катетера в область локтевого сгиба;
- проведение сканирования зоны интереса.
| Противопоказания | Подготовка | Время (мин) |
| Те же, что и при рентген-ангиографии | 20–30 |
МР-ангиография
Трехмерный сосудистый рисунок получают, фиксируя ответ тканевых структур на действие электромагнитного поля томографа. Основное достоинство метода – отсутствие облучения. В спорных случаях требует контрастного усиления.
Техника процедуры: после фиксации зоны интереса в специальной катушке проводят сканирование, в ходе которого необходимо лежать неподвижно.
Результаты МР-ангиографии сосудов головного мозга
| Противопоказания | Подготовка | Время (мин) |
| Ранние сроки беременности Угроза прерывания беременности
Клаустрофобия Наличие металлоконструкций в теле (суставные протезы, фиксированные переломы) Психические заболевания в период обострения |
Нет | 40–60 |
Магнитно-разонансная ангиография сосудов головного мозга — является одиним из самых быстро совершенствующихся и перспективных методов современной диагностики сосудистого русла, который не требует прямой пункции артерии.
Но при этом врачу дается возможность исследовать патологические и структурные изменения сосудистого русла ткани в мозгу, оценить патофизиологические, физико-химические процессы всего мозга и его оболочек или отдельных структур. (МРА) Магнитно-резонансная ангиография позволяет выстроить трехмерную реконструкцию сосудистой сети в изучаемой области, получать серию тонких срезов, выделять отдельные нервные сосуды и стволы, проходящие в проекции отделов головного мозга.
В наше время магнитно-резонансная ангиография сосудов головного мозга головного мозга головного мозга перебралась на 1-е место при диагностике большей части сосудистых заболеваний головного мозга, вытеснив тем самым на второй план методы рентгенографии и компьютерной томографии.
Ангиография (КТ и МР)
Ангиография – рентгенологический метод исследования, позволяющий визуализировать кровеносные сосуды мозга с помощью введения в них контрастных веществ. Само изображение получают с помощью компьютерной или магнитно-резонансной томографии.
В медицине выделяют несколько видов процедуры:
- общая (введение контраста в главные кровеносные магистрали позволяет оценить все сосудистое русло);
- селективная (изучается одиночный бассейн, например, сонных артерий или вертебробазилярный);
- суперселективная (исследованию подлежит конкретный мелкий церебральный сосуд небольшого диаметра, расположенный в одном из бассейнов).
Стандартное ангиографическое исследование, связанная с проведением обычных рентгеновских снимков, активно замещается на методы с использованием КТ и МРТ. Это позволяет повысить качество получаемых изображений, получить объемную карту сосудов головного мозга, кроме того, такие исследования более безопасны для пациентов.
Ангиография проводится в следующих ситуациях:
- подозрения на наличие артериовенозной мальформации и аневризм сосудов;
- необходимость оценки степени сужения просвета артерии в связи с ее стенозом или закупоркой тромбом;
- изучение строения сосудистого русла рядом с опухолевым новообразованием для планирования хирургического вмешательства.
Список противопоказаний для ангиографии достаточно объемен:
- индивидуальная непереносимость или аллергия на используемые рентгеноконтрастные препараты;
- КТ-процедура противопоказана в период беременности, в связи с наличием ионизирующего излучения;
- психические расстройства, мешающие сохранению неподвижного положения тела во время ангиографии;
- острый инфекционный или воспалительный процесс в организме;
- нарушения работы системы гемостаза.
КТ и МРТ-ангиография требуют подготовки пациента к исследованию. Лечащему врачу необходимо исключить все противопоказания с помощью осмотра пациента и проведения лабораторных исследований крови. За одни сутки до процедуры выполняется аллергическая проба с рентгеноконтрастным препаратом. Во время проведения диагностического исследования больной должен снять любые металлические украшения.
Стоимость ангиографии может достигать 15-20 тысяч рублей. Средняя цена на процедуру – 7-9 тысяч с учетом использования рентгеноконтрастных веществ.
Ультразвуковые методы обследования
Важным этапом диагностики является проверка проходимости и наличия просвета вен и артерий. Процедура, которая применяется для этого, называется Рэоэнцефалография (РЭГ). Метод предполагает фиксацию данных о сопротивлении тканей и колебаниях пульса диагностируемого. Результат проверки показывает функциональность кровеносной системы пациента. Метод этот относится к функциональной диагностике и применяется повсеместно.
Иногда РЭГ применяют в акушерстве и гинекологии, для проверки гемодинамики головного мозга плода. Процедура не требует специальной подготовки пациента и практически не имеет противопоказаний. Однако диагностика не проводится у людей с тремором руг, ног или головы.
Эхоэнцефалография
Другими словами, этот метод можно назвать УЗИ мозга. Данный вид обследования позволяет увидеть не только структуру мягких тканей и состояние сосудов головы, но также и функциональную активность мозга. Используя эхоэнцефалографию, врач может диагностировать изменения в работе сосудов мозга и шеи, прогнозировать долговременные последствия таких патологий, включая понижение функциональности и необратимые повреждения некоторых участков мозга.
Ультразвуковая допплерография
Данный вид диагностики основывается на принципе комбинации допплерографии и обычного ультразвукового исследования. Большая популярность именно этого способа исследования сосудов шеи и мозга обусловлена возможностью получения множества дополнительных параметров для постановки диагноза, таких как:
- возможную закупорку сосудов головы или шеи;
- скорость тока крови по венам, капиллярам и артериям;
- атеросклеротические бляшки на стенках мелких и крупных сосудов;
- наличие участков сужения просвета внутри сосуда;
- возможные изменения кровотока, которое вызвано остеохондрозом, защемлением нервов шейного отдела позвоночника, а также патологические процессы в окружающих сосуд мягких тканях;
- аневризму в головном мозге
Нейросонография
Этот вид ультразвукового исследования в подавляющем большинстве случаев назначается для диагностики мозговых нарушений у младенцев через несросшуюся часть черепа, так называемый родничок. Метод позволяет видеть состояние костей черепа и мягких тканей шеи и головы, серого вещества мозга. С помощью этого вида обследования мозга диагностируются такие состояния, как:
- нарушения в структуре и функционировании сосудов;
- аневризмы;
- доброкачественные и злокачественные опухоли;
- врожденные нарушения функций сосудистой части головы и шеи.
Проведение диагностики с помощью нейросонографа через родничок у младенцев не требует особой подготовки или использования дополнительного оборудования. В обследовании используется обычный аппарат УЗИ.
Иногда нейросонография применяется для диагностики взрослых. В этом случае обследование сосудов проводится через височную кость черепа. Также потребуются дополнительные настройки ультразвукового аппарата.
Дуплексное исследование сосудов головы
С помощью данного сканирования получают изображение просвета сосуда в цветном варианте. Также этот метод позволяет измерять скорость тока крови в сосудах, определять другие параметры, такие как:
- эластичность и проницаемость стенок сосудов, их плотность;
- тонус кровеносных сосудов;
- наличие повреждений стенок сосудов;
- просвет сосуда;
- присутствие тромбов, а также атеросклеротических бляшек на стенках сосудов;
- патологические искривления формы сосудов.
Метод допплерографии позволяет получить более полную и подробную картину о функционировании сосудов, наполненности их кровью и скорости тока крови внутри сосудов головы и шеи. При этом исследование происходит методом послойного сканирования и показывает состояние сосудов всех слоев. Допплерография обеспечивает наиболее подробную и полную визуализацию функционирования и структуру сосудов шеи и головы.
Первичные головные боли
О них говорят в случаях, когда болевое ощущение не является проявлением какой-либо иной патологии.
Это самый часто встречающийся тип первичной цефалгии. Ею в большей степени страдают женщины.
Такой тип боли характеризуется людьми как ощущение сдавливания или сжимания, как будто на голову наложена тугая повязка или надет обруч. Характерные отличительные особенности:
- Двусторонняя локализация болезненности.
- Боль не является пульсирующей.
- Интенсивность болевых ощущений от легкой до умеренной, не зависит от обычной физической активности.
- Отсутствует тошнота и рвота.
Цефалгия данного типа может длиться от получаса до недели. Обычно она вызывается эмоционально-психическими факторами (стрессом, депрессией, травмирующими жизненными обстоятельствами) и мышечным напряжением (длительно занимаемое вынужденное положение шеи и головы за рулем автомобиля, во время работы в офисе).
Головная боль напряжения может появляться утром и сопровождать весь день, периодически ослабевая и вновь усиливаясь. Случается и так, что она возникает в ходе напряженных рабочих будней, во второй половине дня.
Цефалгия напряжения, в отличие от других первичных головных болей, не вызывает серьезного нарушения работоспособности, позволяя выполнять трудовые обязанности.
Мигрень
Проявляется интенсивными болевыми ощущениями приступообразного характера. Часто ею страдают женщины. К заболеванию имеется наследственная предрасположенность, передающаяся по женской линии.
Как правило, приступы этого недуга происходят с периодичностью 2-8 раз за месяц.
Отличительные особенности мигрени:
- Болевое ощущение возникает с одной стороны, обычно в районе виска, лба, глаза.
- Болезненность нарастает при стандартной физической нагрузке.
- Присутствует сильная чувствительность к дневному свету (фотофобия) и звукам (фонофобия).
- Возникает тошнота, иногда – рвота, нарушается желудочная перистальтика.
- Появляется раздражительность, вялость, подавленное настроение.
Примерно в 10-15 % случаев до начала приступа возникает явление, именуемое мингренозной аурой, представляющее собой комплекс специфических симптомов. Среди них: нарушение концентрации, речи, слухового, зрительного, тактильного, обонятельного восприятия, «туман» перед глазами, оцепенение, головокружение.
Аура обычно длится не дольше часа. Ее симптомы исчезают с началом болевого приступа. Иногда после ауры мигрень не развивается.
Приступы заболевания могут вызываться изменением погодных условий, недостаточным или избыточным сном, стрессом, некоторыми продуктами (шоколад, цитрусовые, сыры жирных сортов), алкоголем.
По данным ВОЗ, поражает менее 1 человека на 1000 взрослых людей. Цефалгия в данном случае возникает сериями, или кластерами. Такая особенность дала название этому недугу.
Боли в позвоночнике: причины, лечение профилактика
Заболевание характеризуется кратковременными, но частыми и тяжелыми болевыми приступами, имеющими особенности:
- Признаки, предвещающие наступление приступа, отсутствуют.
- Боль четко односторонняя и весьма интенсивная, локализуется вокруг глаза, в надбровной или височной области. Может отдавать в верхнюю или нижнюю челюсть.
- Болевой приступ продолжается от четверти часа до 3 часов, возникает от 1 раза в два дня до 8 раз за сутки, часто ночью.
- Невыносимая боль приводит к невозможности находиться в покое, агрессии, плачу.
- На пике болевых ощущений возможно слезотечение, опущение век, заложенность носа со стороны поражения, насморк, потливость лица и лба. Как правило, на пораженной части головы веко опускается и выглядит припухшим.
- Возрастает частота сердечных сокращений.
- Приступы носят сезонный характер, преобладают в осенне-весенний период.
Врачи отмечают, что в большей степени кластерной головной боли подвержены мужчины крупного мускулистого телосложения, выше среднего роста, курящие, употребляющие алкоголь. У многих из них стаж курения начался в подростковом возрасте.
В этот раздел включают болевые ощущения, возникающие у здоровых людей под воздействием различных факторов.
- Первичная колющая цефалгия, появляющееся в виде ощущения одного или серии уколов в районе головы. Она длится несколько секунд и может нерегулярно повторяться на протяжении суток. Сопутствующих симптомов не наблюдается.
- Первичная кашлевая цефалгия. Проявляется после 50 лет. Обычно беспокоит в течение четверти часа после пробуждения. Иногда сопровождается тошнотой или фонофобией или фотофобией.
- Громоподобная первичная цефалгия. Имеет внезапное начало, ее максимальная интенсивность наступает менее чем за 1 минуту. Такая боль может стать признаком серьезных внутричерепных патологий, поэтому требует обследования.
- Первичная цефалгия, связанная с физическим напряжением. Для нее характерна пульсирующая боль в голове, длящаяся от 5 минут до 2 суток.
- Цефалгия на фоне сексуальной активности. Тупая боль в районе головы и шеи нарастает одновременно с сексуальным возбуждением. Может появляться и в другом варианте – возникать после оргазма по принципу громоподобной боли.
- Гипническая цефалгия. Начинается во время сна, вынуждая человека просыпаться. После пробуждения длится около 15 минут.
Симптомы перечисленных патологических состояний бывают схожи с проявлениями вторичных цефалгий, поэтому в случае их возникновения требуется тщательное обследование.
Электроэнцефалография
Электроэнцефалография (ЭЭГ) — это запись колебаний электрических потенциалов мозга, которые регистрируют при помощи приборов под названием -электроэнцефалограф.
Биотоки мозга отводятся с помощью укрепляемых на коже головы электродов и фиксируются на бумаге или мониторе. ЭЭГ проводится при задержке психоречевого развития, наличии эпилептических припадков, травмах. Современное оснащение позволяет проводить ЭЭГ-мониторинг — продолжительную запись биотоков у людей больных эпилепсией.
Запись электрической активности мозга. Косвенно отражает изменения кровоснабжения отдельных структур. В исследовании сосудов используют только как дополнительный метод.
- на голове фиксируют шлем с электродатчиками, которые снимают электроимпульсную активность головного мозга;
- в течение процедуры проводят ряд проб (световые, шумовые, дыхательные)
Электроэнцефалографическое исследование и его результаты
| Противопоказания | Подготовка | Время (мин) |
| Психические нарушения в острый период Ранний детский возраст
Психотравма в период эмоциональной неустойчивости |
Не использовать стимуляторы в течение 12 часов до исследования (никотин, кофе, энергетики) Вымыть голову, не использовать средства для укладки
Прием пищи не позднее 2 часов до процедуры |
45–120 |
Как выбрать метод исследования
Каким способом проверить головной мозг и его сосуды зависит от поставленного врачом диагноза. Также выбор зависит от степени оснащенности оборудованием учреждения. УЗИ аппараты имеют меньшую стоимость и требований к эксплуатации, поэтому именно УЗИ чаще и является основным методом. Аппараты МРТ, ПЭТ, КТ дорогостоящее оборудование, которое может себе позволить не любая клиника.
С помощью УЗИ устанавливают множество заболеваний, и часто необходимости в других исследованиях нет. При затруднениях в постановке диагноза назначают МРТ или КТ для получения послойных снимков, если патологический очаг не удается определить с помощью УЗИ. Ультразвуковое исследование – самая распространенная процедура, отличающаяся доступной ценой и безвредностью. В случаях онкологических образований, которые не дают симптоматики и обнаружены случайно, потребуется ПЭТ, чтобы определить стадию развития болезни.
Процедура ПЭТ стоит дорого – средняя стоимость около 17.000 рублей, при опухолях его сочетают с МРТ диагностикой, что дополнительно будет стоить около 5.000 рублей. При диагностики нейрохирургических патологий МРТ незаменима, определить точное расположение гематом и других образований, без данного исследования крайне сложно. КТ чаще проводят при черепно-мозговых травмах, повреждениях крупных стволов сосудов, перед проведением трепанации черепа. Ее стоимость в среднем 4.000 рублей.
Магнитно-резонансная томография
Компьютерная томография сосудов головного мозга (КТ) — проверка сосудов головного мозга сканирующим устройством, оно измеряет интенсивность потока рентгеновских лучей следом за прохождением их через мозговую ткань, и позволяет получить изображение срезов головного в горизонтальной плоскости на разном уровне.
Такая процедура проходит при помощи сканирующего устройства, совершая оборот вокруг головы пациента с размером шага в 1 градус. Собранная информация записывается в компьютер и он быстро производит вычисления. Метод компьютерной томографии при помощи изменения в плотности мозговой ткани может выявлять врожденные пороки развития, определять месторасположение и характер разных патологических образований, степень расширения ликворосодержащей системы мозга.
В случаях, когда нужно проверить состояние сосудов головы и шей пациента, отличным методом является МРТ. Процесс базируется на физическом образовании специальных ядерно-магнитных сигналов, которое резонируют друг с другом. Аппарат воздействует во время диагностики на тело пациента, после чего оборудование улавливает уже отраженные внутренними органами человека магнитные колебания.
Исследование сосудов головного мозга этим методом позволяет специалисту получить следующие данные о пациенте:
- Узнать строение всей сети, расположение каждой вены, артерии или капилляра, где находятся сосудистые веточки у конкретного пациента.
- Выявить аневризматическое расширение, наличие тромбов и гематом.
Данный вид обследования применяется в медицине с целью своевременной проверки развития у пациента коллатерального кровообращения, а также обнаружения каких-либо повреждений на тканях и биологических структурах головного мозга. Перед процедурой, пациент снимает металлические аксессуары и украшения с себя, а также вытаскивает все из карманов. Весь процесс занимает около 30-40 минут. Диагностика не подходит людям, у которых ранее был установлен кардиостимулятор.
Что выявляет обзорное обследование
МРТ показывает внутримозговые кровоизлияния. Они возникают, как правило, из-за стойкого повышения кровяного давления, артериовенозных мальформаций (АВМ), ишемического инсульта, новообразований и метастазов. Обязательно стоит учесть, что в первые сутки диагностировать кровоизлияние с помощью томографии невозможно. Этот метод диагностики информативен в стадии организации и подостром периоде.
Для демиелинизирующих болезней характерны следующие признаки:
- гиперинтенсивные очаги демиелинизации на Т2-взвешенных изображениях;
- наличие части очагов (около 20%) на Т1-взвешенных изображениях с полным разрушением названного вещества;
- размер измененных участков — до 5 миллиметров.
Благодаря томографии могут быть обнаружены инфекционные заболевания:
- Энцефалиты. При проведении исследования обнаруживаются неспецифические участки повышения сигнала на изображениях, взвешенных по Т2.
- Абсцессы главного органа центральной нервной системы. Их полости на Т1-взвешенных изображениях гипо- или изоинтенсивны. Капсулы являются гиперинтенсивными. На Т2-ВИ для сигналов от абсцессов характерна гиперинтенсивность.
- Паразитарные болезни. Для каждого недуга характерна определенная картина. Например, при токсоплазмозе обнаруживается огромное количество маленьких узелков в больших полушариях и базальных ганглиях. Для цистицеркоза характерны кисты. Внутри них содержатся кальцификаты.
С помощью томографии специалист может диагностировать инфаркт (ишемический инсульт) головного мозга. При этом заболевании нарушается мозговой кровоток. В результате из-за недостаточного кровоснабжения образуются некротические участки.
Ишемический инсульт на снимке МРТ
При осуществлении томографии головного мозга можно заметить очаговое усиление сигнала на Т2-ВИ. МР-ангиография, проводимая при инфаркте, показывает снижение кровотока в пораженном кровеносном сосуде или его полную закупорку.
Черепно-мозговая травма,3 сутки.
При подозрении на черепно-мозговую травму необходимо обследование пострадавшего человека. В первые сутки проводится компьютерная томография для оценки нарушения целостности костей и для выявления свежих внутричерепных кровоизлияний.
Начиная с третьих суток, специалисты применяют МРТ. Этот метод диагностирования дает возможность обнаружить:
- ушибы главного органа ЦНС (неоднородное изменение интенсивности МР-сигнала, зависящее от продуктов распада гемоглобина);
- внутримозговые гематомы (острые гематомы изоинтенсивны на изображениях, взвешенных по Т1, и гиперинтенсивны на Т2-взвешенных изображениях; для подострой стадии характерно усиление интенсивности МР-сигнала на изображениях, взвешенных по Т1);
- субарахноидальные кровоизлияния (через два дня с момента получения травмы при проведении обследования можно отметить гиперинтенсивный сигнал на изображениях, взвешенных по Т1).
Магнитно-резонансная томография играет важное значение в выявлении новообразований головного мозга. Специалисты выделяют прямые, а также косвенные признаки
К первым из них относится наличие структур, для которых характерна разная интенсивность МР-сигналов.
Косвенными признаками являются следующие особенности:
- смещение срединных структур внутреннего органа;
- изменение параметров желудочков, их сдавливание;
- деформирование базальных цистерн;
- отек органа в области имеющихся новообразований.
В заключение стоит отметить, что МРТ головного мозга — это основной метод визуализации структур главного органа центральной нервной системы. Данное исследование очень информативно в диагностировании различных заболеваний и травм. Однако не всегда с помощью него специалистам удается узнать точный диагноз. В определенных случаях назначаются дополнительные методы исследования.
Лабораторные исследования
Данный метод обследования особой роли в процессе диагностики сосудов шеи и головного мозга не играет. Однако анализы позволяют выявить причины заболевания и степень пораженности организма человека. Например, биохимическое обследование крови помогает выявить атеросклероз, о котором говорит повышенный уровень низкоплотных липопротеинов.
Если в формуле крови диагностируемого обнаружено повышение эозинофилов и базофилов, то можно сделать вывод о системных васкулитах. Если проверка сосудов шеи и головного мозга установила высокий уровень таких элементов в крови, как тромбоциты, фибриноген, протромбин, то можно судить о повышенной свертываемости крови.
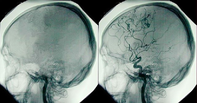
Рентгеновская диагностика состояния сосудов головы
Ангиография — один из самых эффективных методов обследования сосудов головного мозга а также шеи, позволяющий получать подробные снимки даже самых мелких сосудов. В данном исследовании используется рентгеновское излучение, а также внутривенное введение контрастного вещества для лучшей детализации изображения исследуемого участка. Ангиография бывает следующих видов:
- общая ангиография. При этом исследуется целая сеть сосудов мозга;
- селективная ангиография. Это способ, когда получают снимки одного или нескольких сосудов для подробного исследования.
При всех диагностических достоинствах рентгеновское излучение оказывает негативное воздействие на организм человека. Использование данного метода может быть противопоказано некоторым категориям пациентов.
Нейросонография
Нейросонография (НСГ) — ультразвуковое исследование головного мозга детей в раннем возрасте при наличии большого открытого родничка. Через большой родничок — специалист при помощи ультразвукового датчика может исследовать размеры ликворопроводящей системы, строение мозга, определять параметры кровотока.
Это метод достаточно информативный и безопасный, он позволяет вовремя оценить эффективность лечения в течении динамического наблюдения и выявлять патологические изменения в головном мозгу у детей.
Заболевания мозга, выявляемые на МРТ
Какие ещё диагнозы можно подтвердить или впервые поставить, основываясь на результатах МРТ?
Опухоль
На снимках она будет отличаться по цвету от здоровых тканей, чаще всего она выглядит как более светлая область с неровными контурами. Такое образование может смещать другие структуры мозга. В случае обнаружения опухоли, могут потребоваться дополнительные исследования, чтобы установить её природу и контролировать её рост. В том числе могут понадобиться дополнительные МРГ мозга для наблюдения за динамикой её роста.
Инсульт
Во время инсульта некоторых зоны мозга страдают от гипоксии, то есть от недостатка кислорода. Потому что во время приступа сосуды головы спазмируются, кровь, обогащённая кислородам, перестаёт поступать. В зависимости от длительности приступа степень гипоксии будет разной. В самых тяжёлых случаях возможно отмирание некоторых участков мозга.
Зона мозга, пострадавшая от гипоксии, на снимке будет более светлая, чем здоровые участки мозга. Её можно визуально отличить от опухоли, потому что эта зона соответствует бассейну иннервации одной из пострадавших мозговых артерий.
Если во время инсульта сосуд разорвался, то на снимке будет заметна гематома. На снимках её оттенок темнее здоровой области.
Рассеянный склероз
Это болезнь, при которой некоторые нервные волокна теряют внешний слой. Из-за этого ухудшается проводимость по ним импульсов от мозга ко всем конечностям и внутренним органам. Поэтому при рассеянном склероза человеку сложно управлять своим телом.
Очаги заболевания выглядят на снимках как светлые области. Их можно обнаружить в любом отделе мозга. Их количество может быть любым от одного до нескольких десятков. Если образование только одно, его можно спутаться с новообразованием. Но в отличие от опухоли, зоны поражения при рассеянном склерозе не сдавливают и не деформируют другие участки мозга.
Гидроцефалия
Это заболевание ещё называют водянкой. Это расширение полостей желудочков мозга. Так как их объём больше нормального, то они будут сдавливать мозг, мешая его нормальному функционированию. Если такое состояние пациента не контролировать, то в последствии травмы мозга могут быть фатальными.
Глиоз мозга
Мозга глиоз (как чаще говорят врачи) – это не заболевание, а, скорее, состояние головного мозга, которое характеризуется нарушением работы центральной нервной системы. При глиозе отмирают нейроны мозга. Это состояние является следствием длительной гипоксии или инсульта. На снимках в таком случае видны рубцы.
Аномалии строения и развития мозга
Если у пациента есть врождённые патологии, то на снимках они будут видны. Об их степени тяжести и влиянии на здоровье пациента, будет судить лечащий врач. Во многих случаях такие аномалии или устраняются хирургическим путём, или не влияют на самочувствие пациента.
Атеросклероз сосудов
На снимках это заболевание выглядит как сужение сосуда, как будто его пережали. Проникновение контрастного вещества в этой области меньше, поэтому эта область на снимке выглядит более светлой.
Гипертоническая ангиопатия
Это расширение периваскулярных пространств, то есть появление отёка. На изображении можно увидеть круглые или овальные области с чёткой границей рядом с сосудами.
Аневризма
Это истончение стенки сосуда вследствие его расширения. Аневризма в любой момент может разорваться. Поэтому такие состояния крайне опасны и требует незамедлительного рассмотрения на консилиуме.
Мальформация
Это патология сосудистого русла, она относится к врождённым патологиям. На снимках видно, что сосуды, которые расположены радиально, сходятся к центру.
Ультразвуковая диагностика
Нейросонография
Современная медицина активно развивается с каждым годом. В настоящее время известно уже несколько разных методов проведения диагностики сосудов. Все процедуры имеют свои особенности и цели, назначаются для проверки структуры вен и артерий, исследования состава крови, проходимости сосудов и прочего.
Ниже представлено подробное описание методов:
- УЗДС – так сокращенно называется дуплексное сканирование кровеносных сосудов человека. Метод диагностики помогает проверить скорость кровотока, а также дать оценку анатомическому строению сосудов. Процедура предполагает выведение информации на монитор, за счет чего специалист без труда определяет наличие таких нарушений, как стеноз, тромбоз, извитость, швы на артериях и венах после хирургических операций и многое другое.
- УЗДГ. В основе данного метода лежит эффект Доплера. Процедура позволяет оценить состояние сосудов головы (прежде всего, проходимость, отсутствие повреждений) а также направление кровотока. Датчики медицинского оборудования в данном случае устанавливаются интуитивно, на предполагаемую область. С помощью специального графика движения крови врач определяет сосудистую проходимость. Однако стоит отметить, что даже если диагностика выявит какие-либо проблемы со здоровьем у пациента, то определить причины их появления метод не позволяет.
- Триплексное сканирование. По сравнению с предыдущим методом ультразвуковой диагностики, этот вариант проверки отличается лишь наличием монитора, где видна необходимая информации о кровеносной системе пациента. Этот метод помогает специалистам оценить скорость передвижения крови, а также анатомию вен и артерий пациента. Кроме того, преимуществом является цветной экран, на котором все хорошо видно.
Ограничения и противопоказания
К первой группе относятся:
- имплантированные в тело металлические предметы любого предназначения;
- кардиостимулятор (взаимодействие магнитного поля и стимулятора может нарушить сердечный ритм);
- имплантат внутреннего уха;
- кровоостанавливающие клипсы, установленные на сосудах (в данном случае не исключен разрыв мозгового сосуда, с последующим кровоизлиянием в мозг);
- металлические протезы суставов и присутствие аппарата Илизарова (инструмент-конструктор для фиксации частей конечности);
- несъемные брекеты;
- избыточный вес обследуемого (стол томографического аппарата не выдерживает нагрузку более 120 кг).
Релятивные противопоказания связаны с определенными состояниями здоровья человека на момент произведения МРТ головы.
Таковыми являются: отсутствие сердечной стабильности в выполнении насосной функции (декомпенсированная сердечная недостаточность), начальный период вынашивания ребенка (первый триместр). Тератогенное (неблагоприятное для эмбриона) воздействие магнитных потоков изучено недостаточно. Во избежание нежелательных последствий томограмму следует отсрочить.
В перечень также входят психопатологический симптом фобии замкнутых пространств, психоэмоциональное перевозбуждение обследуемого (принятие спиртного, наркотиков или приступы хронического психического заболевания), неспособность пациента оставаться в состоянии полного покоя (неподвижности), нарушение у больного основных жизненных функций (тяжелое состояние), потребность в постоянном контроле показателей артериального давления, сердечного ритма, дыхательной функции.
Не рекомендуется магнитно-резонансная томография для обследования в дошкольном возрасте
Доктор может не допустить к процедуре в случае татуажа, если были использованы металлосодержащие красители. Внутриматочная спираль противопоказанием не является.
Существует две разновидности проведения процедуры диагностики: с введение контрастного вещества и без него. Первый вариант обеспечивает наибольшую результативность за счет ярко выраженного цветового контраста пораженных участков на компьютерном изображении. МРТ с контрастом, чаще всего, производится для дифференциации злокачественного заболевания от доброкачественного.
Применение данной методики обследования запрещается в следующих ситуациях:
- высокая предрасположенность к аллергическим реакциям (в этом случае до обследования будет нелишним сдать аллергопробу на гадолиний);
- период беременности и кормления грудью;
- серьезные хронические болезни сердца;
- аутоиммунная патология у пожилых людей – рассеянный склероз.
При хроническом сбое в работе почек, влекущем нарушение водного, электролитного, азотистого и других видов обмена, вариант контрастного исследования назначается крайне осторожно, по жизненным показаниям. Перед магнитно-резонансной томографией пациент обязан уведомить специалиста об имеющихся диагнозах, представленных в данном перечне
При наличии противопоказаний, проведение МРТ недопустимо, поскольку это может навредить здоровью пациента либо исказить данные обследования. Результаты МРТ головы позволяют детально проанализировать состояние тканей мозга, их состав и структуру. Данное обследование является безвредной диагностической процедурой, поскольку воздействие магнитных импульсов на человеческий организм потенциально безопасно.
Допплерография
Допплерография ( доплерография ) -это одна из разновидностей ультразвуковой диагностики. Она учитывает изменения частоты волн ультразвука которые отражаются от подвижных структур организма человека.
Обследование сосудов головного мозга при помощи метода доплерографии можно получить максимально точную информацию о функциональной активности и состоянии сосудов. Обследование не требует особой подготовки пациента и проводится в амбулаторных условиях.
Большинство современных медицинских центров проводят ультразвуковые исследования различных видов. Доплер – это широко распространенный метод диагностики для взрослых и детей. Стоит отметить, что такая проверка позволяет получить много информации о состоянии пациента и показать серьезные нарушения, а также заболевания.
Процерура назначается, когда специалисту нужно узнать состояние магистральных, сонных, позвоночных артерий пациента, а также сделать выводы о наличии определенных нарушений или заболеваний.
Существует два варианта проведения ультразвукового исследования. Специалист выбирает оптимальный метод проверки для каждого пациента, в зависимости от того, какие данные ему нужно получить:
- УЗДГ транскраниальное. Процесс предполагает установку специальных датчиков для диагностики на кости черепа в местах с наименьшей толщиной ткани. В результате проведения этой процедуры специалист может узнать состояния сосудов, которые находятся в области головного мозга человека.
- Допплерография (метод исследования экстракраниальных сосудов). Этот вариант диагностики применяется с целью осмотра крупных сосудов, которые относятся к области шеи.
Какое МРТ делать?
Если боль в голове невероятно сильная и длится уже достаточно долгий период, а также имеет множество симптомов, которые связаны с раздражением, плохим сном, расстройством желудка, рвотой и тошнотой, то это говорит о каких-то серьезных заболеваниях в области головного мозга.
Если при диагностике назначается проведение МРТ головного мозга, то это нужно сделать с целью проверки патологий сосудов.
Мигрень происходит по той причине, что сосуды в мозге человека сокращаются в определенный момент.
За счет этого в головном мозге случается спазм. Томограф данного типа позволяет узнать о нарушениях кровотока, а также отражения различного ишемического типа.
Некоторые пациенты сталкиваются с проблемой после МРТ – начинает сильнее болеть голова. Природа этого явления еще не выявлена – построение изображения выполняется за счет электромагнитного воздействия, а оно для организма безвредно.
В любом случае различные обследования должны иметь полный характер. Это позволит врачу увидеть всю картину заболевания и назначить максимальное точное лечение. За счет полной диагностики получится узнать причину боли в голове. Как правило, специалисты в первую очередь делают МРТ мозга.
Такие процедуры осуществляются не зависимо от того, есть ли в данный момент головные боли. Полноту информации для врача даст полный сбор анамнеза.
Причины ошибок при диагностике
Если применять данный диагностический метод, вероятность получения точного диагноза зависит от множества факторов, к которым относятся как неправильная подготовка пациента, так и ошибки врача, проводящего процедуру.
Нарушения при подготовке и проведении исследования со стороны пациента
Основной причиной ошибок результатов исследования является нарушения со стороны пациента. Он должен находиться в сканере на протяжении всей процедуры, сохраняя полную неподвижность. В связи с тем, что процедура может длиться достаточно долго, не каждый пациент может сохранять такую неподвижность. При малейших шевелениях возникают смазанные детали изображения. Таким образом, картинка становится неинформативной, особенно при исследовании головного мозга.
Перед проведением процедуры пациент должен снять все украшения, пирсинг, часы, съемные коронки и другие металлические детали. Также он должен сообщить врачу о наличии металлических имплантатов в теле.
Ошибки при выборе методики исследования
Некоторые заболевания мозга невозможно диагностировать при помощи МРТ без контраста. К примеру, при выявлении онкологических новообразований без контраста невозможно определить степень развития метастазов. Поэтому основной ошибкой врача является недооценка тяжести заболевания и выбор неэффективного метода исследования.
Низкая квалификация специалиста-рентгенолога
При проведении МРТ мозга важно, чтобы врач-рентгенолог обладал высокой квалификацией. Это имеет большое значение на этапе расшифровки результатов
К примеру, за патологию могут быть приняты анатомические особенности строения мозга.
Поэтому отсутствие опыта у специалиста может сказаться на заключении врача. Если он никогда не сталкивался на практике с определенной патологией, то ему будет чрезвычайно трудно найти ее на снимке, а не списать на особенность строения мозга. Поэтому в процессе оценки снимков неопытный врач не всегда способен определить патологию, может допустить серьезные ошибки и не может поставить верный диагноз.
Чтобы избежать недоразумений, рекомендуется записываться на исследование только в специализированных центрах. Это повышает вероятность грамотного подхода к расшифровке результатов после прохождения МРТ головного мозга и других органов и систем человеческого организма. Перед выбором медицинского центра необходимо ознакомиться с отзывами. Немаловажную роль также играет рекомендация лечащего врача. Это позволит быть уверенными в диагнозе
МРТ головного мозга — эффективный способ выявления патологий. Несмотря на высокую точность, при неправильной подготовке или низкой квалификации специалистов, возможны ошибки в диагнозе. Поэтому необходимо отдавать предпочтение только проверенным клиникам с высококвалифицированным персоналом.
В чем заключается исследование
К сожалению, несмотря на обилие информации, до сих пор не все больные понимают, что такое МРТ. Многих пугают лучевая нагрузка, рентгеновское излучение или вовсе «радиация», которую можно получить во время исследования. Некоторые принципиально не хотят сделать подобное обследование головы даже по медицинским показаниям, тем самым подвергая себя гораздо большему риску, например, в результате злокачественной опухоли. Поэтому объясним, что такое МРТ и почему метод безопасен.
В основе метода лежит принцип электромагнитного излучения, которое никак не связано с рентгеновскими лучами.
Индукционная катушка внутри контура томографа создает сильное магнитное поле, под действием которого атомы водорода в органах и тканях приходят в упорядоченное движение (резонансный эффект). Электронные датчики улавливают эти микроколебания, и полученные импульсы преобразуются в изображение.
Радиолог может показать первые результаты обследования сразу после теста. Полноценный анализ состояния будет готов спустя 1-2 дня
Лечение
Лечение первичных синдромов головной боли включает разные методы. Но стоит принять во внимание, при хронических головных болях продолжительное употребление опиоидов приводит больше к вреду, чем к пользе. Следует избегать комбинированных анальгетиков с кофеином, барбитуратов или, по крайней мере, ограничить их прием менее чем 2 дозами в неделю.
- Головная боль напряжения: эффективной стратегией лечения при нечастых эпизодах являются нестероидные противовоспалительные средства (парацетамол, напроксен, ибупрофен, аспирин) или ацетаминофен. При хронической головной боли напряжения используют трициклические антидепрессанты (амитриптилин) в течение нескольких мясяцев.
- Мигрень: возможные методы лечения включают бета-блокаторы, антидепрессанты, противосудорожные препараты, нестероидные противовоспалительные средства. Тип лекарственного препарата выбирается на основе других симптомов, так если человек страдает депрессией, то антидепрессанты – лучший выбор.
- Кластерный тип: хорошо реагирует на инъекционный или назальный суматриптан или назальный золмитриптан, если нет противопоказаний. Оксигенотерапия – 100% кислород 10–15 л в минуту через специальную маску в течение 10–20 минут.
Лечение первой линии при приступе мигрени: парацетамол или ибупрофен 600–800 мг или аспирин 900 мг, иногда с противорвотными средствами (домперидон 10-20 мг). Столь же эффективны напроксен и диклофенак.
При острых приступах назначают триптаны. Некоторые из них характеризуются быстрым началом обезболивания (золмитриптан, ризатриптан, элетриптан), но проблема в рецидиве симптомов в течение 24 часов, из-за короткого периода полувыведения лекарств. Наратриптан и фроватриптан имеют более медленное начало действия, но хорошо предотвращают рецидивы. Считается, что комбинирование триптана и НПВП (напроксен) приносит большую пользу, чем прием одного триптана. Дополнительно к пероральным формам некоторые триптаны доступны как инъекционные или назальные препараты и подходят тем пациентам, у кого рвота в начале приступа мигрени.
Помогают облегчить боли немедикаментозные вмешательства: лечение травами (белокопытник), иглоукалывание, гомеопатия, индийский массаж головы и когнитивно-поведенческая терапия.
Терапия вторичных головных болей включает лечение первопричины. Например, человеку с менингитом потребуются антибиотики. Человеку с опухолью головного мозга – химиотерапия или облучение головного мозга.
Реоэнцефалография (РЭГ)
РЭГ – метод, позволяющий фиксировать электрическое сопротивление тканей, пульсовые колебания и проводить их анализ. Процедуру можно пройти на специальном аппарате в условиях кабинета функциональной диагностики, имеющегося в большинстве лечебных учреждений.
Реоэнцефалография показана людям при следующих состояниях:
- признаки острого или хронического нарушения мозгового кровотока;
- мигрень без установленной причины;
- травматические повреждения мозга в прошлом;
- наличие эпилептических припадков у взрослых и детей.
Процедура не требует проведения специальной подготовки и не имеет противопоказаний. Однако применение РЭГ у больных с тремором головы и рук не всегда целесообразно, в связи с появлением помех, создаваемых движениями.
В среднем, проведение реоэнцефалографии стоит около 600 рублей, однако цена может доходить до и 3-4 тысяч при одновременном проведении функциональных проб.
ЧТО ЗНАЕТ НАУКА О МОЗГЕ
Несмотря на все достижения современной науки, человеческий мозг остается самым загадочным объектом. С помощью сложнейшей тонкой аппаратуры ученые Института мозга человека Российской АН смогли «проникнуть» в глубины мозга, не нарушая его работы, и выяснить, каким образом происходит запоминание информации, обработка речи, как формируются эмоции. Эти исследования помогают не только разобраться в том, как выполняет мозг свои важнейшие психические функции, но и разработать методы лечения тех людей, у которых они нарушены. Об этих и других работах Института мозга человека рассказывает его директор С. В. Медведев.
Интересные результаты дает такой эксперимент. Испытуемому рассказывают одновременно две разные истории: в левое ухо одну, в правое — другую.
Исследования, проведенные в последние годы в Институте мозга человека Российской академии наук, позволили определить, какие области мозга отвечают за осмысление различных особенностей воспринимаемой человеком речи.
Мозг против мозга — кто кого?
Проблема исследования мозга человека, соотношения мозга и психики — одна из самых захватывающих задач, которые когда-либо возникали в науке. Впервые поставлена цель познать нечто, равное по сложности самому инструменту познания. Ведь все, что до сих пор исследовалось — и атом, и галактика, и мозг животного — было проще, чем мозг человека. С философской точки зрения неизвестно, возможно ли в принципе решение этой задачи. Ведь, кроме приборов и методов, главным средством познания мозга остается опять-таки наш человеческий мозг. Обычно прибор, который изучает какое-то явление или объект, сложнее этого объекта, в этом же случае мы пытаемся действовать на равных — мозг против мозга.
Грандиозность задачи привлекала многие великие умы: о принципах работы мозга высказывались и Гиппократ, и Аристотель, и Декарт и многие другие.
В прошлом веке были обнаружены зоны мозга, отвечающие за речь, — по имени открывателей их называют области Брока и Вернике. Однако настоящее научное исследование мозга началось с работ нашего гениального соотечественника И. М. Сеченова. Далее — В. М. Бехтерев, И. П. Павлов… Здесь я остановлюсь в перечислении имен, так как выдающихся исследователей мозга в двадцатом веке много, и слишком велика опасность кого-нибудь пропустить (особенно из ныне здравствующих, не дай Бог). Были сделаны великие открытия, но возможности методик того времени для изучения человеческих функций весьма ограничены: психологические тесты, клинические наблюдения и начиная с тридцатых годов электроэнцефалограмма. Это все равно, что пытаться узнать, как работает телевизор, по гудению ламп и трансформаторов или по температуре футляра, либо попробовать понять роль составляющих его блоков, исходя из того, что произойдет с телевизором, если этот блок разбить.
Однако устройство мозга, его морфологию изучили уже довольно хорошо. А вот представления о функционировании отдельных нервных клеток были очень отрывочными. Таким образом, не хватало полноты знаний о кирпичиках, составляющих мозг, и необходимых инструментов для их исследования.
Два прорыва в исследованиях мозга человека
Реально первый прорыв в познании мозга человека был связан с применением метода долгосрочных и краткосрочных имплантированных электродов для диагностики и лечения больных. В то же время ученые начали понимать, как работает отдельный нейрон, как происходит передача информации от нейрона к нейрону и по нерву. В нашей стране первыми в условиях непосредственного контакта с мозгом человека стали работать академик Н. П. Бехтерева и ее сотрудники.
Так были получены данные о жизни отдельных зон мозга, о соотношении его важнейших разделов — коры и подкорки и многие другие. Однако мозг состоит из десятков миллиардов нейронов, а с помощью электродов можно наблюдать лишь за десятками, да и то в поле зрения исследователей часто попадают не те клетки, которые нужны для исследования, а те, что оказались рядом с лечебным электродом.
Тем временем в мире совершалась техническая революция. Новые вычислительные возможности позволили вывести на новый уровень исследование высших функций мозга с помощью электроэнцефалографии и вызванных потенциалов. Возникли и новые методы, позволяющие «заглянуть внутрь» мозга: магнитоэнцефалография, функциональная магниторезонансная томография и позитронно-эмиссионная томография. Все это создало фундамент для нового прорыва. Он действительно произошел в середине восьмидесятых годов.
В это время научный интерес и возможность его удовлетворения совпали. Видимо, поэтому Конгресс США объявил девяностые годы десятилетием изучения человеческого мозга. Эта инициатива быстро стала международной. Сейчас во всем мире над исследова нием человеческого мозга трудятся сотни лучших лабораторий.
Надо сказать, что у нас в то время в верхних эшелонах власти было много умных и болеющих за державу людей. Поэтому и в нашей стране поняли необходимость исследования мозга человека и предложили мне на базе коллектива, созданного и руководимого академиком Бехтеревой, организовать научный центр по исследованию мозга — Институт мозга человека РАН.
Главное направление деятельности института: фундаментальные исследования организации мозга человека и его сложных психических функций — речи, эмоций, внимания, памяти. Но не только. Одновременно ученые должны вести поиск методов лечения тех больных, у которых эти важные функции нарушены. Соединение фундаментальных исследований и практической работы с больными было одним из основных принципов деятельности института, разработанных его научным руководителем Натальей Петровной Бехтеревой.
Недопустимо ставить эксперименты на человеке. Поэтому большая часть исследований мозга проводится на животных. Однако есть явления, которые могут быть изучены только на человеке. Например, сейчас молодой сотрудник моей лаборатории защищает диссертацию об обработке речи, ее орфографии и синтаксиса в различных структурах мозга. Согласитесь, что это трудно исследовать на крысе. Институт специально ориентирован на исследование того, что нельзя изучать на животных. Мы проводим психофизиологические исследования на добровольцах с применением так называемой неинвазивной техники, не «залезая» внутрь мозга и не причиняя человеку особенных неудобств. Так осуществляются, например, томографические обследования или картирование мозга с помощью электроэнцефалографии.
Но бывает, что болезнь или несчастный случай «ставят эксперимент» на человеческом мозге — например, у больного нарушается речь или память. В этой ситуации можно и нужно исследовать те области мозга, работа которых нарушена. Или, наоборот, у пациента утерян или поврежден кусочек мозга, и ученым предоставляется возможность изучить, какие свои «обязанности» мозг не может выполнять с таким нарушением.
Но просто наблюдать за такими пациентами , мягко говоря, неэтично, и в нашем институте не только исследуют больных с различными повреждениями мозга, но и помогают им, в том числе и с помощью новейших, разработанных нашими сотрудниками методов лечения. Для этой цели при институте существует клиника на 160 коек. Две задачи — исследование и лечение — неразрывно связаны в работе наших сотрудников.
У нас прекрасные высококвалифицированниые доктора и медсестры. Без этого нельзя — ведь мы на переднем крае науки, и нужна высочайшая квалификация, чтобы реализовать новые методики. Практически каждая лаборатория института замкнута на отделения клиники, и это залог непрерывного появления новых подходов. Кроме стандартных методов лечения у нас проводят хирургическое лечение эпилепсии и паркинсонизма, психохирургические операции, лечение мозговой ткани магнитостимуляцией, лечение афазии с помощью электростимуляции, а также многое другое. В клинике лежат тяжелые больные, и бывает удается помочь им в случаях, считавшихся безнадежными. Конечно, это возможно не всегда. Вообще, когда слышишь какие-либо безграничные гарантии в лечении людей, это вызывает очень серьезные сомнения.
Будни и звездные часы лабораторий
В каждой лаборатории есть свои достижения. Например, лаборатория, которой руководит профессор В. А. Илюхина, ведет разработки в области нейрофизиологии функциональных состояний головного мозга.
Что это такое? Попробую объяснить на простом примере. Каждый знает, что одна и та же фраза иногда воспринимается человеком диаметрально противоположно в зависимости от того, в каком состоянии он находится: болен или здоров, возбужден или спокоен. Это похоже на то, как одна и та же нота, извлекаемая, например, из органа, имеет разный тембр в зависимости от регистра. Наш мозг и организм — сложнейшая многорегистровая система, где роль регистра играет состояние человека. Можно сказать, что весь спектр взаимоотношений человека с окружающей средой определяется его функциональным состоянием. Оно определяет и возможность «срыва» оператора за пультом управления сложнейшей машиной, и реакцию больного на принимаемое лекарство.
В лаборатории профессора Илюхиной исследуют функциональные состояния, а также то, какими параметрами они определяются, как эти параметры и сами состояния зависят от регуляторных систем организма, как внешние и внутренние воздействия изменяют состояния, иногда вызывая болезнь, и как в свою очередь состояния мозга и организма влияют на течение заболевания и действие лекарственных средств. С помощью полученных результатов можно сделать правильный выбор между альтернативными путями лечения. Проводится и определение приспособительных возможностей человека: насколько он будет устойчив при каком-либо лечебном воздействии, стрессе.
Очень важной задачей занимается лаборатория нейроиммунологии. Нарушения иммунорегуля ции часто приводят к возникновению тяжелых заболеваний головного мозга. Это состояние надо диагносцировать и подобрать лечение — иммунокоррекцию. Типичный пример нейроиммун ного заболевания — рассеянный склероз, изучением которого в институте занимается лаборатория под руководством профессора И. Д. Столярова. Не так давно он вошел в совет Европейского комитета, занимающегося исследованием и лечением рассеянного склероза.
В двадцатом веке человек начал активно изменять окружающий его мир, празднуя победу над природой, но оказалось, что праздновать рано: при этом обостряются проблемы, созданные самим человеком, так называемые техногенные. Мы живем под воздействием магнитных полей, при свете мигающих газосветных ламп, часами смотрим на дисплей компьютера, говорим по мобильному телефону… Все это далеко не безразлично для организма человека: например, хорошо известно, что мигающий свет способен вызвать эпилептический припадок. Можно устранить вред, наносимый при этом мозгу, очень простыми мерами — закрыть один глаз. Чтобы резко снизить «поражающее действие» радиотелефона (кстати, оно еще точно не доказано), можно просто изменить его конструкцию так, чтобы антенна была направлена вниз и мозг не облучался. Этими исследованиями занимается лаборатория под руководством доктора медицинских наук Е. Б. Лыскова. Например, он и его сотрудники показали, что воздействие переменного магнитного поля отрицательно сказывается на процессе обучения.
На уровне клеток работа мозга связана с химическими превращениями различных веществ, поэтому для нас важны результаты, полученные в лаборатории молекулярной нейробиологии, руководимой профессором С. А. Дамбиновой. Сотрудники этой лаборатории разрабатывают новые методы диагностики заболеваний мозга, проводят поиск химических веществ белковой природы, которые способны нормализовать нарушения в ткани мозга при паркинсонизме, эпилепсии, наркотической и алкогольной зависимости. Оказалось, что употребление наркотиков и алкоголя приводит к разрушению нервных клеток. Их фрагменты, попадая в кровь, побуждают иммунную систему вырабатывать так называемые «аутоантитела». «Аутоантитела» остаются в крови еще долгое время, даже у людей, переставших употреблять наркотики. Это своеобразная память организма, хранящая информацию об употреблении наркотиков. Если измерить в крови человека количество аутоантител к специфическим фрагментам нервных клеток, можно поставить диагноз «наркомания» даже через несколько лет после того, как человек перестал употреблять наркотики.
Можно ли «перевоспитать» нервные клетки?
Одно из самых современных направлений в работе института — стереотаксис. Это медицинская технология, обеспечивающая возможность малотравматичного, щадящего, прицельного доступа к глубоким структурам головного мозга и дозированное воздействие на них. Это нейрохирургия будущего. Вместо «открытых» нейрохирургических вмешательств, когда, чтобы достичь мозга, делают большую трепанацию, предлагаются малотравматичные, щадящие воздействия на головной мозг.
В развитых странах, прежде всего в США, клинический стереотаксис занял достойное место в нейрохирургии. В США в этой сфере сегодня работают около 300 нейрохирургов — членов Американского стереотаксического общества. Основа стереотаксиса — математика и точные приборы, обеспечивающие прицельное погружение в мозг тонких инструментов. Они позволяют «заглянуть» в мозг живого человека. При этом используется позитронно-эмиссионная томография, магниторезонансная томография, компьютерная рентгеновская томография. «Стереотаксис — мерило методической зрелости нейрохирургии» — мнение ныне покойного нейрохирурга Л. В. Абракова. Для стереотаксического метода лечения очень важно знание роли отдельных «точек» в мозге человека, понимание их взаимодействия, знание того, где и что именно нужно изменить в мозге для лечения той или иной болезни.
В институте существует лаборатория стереотаксических методов, которой руководит доктор медицинских наук, лауреат Государственной премии СССР А. Д. Аничков. По существу, это ведущий стереотаксический центр России. Здесь родилось самое современное направление — компьютерный стереотакcис с программно-математическим обеспечением, которое осуществляется на электронной вычислительной машине. До наших разработок стереотаксические расчеты проводились нейрохирургами вручную во время операции, сейчас же у нас разработаны десятки стереотаксических приборов; некоторые прошли клиническую апробацию и способны решать самые сложные задачи. Совместно с коллегами из ЦНИИ «Электроприбор» создана и впервые в России серийно выпускается компьютеризированная стереотаксическая система, которая по ряду основных показателей превосходит аналогичные зарубежные образцы. Как выразился неизвестный автор, «наконец, робкие лучи цивилизации осветили наши темные пещеры».
В нашем институте стереотаксис применяется при лечении больных, страдающих двигательными нарушениями (паркинсонизмом, болезнью Паркинсона, хореей Гентингтона и другими), эпилепсией, неукротимыми болями (в частности, фантомно-болевым синдромом), некоторыми психическими нарушениями. Кроме того, стереотаксис используется для уточнения диагноза и лечения некоторых опухолей головного мозга, для лечения гематом, абсцессов, кист мозга. Стереотаксические вмешательства (как и все остальные нейрохирургические вмешательства) предлагаются больному только в том случае, если исчерпаны все возможности медикаментозного лечения и само заболевание угрожает здоровью пациента или лишает его трудоспособности, делает асоциальным. Все операции производятся только при согласии больного и его родственников, после консилиума специалистов разного профиля.
Существуют два вида стереотаксиса. Первый, нефункциональный, применяется тогда, когда в глубине мозга имеется какое-то органическое поражение, например опухоль. Если ее удалять с помощью обычной техники, придется затронуть здоровые, выполняющие важные функции структуры мозга и больному случайно может быть нанесен вред, иногда даже несовместимый с жизнью. Предположим, что опухоль хорошо видна с помощью магниторезонансного и позитронно-эмиссионного томографов. Тогда можно рассчитать ее координаты и ввести с помощью малотравматичного тонкого щупа радиоактивные вещества, которые выжгут опухоль и за короткое время распадутся. Повреждения при проходе сквозь мозговую ткань минимальны, а опухоль будет уничтожена. Мы провели уже несколько таких операций, бывшие пациенты живут до сих пор, хотя при традиционных методах лечения у них не было никакой надежды.
Суть этого метода в том, что мы устраняем «дефект», который четко видим. Главная задача — решить, как до него добраться, какой путь выбрать, чтобы не задеть важные зоны, какой метод устранения «дефекта» выбрать.
Принципиально другая ситуация при «функциональном» стереотаксисе, который тоже применяется при лечении психических заболеваний. Причина болезни часто заключается в том, что одна маленькая группа нервных клеток или несколько таких групп работают неправильно. Они либо не выделяют необходимые вещества, либо выделяют их слишком много. Клетки могут быть патологически возбуждены, и тогда стимулируют «нехорошую» активность других, здоровых клеток. Эти «сбившиеся с пути» клетки надо найти и либо уничтожить, либо изолировать, либо «перевоспитать» с помощью электростимуляции. В такой ситуации нельзя «увидеть» пораженный участок. Мы должны его вычислить чисто теоретически, как астрономы вычислили орбиту Нептуна.
Именно здесь для нас особенно важны фундаментальные знания о принципах работы мозга, о взаимодействии его участков, о функциональной роли каждого участка мозга. Мы используем результаты стереотаксической неврологии — нового направления, разработанного в институте покойным профессором В. М. Смирновым. Стереотаксическая неврология — это «высший пилотаж», однако именно на этом пути нужно искать возможность лечения многих тяжелых заболеваний, в том числе и психических.
Результаты наших исследований и данные других лабораторий указывают на то, что практически любая, даже очень сложная психическая деятельность мозга обеспечивается распределенной в пространстве и изменчивой во времени системой, состоящей из звеньев различной степени жесткости. Понятно, что вмешиваться в работу такой системы очень трудно. Тем не менее сейчас мы это умеем: например, можем создать новый центр речи взамен разрушенного при травме.
При этом происходит своеобразное «перевоспитание» нервных клеток. Дело в том, что существуют нервные клетки, которые от рождения готовы к своей работе, но есть и другие, которые «воспитываются» в процессе развития человека. Научаясь выполнять одни задачи, они забывают другие, но не навсегда. Даже пройдя «специализацию», они в принципе способны взять на себя выполнение каких-то других задач, могут работать и по-другому. Поэтому можно попытаться заставить их взять на себя работу утраченных нервных клеток, заменить их.
Нейроны мозга работают как команда корабля: один хорошо умеет вести судно по курсу, другой — стрелять, третий — готовить пищу. Но ведь и стрелка можно научить готовить борщ, а кока — наводить орудие. Нужно только объяснить им, как это делается. В принципе это естественный механизм: если травма мозга произошла у ребенка, у него нервные клетки самопроизвольно «переучиваются». У взрослых же для «переучивания» клеток нужно применять специальные методы.
Этим и занимаются исследователи — пытаются стимулировать одни нервные клетки выполнять работу других, которые уже нельзя восстановить. В этом направлении уже получены хорошие результаты: например, некоторых пациентов с нарушением области Брока, отвечающей за формирование речи, удалось обучить говорить заново.
Другой пример — лечебное воздействие психохирургических операций, направленных на «выключение» структур области мозга, называемой лимбической системой. При разных болезнях в разных зонах мозга возникает поток патологических импульсов, которые циркулируют по нервным путям. Эти импульсы появляются в результате повышенной активности зон мозга, и такой механизм приводит к целому ряду хронических заболеваний нервной системы, таких, как паркинсонизм, эпилепсия, навязчивые состояния. Пути, по которым проходит циркуляция патологических импульсов, надо найти и максимально щадяще «выключить».
В последние годы проведены многие сотни (особенно в США) стереотаксических психохирургических вмешательств для лечения больных, страдающих некоторыми психическими нарушениями (прежде всего, навязчивыми состояниями), у которых оказались неэффективными нехирургические методы лечения. По мнению некоторых наркологов, наркоманию тоже можно рассматривать как разновидность такого рода расстройства, поэтому в случае неэффективности медикаментозного лечения может быть рекомендовано стереотаксическое вмешательство.
Детектор ошибок
Очень важное направление работы института — исследование высших функций мозга: внимания, памяти, мышления, речи, эмоций. Этими проблемами занимаются несколько лабораторий, в том числе та, которой руковожу я, лаборатория академика Н. П. Бехтеревой, лаборатория доктора биологических наук Ю. Д. Кропотова.
Присущие только человеку функции мозга исследуются с помощью различных подходов: используется «обычная» электроэнцефалограмма, но на новом уровне картирования мозга, изучение вызванных потенциалов, регистрация этих процессов совместно с импульсной активностью нейронов при непосредственном контакте с мозговой тканью — для этого применяются имплантированные электроды и техника позитронно-эмиссионной томографии.
Работы академика Н. П. Бехтеревой в этой области достаточно широко освещались в научной и научно-популярной печати. Она начала планомерное исследование психических процессов в мозге еще тогда, когда большинство ученых считали это практически непознаваемым, делом далекого будущего. Как хорошо, что хотя бы в науке истина не зависит от позиции большинства. Многие из тех, кто отрицал возможность таких исследований, теперь считают их приоритетными.
В рамках этой статьи можно упомянуть только о самых интересных результатах, например о детекторе ошибок. Каждый из нас сталкивался с его работой. Представьте, что вы вышли из дому и уже на улице вас начинает терзать странное чувство — что-то не так. Вы возвращаетесь — так и есть, забыли выключить свет в ванной. То есть, вы забыли выполнить обычное, стереотипное действие — щелкнуть выключателем, и этот пропуск автоматически включил контрольный механизм в мозге. Этот механизм в середине шестидесятых был открыт Н. П. Бехтеревой и ее сотрудниками. Несмотря на то, что результаты были опубликованы в научных журналах, в том числе и зарубежных, сейчас они «переоткрыты» на Западе людьми, знающими работы наших ученых, но не гнушающимися прямым заимствованием у них. Исчезновение великой державы привело и к тому, что в науке стало больше случаев прямого плагиата.
Детекция ошибок может стать и болезнью, когда этот механизм работает больше, чем нужно, и человеку все время кажется, что он что-то забыл.
В общих чертах нам сегодня ясен и процесс запуска эмоций на уровне мозга. Почему один человек с ними справляется, а другой — «западает», не может вырваться из замкнутого круга однотипных переживаний? Оказалось, что у «стабильного» человека изменения обмена веществ в мозге, связанные, например, с горем, обязательно компенсируются направленными в другую сторону изменениями обмена веществ в других структурах. У «нестабильного» же человека эта компенсация нарушена.
Кто отвечает за грамматику?
Очень важное направление работы — так называемое микрокартирование мозга. В наших совместных исследованиях обнаружены даже такие механизмы, как детектор грамматической правильности осмысленной фразы. Например, «голубая лента» и «голубой лента». Смысл понятен в обоих случаях. Но есть одна «маленькая, но гордая» группа нейронов, которая «взвивается», когда грамматика нарушена, и сигнализирует об этом мозгу. Зачем это нужно? Вероятно, затем, что понимание речи часто идет в первую очередь за счет анализа грамматики (вспомним «глокую куздру» академика Щербы). Если с грамматикой что-то не так, поступает сигнал — надо проводить добавочный анализ.
Найдены микроучастки мозга, которые отвечают за счет, за различение конкретных и абстрактных слов. Показаны различия в работе нейронов при восприятии слова родного языка (чашка), квазислова родного языка (чохна) и слова иностранного (вахт — время по-азербайджански).
В этой деятельности по-разному участвуют нейроны коры и глубоких структур мозга. В глубоких структурах в основном наблюдается увеличение частоты электрических разрядов, не очень «привязанное» к какой-то определенной зоне. Эти нейроны как бы любую задачу решают всем миром. Совершенно другая картина в коре головного мозга. Один нейрон словно говорит: «А ну-ка, ребята, помолчите, это мое дело, и я буду выполнять его сам». И действительно, у всех нейронов, кроме некоторых, понижается частота импульсации, а у «избранников» повышается.
Благодаря технике позитронно-эмиссионной томографии (или сокращенно ПЭТ) стало возможно детальное изучение одновременно всех областей мозга, отвечающих за сложные «человеческие» функции. Суть метода состоит в том, что малое количество изотопа вводят в вещество, участвующее в химических превращениях внутри клеток мозга, а затем наблюдают, как меняется распределение этого вещества в интересующей нас области мозга. Если к этой области усиливается приток глюкозы с радиоактивной меткой — значит, увеличился обмен веществ, что говорит об усиленной работе нервных клеток на этом участке мозга.
А теперь представьте, что человек выполняет какое-то сложное задание, требующее от него знания правил орфографии или логического мышления. При этом у него наиболее активно работают нервные клетки в области мозга, «ответственной» именно за эти навыки. Усиление работы нервных клеток можно зарегистрировать с помощью ПЭТ по увеличению кровотока в активизированной зоне. Таким образом удалось определить, какие области мозга «отвечают» за синтаксис, орфографию, смысл речи и за решение других задач. Например, известны зоны, которые активизируются при предъявлении слов, неважно, надо их читать или нет. Есть и зоны, которые активизируются, чтобы «ничего не делать», когда, например, человек слушает рассказ, но не слышит его, следя за чем-то другим.
Что такое внимание?
Не менее важно понять, как «работает» внимание у человека. Этой проблемой в нашем институте занимается и моя лаборатория, и лаборатория Ю. Д. Кропотова. Исследования ведутся совместно с коллективом ученых под руководством финского профессора Р. Наатанена, который открыл так называемый механизм непроизвольного внимания. Чтобы понять, о чем идет речь, представьте ситуацию: охотник крадется по лесу, выслеживая добычу. Но он и сам является добычей для хищного зверя, которого не замечает, потому что настроен только на поиск оленя или зайца. И вдруг случайный треск в кустах, может быть, и не очень заметный на фоне птичьего щебета и шума ручья, мгновенно переключает его внимание, подает сигнал: «Рядом опасность». Механизм непроизвольного внимания сформировался у человека в глубокой древности, как охранный механизм, но работает и сейчас: например, водитель ведет машину, слушает радио, слышит крики детей, играющих на улице, воспринимает все звуки окружающего мира, внимание его рассеянно, и вдруг тихий стук мотора мгновенно переключает его внимание на машину — он осознает, что с двигателем что-то не в порядке (кстати, это явление похоже на детектор ошибок).
Такой переключатель внимания работает у каждого человека. Мы обнаружили зоны, которые активизируются на ПЭТ при работе этого механизма, а Ю. Д. Кропотов исследовал его с помощью метода имплантированных электродов. Иногда в самой сложной научной работе бывают смешные эпизоды. Так было, когда мы в спешке закончили эту работу перед очень важным и престижным симпозиумом. Ю. Д. Кропотов и я поехали на симпозиум делать доклады, и только там с удивлением и «чувством глубокого удовлетворения» неожиданно выяснили, что активизация нейронов происходит в одних и тех же зонах. Да, иногда двоим сидящим рядом надо поехать в другую страну, чтобы поговорить.
Если механизмы непроизвольного внимания нарушаются, то можно говорить о болезни. В лаборатории Кропотова изучают детей с так называемым дефицитом внимания и гиперактивностью. Это трудные дети, чаще мальчики, которые не могут сосредоточиться на уроке, их часто ругают дома и в школе, а на самом деле их нужно лечить, потому что у них нарушены некоторые определенные механизмы работы мозга. Еще недавно это явление не рассматривалось как болезнь и лучшим методом борьбы с ним считались «силовые» методы. Мы сейчас можем не только определить это заболевание, но и предложить методы лечения детей с дефицитом внимания.
Однако хочется огорчить некоторых молодых читателей. Далеко не каждая шалость связана с этим заболеванием, и тогда… «силовые» методы оправданы.
Кроме непроизвольного внимания есть еще и селективное. Это так называемое «внимание на приеме», когда все вокруг говорят разом, а вы следите только за собеседником, не обращая внимания на неинтересную вам болтовню соседа справа. Во время эксперимента испытуемому рассказывают истории: в одно ухо — одну, в другое — другую. Мы следим за реакцией на историю то в правом ухе, то в левом и видим на экране, как радикально меняется активизация областей мозга. При этом активизация нервных клеток на историю в правом ухе значительно меньше — потому, что большинство людей берут телефонную трубку в правую руку и прикладывают ее к правому уху. Им следить за историей в правом ухе проще, нужно меньше напрягаться, мозг возбуждается меньше.
Тайны мозга еще ждут своего часа
Мы часто забываем очевидное: человек — это не только мозг, но еще и тело. Нельзя понять работу мозга, не рассматривая все богатство взаимодействия мозговых систем с различными системами организма. Иногда это очевидно — например, выброс в кровь адреналина заставляет мозг перейти на новый режим работы. В здоровом теле — здоровый дух — это именно о взаимодействии тела и мозга. Однако далеко не все здесь понятно. Изучение этого взаимодействия еще ждет своих исследователей.
Сегодня можно сказать, что мы хорошо представляем, как работает одна нервная клетка. Многие белые пятна исчезли и на карте мозга, определены области, отвечающие за психические функции. Но между клеткой и областью мозга находится еще один, очень важный уровень — совокупность нервных клеток, ансамбль нейронов. Здесь пока еще много неясного. С помощью ПЭТ мы можем проследить, какие области мозга «включаются» при выполнении тех или иных задач, а вот что происходит внутри этих областей, какие сигналы посылают друг другу нервные клетки, в какой последовательности, как они взаимодействуют между собой — об этом мы пока знаем мало. Хотя определенный прогресс есть и в этом направлении.
Раньше считали, что мозг поделен на четко разграниченные участки, каждый из которых «отвечает» за свою функцию: это зона сгибания мизинца, а это зона любви к родителям. Эти выводы основывались на простых наблюдениях: если данный участок поврежден, то и функция его нарушена. Со временем стало ясно, что все более сложно: нейроны внутри разных зон взаимодействуют между собой весьма сложным путем и нельзя осуществлять везде четкую «привязку» функции к области мозга в том, что касается обеспечения высших функций. Можно только сказать, что эта область имеет отношение к речи, к памяти, к эмоциям. А сказать, что этот нейронный ансамбль мозга (не кусочек, а широко раскинутая сеть) и только он отвечает за восприятие букв, а этот — слов и предложений, пока нельзя. Это задача будущего.
Работа мозга по обеспечению высших видов психической деятельности похожа на вспышку салюта: мы видим сначала множество огней, а потом они начинают гаснуть и снова загораться, перемигиваясь между собою, какие-то кусочки остаются темными, другие вспыхивают. Также и сигнал возбуждения посылается в определенную область мозга, но деятельность нервных клеток внутри нее подчиняется своим особым ритмам, своей иерархии. В связи с этими особенностями разрушение одних нервных клеток может оказаться невосполнимой потерей для мозга, а другие вполне могут заменить соседние «переучившиеся» нейроны. Каждый нейрон может рассматриваться только внутри всего скопления нервных клеток. По-моему, сейчас основная задача — расшифровка нервного кода, то есть понимание того, как конкретно обеспечиваются высшие функции мозга. Скорее всего, это можно будет сделать через исследование взаимодействия элементов мозга, через понимание того, как отдельные нейроны объединяются в структуру, а структура — в систему и в целостный мозг. Это главная задача следующего века. Хотя кое-что еще осталось и на долю двадцатого.
Словарик
Афазия
— расстройство речи в результате повреждения речевых зон мозга или нервных путей, ведущих к ним.
Магнитоэнцефалография
— регистрация магнитного поля, возбуждаемого электрическими источниками в мозге.
Магниторезонансная томография
— томографическое исследование мозга, основанное на явлении ядерного магнитного резонанса.
Позитрон-эмиссионная томография
— высокоэффективный способ слежения за чрезвычайно малыми концентрациями ультракороткоживущих радионуклидов, которыми помечены физиологически значимые соединения в мозге. Используется для изучения обмена веществ, участвующих в реализации функций мозга.
