Воспаление в лёгких протекает тяжело и лечится сложно. Особенно трудно переносится левосторонняя пневмония. Это связано с анатомическим строением внутреннего органа, близким расположением сердца. При запущенном состоянии, ослабленном организме болезнь способна привести к летальному исходу. Нужно знать признаки патологии, чтобы вовремя начать лечение.
Формы и виды заболевания
Классификация нижнедолевой пневмонии производится по распространенности патологического процесса, а также по условиям возникновения. В первом случае заболевание подразделяется на следующие формы:
- Крупозная – захватывает всю долю легкого, отличается наиболее тяжелым течением и ярко выраженной клиникой.
- Бронхопневмония (очаговая) – в прикорневой зоне легкого формируется один или несколько очагов воспаления, которые могут сливаться между собой. Течение болезни маловыраженное, саморазрушение часто происходит без медицинской помощи.
- Сегментарная – является промежуточным вариантом с соответствующим течением. Тяжесть клинических симптомов зависит от количества пораженных сегментов.
По условиям возникновения пневмонии подразделяются на такие разновидности, как:
- Внебольничные – развиваются в повседневной жизни на фоне действия провоцирующих факторов, в частности переохлаждения. В большинстве случаев возбудителем являются пневмококк, внутриклеточные паразиты, гемофильная палочка, вирус гриппа. Отличаются хорошей чувствительностью к антибиотикам и сравнительно легко поддаются терапии.
- Внутрибольничные – развиваются при нахождении в стационаре. Вероятность болезни на порядки возрастает во время нахождении пациента на ИВЛ, при интубации, бронхоскопии и проведении других инвазивных манипуляций на органах дыхательной системы. Возбудителем обычно является грамотрицательная флора, обладающая резистентностью к большинству антибактериальных препаратов. Течение госпитальных пневмоний тяжелое, часто с осложнениями.
- Аспирационная – возникает при заглатывании рвотных масс и промывных вод. Возбудитель – облигатные анаэробы, заселяющие кишечник человека, а также аэробные микроорганизмы, в норме обитающие в носоглотке. Чаще развивается при отсутствии кашлевого рефлекса, а также у лиц, находящихся в бессознательном состоянии. Сравнительно хорошо поддается антибиотикотерапии.
- Пневмонии на фоне иммунодефицита – пневмонии, развивающиеся на фоне выраженного иммунодефицита, обычно бывают спровоцированы условно-патогенными организмами, в норме обитающими в организме и не приводящие к воспалению у здорового человека. В качестве возбудителя могут выступать каринобактерии, грибы, микобактерии туберкулеза. Для назначения адекватной терапии требуется посев микрофлоры и точное определение возбудителя.
Существуют и другие классификации заболевания. Однако вышеприведенные параметры деления являются наиболее востребованными и отражающими суть патологического процесса.
На заметку: для лечения тяжелых госпитальных пневмоний, не поддающихся противомикробной терапии, применяются бактериофаги – вирусы бактериальной клетки, клеточные паразиты. Они размножаются только в теле м/о, вызывая его гибель. После уничтожения всех бактерий культура бактериофага погибает.
Классификация
| По локализации |
|
| По симптомам |
|
| По расположению очага воспаления |
|
Особенности клинической картины
При первичном осмотре больного следует учитывать некоторые особенности нижнедолевых пневмоний, которые могут затруднить постановку диагноза.
Правосторонняя нижнедолевая пневмония
Рассматриваемая разновидность может протекать в абдоминальной форме, при которой боль иррадиирует в живот. При этом жалобы пациента напоминают таковые при болезнях печени, желчного пузыря. Известны случаи ошибочной диагностики начальной стадии аппендицита (боль в эпигастрии), причиной которой являлась правосторонняя нижнедолевая пневмония.
Левосторонняя нижнедолевая пневмония
Левостороннее поражение также может становится причиной абдоминальных болей. Однако в этом случае они локализуются в левом подреберье, имитируя заболевания левой доли печени, селезенки, диафрагмы, толстой кишки, в том числе поперечного и нисходящего ее отдела.
Стоит отметить, что описанные варианты клинического течения возникают только при распространенных сегментарных или крупозных процессах. Очаговая пневмония к развитию болевого синдрома приводит редко. Отличительной чертой абдоминального течения является выраженная воспалительная клиника, на фоне которой проявляется относительно слабая болезненность и отсутствие других признаков патологии внутренних органов.
Правосторонняя пневмония у детей – особенности протекания болезни
Не окрепший иммунитет ребенка существенно повышает риск развития воспаления. Главным образом на это влияет возраст малыша, то есть чем он меньше, тем выше риск заболевания. Большой опасностью является неверное диагностирование болезни. Пневмонию часто путают с гриппом, в результате чего она перерастает в опасную стадию. Поэтому так важно знать симптомы типичные для этой болезни.
С переходом правосторонней пневмонии в активную фазу, дыхание ребенка становится учащенным и хриплым. Нормальному функционированию мешает дискомфорт и кашель. Появляется вялость и сонливость, а сон на правом боку доставляет малышу неприятные ощущения. Повышенная температура держится долгое время и с большой трудностью сбивается. Чувствуется нехватка воздуха, а в некоторых случаях происходит откашливание с кровью либо гноем.
Наличие одного из симптомов должно стать поводом для посещения врача, потому как любое промедление очень опасно для здоровья ребенка. В запущенных случаях не всегда помогают лекарственные средства, в связи с этим малышу назначается госпитализация.
Прочитайте статью: Можно ли гулять при пневмонии?
Диагностика
Клинические проявления нижнедолевой пневмонии зависят от ее распространенности и могут варьироваться в достаточно широких пределах. Весь свод клинической симптоматики подразделяется на общие и местные признаки.
Общие зависят не от локализации процесса, а от его распространенности. Незначительные очаговые пневмонии могут проявляться покашливанием, подъемом температуры тела в пределах субфебрильных цифр, ухудшением работоспособности. Боль в груди обычно не возникает.
Крупозные процессы начинаются остро. Больной жалуется на мучительный сухой кашель, который к 3-4 дню становится продуктивным. Мокрота может быть слизисто-гнойной или иметь ржавый оттенок, что обусловлено разрушением содержащихся в ней эритроцитов. Отмечается гипертермия до 39-40°C. Имеет место одышка, болезненность в груди на стороне поражения, отставание пораженного участка при дыхании. Выслушивание позволяет выявить притупление и укорочение перкуторного звука, наличие хрипов.
Течение сегментарных пневмоний зависит от того, сколько сегментов затронуто воспалением. Если их число приближается к максимальному (6-8 сегментов), то болезнь протекает с клиникой, напоминающей крупозную разновидность. Поражение 2-5 сегментов проявляется несколько более интенсивно, чем ограниченный очаговый процесс, однако не достигает интенсивности, характерной для поражения всей доли или значительной ее части.
Инструментальные методы
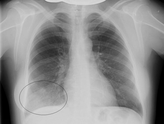
Постановка диагноза производится с использованием инструментальных способов, основным из которых является рентгенография. При крупозной пневмонии на снимках выявляют усиление легочного рисунка, расширение корня, изменение объема пораженной доли в большую сторону. При бронхопневмонии отмечается наличие одной или нескольких теней, каждая из которых по размеру не превышает полутора сантиметров. Тени могут сливаться. Рентгенографию проводят в прямой и боковой проекции, что повышает точность исследования.
Рентген снимок нижнедолевой пневмонии
Помимо описанного метода, при воспалении легких могут потребоваться дополнительные диагностические процедуры. В их число входит:
- Бронхоскопия – визуальный осмотр дыхательных путей с помощью эндоскопического оборудования.
- Щеточная биопсия и бронхоальвеолярный лаваж – позволяют получить биосреды, необходимые для посева микрофлоры.
- Исследование функции внешнего дыхания – требуется для определения степени обструкции дыхательных путей.
- Компьютерная томография – позволяет определить наличие полостных образований и бронхэктазов. Назначается только при наличии подозрений на указанные состояния.
Дополнительные диагностические манипуляции применяются по необходимости. Рентгенографию проводят всем пациентам без исключения.
Лабораторное подтверждение
В общем анализе крови выявляются неспецифические признаки воспаления (сдвиг лейкоформулы влево, увеличение скорости оседания эритроцитов, при тяжелых пневмониях – преобладание миелоцитов и метамиелоцитов). Изменения в биохимических показателях возникают только при распространенных процессах, однако диагностического значения они практически не имеют.
Микробиологический посев мокроты производится в случаях, когда необходимо точно определить вид возбудителя. Как правило, подобное происходит при госпитальных антибиотикорезистентных формах, процессах, развивающихся на фоне иммунодефицитных состояний. В других ситуациях назначение антибиотиков производится эмпирически. Подобный подход имеет экономическую подоплеку и связан с требованием о снижении затрат на диагностику и лечение.
На заметку: в идеале назначение антибактериальных средств должно производиться строго по данным микробиологического исследования. Эмпирический метод выбора препаратов допускается только на начальных этапах терапии, когда данные о составе микрофлоры и ее чувствительности к лекарствам еще отсутствуют.
Верхнедолевая пневмония: как лечить
Как правило, она начинается внезапно. При верхнедолевой пневмонии появляется головная боль и чувство озноба. Немного позже поднимается температура до 39 градусов. Боли в области грудной клетки, выраженная одышка — другие важные симптомы такого заболевания как верхнедолевая пневмония. Как лечить ее, узнайте в этой статье.
Верхнедолевая пневмония: развитие болезни
Возможно нарушение геодинамики, появление бредового состояния. Начиная с первых дней болезни, появляется сухой кашель, потом переходит в продуктивный с мокротой. Часто были замечены высыпания на губах, в виде герпеса, гиперимия на лице, цианоз. На кожных покровах желтые пятна, а на глазах склер из-за увеличения билирубина в крови. Такое заболевание, с вышеописанными признаками наблюдается у детей и людей старшего поколения.
Верхнедолевая пневмония: как лечить заболевание
Верхнедолевая пневмония носит бактериальное происхождение. Заболевание очень тяжело протекает при поражении клебсислой. Когда лечение верхнедолевой пневмонии начато очень поздно могут образовываться полости. Верхнедолевую пневмонию следует разграничивать с туберкулезом легких. Если назначается антибактериальное лечение, то его нужно начинать, не откладывая, и врач при осмотре не ждет результатов анализов, а немедленно назначает антибиотики. Самолечение – категорически противопоказано.
При правильном выборе терапии лечить верхнедолевую пневмонию успешно можно за 5-7 дней. За это время температура снижается, проходят галлюцинации, появляется аппетит. При левосторонней верхнедолевой пневмонии повышается уровень С-реактивного белка, это и является основной причиной воспалительного процесса. Локализация очага пневмонии в верхней доле легкого вполне может быть при инфицировании туберкулезом. В таком случае применяется лечение стандартной терапией с задачей купировать очаг воспалительного процесса. После лечения выполняется контроль заболевания при помощи рентгенологического снимка.
Верхнедолевая пневмония: как лечить в стационаре
Очень редко встречается правосторонняя верхнедолевая пневмония. Очень тяжелое течение верхнедолевой пневмонии, вызванное клебсислой пневмонией (палочкой Фридлендера). Пневмония не заразное заболевание, и персоналу важно следить за всеми изменениями, что происходят на данный момент у больного: температура, давление. При приступах психического возбуждения за больным устанавливают наблюдение.
На сегодняшний день в целях профилактики верхнедолевой пневмонии используется пневмококковая и гриппозные вакцины. Все профилактические мероприятия применяются по группам риска.
Возможные осложнения
При воспалении легких, лечение которого не проводится или проводится неправильно, нередки осложнения. К наиболее распространенным из них относится:
- Экссудативный плеврит – воспаление легочной плевры с выделением в плевральную полость экссудата.
- Вторичные инфекционные поражения – гематогенное распространение инфекции становится причиной миокардитов, пиелонефритов и прочего.
- Инфекционно-токсический шок – состояние, развивающееся при попадании в кровь большого количества бактериальных токсинов и характеризующееся резким снижением АД, централизацией кровообращения, нарушением сердечного ритма, дыхания и сознания.
- Дыхательная недостаточность – недостаточная эффективность дыхательной системы, приводящая к ишемии тканей.
- ДВС-синдром – коагулопатия, характеризующаяся первоначальным формированием в кровеносном русле микротромбов с последующим истощением свертывающих факторов.
- Острый психоз – на фоне токсического действия возбудителя при крупозных нижнедолевых пневмониях возможно развитие нарушений со стороны психики.
Практически каждое из вышеуказанных осложнений представляет опасность для жизни и требует немедленной госпитализации пациента в ОРИТ.
Как диагностируют правостороннюю пневмонию?
В случае подозрения правостороннего воспаления легкого, для точного диагностирования заболевания не достаточно одних симптомов. Как правило, проводится рентгенологическое исследование легких. При необходимости проводятся исследования мочи и крови, на основании которых оценивается возникновение заболевания.
Нижнедолевая пневмония – лечение
Реанимационное пособие больным с тяжелыми формами пневмонии и дыхательной недостаточностью заключается во введении иммунизированной плазмы, иммуноглобулинов, коррекции гематокрита, введении гормонов. При необходимости пациента переводят на ИВЛ, начинают введение вазопрессорных аминов. Купирование шоковых состояний производится под постоянным контролем жизненных показателей (сердечный ритм, АД, уровень сатурации, температура тела).
Длительность терапии у амбулаторных пациентов обычно не превышает 7-14 суток, что равно длительности полного курса антибиотиков. Несколько дольше могут приниматься муколитики, облегчающие остаточный кашель и ускоряющие его исчезновение. Аналогичное время требуется для восстановления госпитальных больных. Восстановительный период (амбулаторное долечивание) при этом достигает 1 месяца. Предсказать длительность пребывания в стационаре для реанимационных больных не представляется возможным. Одни пациенты переводятся в общее отделение уже через несколько дней после госпитализации, другие задерживаются в ОРИТ на месяц и более.
Лечение
Так как существует несколько форм разной тяжести, то и лечение правосторонней пневмонии проводят по-разному. Средняя степень предполагает стационарное лечение, но возможны варианты лечения и дома. Если это тяжелая форма, то госпитализация обязательна. Не стоит отказываться от этой меры, даже если не чувствуете сильных изменений в состоянии. Если показания есть, рентген показывает затемнения в области легких, то только под наблюдением врачей, при регулярном приеме лекарств можно будет добиться положительного результата. Больше всего смертельных случаев наблюдается именно при поздно диагностированной и не долеченной внебольничной пневмонии.
Острая форма проявляется активными симптомами, поэтому пациент обращается к врачу в короткое время. Это способствует скорейшему выздоровлению. При хроническом течении заболевания поражается не только легочная ткань, но и промежуточная, что приводит к образованию патологических процессов. Могут разрастаться соединительные ткани, деформируются бронхи, возникает дыхательная недостаточность.
Антибиотики являются практически единственным эффективным средством для лечения воспаления правого легкого, да и для всех других форм заболевания. Для достижения положительного результата проводимой терапии необходимо знать, какова природа происхождения инфекции, так как может понадобиться комплексный подход и объединение нескольких способов лечения. Если начала отходить мокрота, то назначают отхаркивающие препараты, иммуномодуляторы и жаропонижающие.
Рекомендуют пить много жидкости, чай с продуктами пчеловодства, с лимоном. Питание должно быть полноценное и насыщенное витаминами. Пища не жирная, чтобы пищеварение не отнимало силы при переваривании, постельный режим.
Для того, чтобы определить, требуется ли госпитализация, существует ряд факторов. Это острая дыхательная недостаточность, уремия, гипотензия, потеря сознания.
Длительность проводимого лечения составляет 10 дней, при легкой форме допустимы таблетки, а при тяжелой ставят капельницы и назначают инъекции внутримышечно.
Прогноз и профилактика
Прогноз по очаговым и сегментарным пневмониям благоприятный, если лечение было начато вовремя. При отсутствии противомикробной терапии процесс быстро захватывает нижнюю долю легкого и продолжает распространяться, что в конечном итоге приводит к гибели пациента. Предсказать исход крупозных воспалений невозможно. Многое зависит от изначального состояния здоровья пациента, уровня его иммунной защиты, приверженности к лечению. Известно, что смертность от внебольничных пневмоний составляет 5%, от госпитальных – 20%. Примерно 30% умерших приходится на людей пожилого возраста.
Профилактика воспаления легких в основном включает в себя мероприятия по укреплению иммунитета (закаливание, витаминотерапия, ЗОЖ, при необходимости – прием иммуномодуляторов). Кроме того, предотвратить болезнь можно, если всегда одеваться по погоде, весной и осенью избегать пребывания в людных местах, своевременно посещать врача и начинать лечение при ОРЗ и ОРВИ.
Профилактика
На сегодняшний день существует профилактическая программа, рассчитанная на группу риска, пенсионеров и людей с хроническими заболеваниями. В странах Европы и США прививки давно стали неотъемлемой частью профилактики. В России только с недавних пор стали применять подобные меры.
Для всех абсолютно рекомендован здоровый образ жизни, так как только при хорошем иммунитете возбудители не смогут активизироваться, или быстро будут подавлены.
Схема лечения и профилактика зависит от индивидуальных особенностей, поэтому врач подходит к этому вопросу тщательно. Следует отказаться от приема алкоголя и по возможности ограничить курение. Состояние зубов также играет роль, и если есть очаги кариеса необходимо в обязательном порядке их ликвидировать.
Лечение народными средствами не сможет победить болезнь, но снять симптомы болезни, заложенность носа, першение в горле и другие вполне могут.
Правосторонняя пневмония: причины, симптомы и лечение
Воспаление легких — довольно тяжелое заболевание, которому, к сожалению, подвержены все категории населения вне зависимости от пола и возраста. До появления первых антибиотиков правосторонняя пневмония заканчивалась смертью каждого третьего больного. К счастью, современная медицина обладает всеми необходимыми средствами лечения, поэтому прогноз для пациентов вполне благоприятный.
Правосторонняя пневмония и ее причины
Чаще всего причиной воспалительного процесса является инфекция — это могут быть бактерии, вирусы и даже грибковые микроорганизмы, передающиеся от человека к человеку воздушно-капельным путем.
Кроме того, источник патогенной микрофлоры может находиться в самом организме. В частности, к группе риска относятся люди с хроническими заболеваниями дыхательных путей, включая тонзиллиты, синуситы, бронхиты и т. д. Развитию пневмонии способствует ослабление иммунной системы. Неправильное питание, переохлаждение, постоянные стрессы, ранее перенесенные ОРЗ и простуда — все это увеличивает шансы на развитие воспалительного процесса.
Правосторонняя пневмония и ее основные симптомы
Начальные стадии заболевания нередко путают с обыкновенной простудой — больные попросту игнорируют симптомы и не обращаются за помощью к врачу, что лишь усугубляет ситуацию. Тем не менее острая правосторонняя пневмония имеет некоторые особенности, которые ни в коем случае не стоит игнорировать.
Болезнь начинается с повышения температуры, которое влечет за собой слабость, сонливость, ломоту в теле, постоянную усталость, ухудшение аппетита. Но в отличие от гриппа и прочих простудных заболеваний, при пневмонии лихорадка держится намного дольше.
Естественно, одним из симптомов воспаления легких является сильный кашель, сопровождающийся отхождением вязкой мокроты (иногда она имеет оранжевый, ржавый оттенок). По мере развития заболевания появляется ощутимая боль за грудиной или в боку, которая усиливается во время глубокого вдоха или кашля.
Правосторонняя пневмония обязательно сопровождается стойкой одышкой, которая появляется даже при малейших физических нагрузках.
Возможна также атипичная форма воспаления, которая считается наиболее опасной, так как протекает без выраженных симптомов, поэтому не вызывает беспокойства у больного человека.
Какие причины способствуют развитию долевой пневмонии
Основным возбудителем долевой формы пневмонии выступает пневмококк и его разновидности. Но данное заболевание может развиваться под влиянием других микроорганизмов:
- стрептококка;
- стафилококка;
- гемофильной палочки;
- микоплазм;
- хламидий.
Если возбудителя воспалительного процесса установить не удается, у пациента диагностируется неуточненная долевая пневмония.
Источник заражения может продолжительное время обитать в носоглотке человека и проявить активность только под действием определенных факторов.
Попасть в легкие больного болезнетворные вирусы и бактерии могут несколькими путями:
- через бронхи;
- через кровь;
- через лимфу.
Существуют определенные заболевания, которые повышают риск развития долевого воспаления легких. К ним относятся:
- сахарный диабет и другие аутоиммунные болезни;
- легочные патологии, в том числе туберкулез;
- грипп и другие острые вирусные инфекции респираторного типа;
- онкологические процессы в органах дыхания.
Но даже при наличии одного или нескольких из этих патологических состояний долевая пневмония развивается не всегда. Болезнетворные микроорганизмы начинают активно размножаться только при значительном иммунодефиците, вызываемом следующими факторами:
- продолжительным переохлаждением;
- частыми стрессами;
- курением и злоупотреблением алкогольными напитками;
- травмами грудной клетки;
- физическими и психологическими перегрузками;
- вредными условиями труда;
- неблагоприятными условиями проживания (здесь провоцирующим фактором являются сырость в помещении и образование плесени).
Какие методы лечения эффективны при долевой пневмонии
При подозрении на долевую пневмонию пациента помещают в стационар и назначают антибиотики широкого спектра действия, к которым чувствительны большинство патогенных микроорганизмов. Наиболее часто применяются препараты из группы пенициллинов. При их непереносимости больному назначаются антибиотики из группы цефалоспоринов и макролидов.
Также назначаются другие лекарственные средства:
- препараты, расширяющие просвет бронхов и разжижающие мокроту;
- средства, обладающие жаропонижающим и противовоспалительным действием;
- иммуномодуляторы;
- витаминно-минеральные комплексы.
При лечении воспаления легкого эффективна физиотерапия, предусматривающая проведение следующих процедур:
- электрофореза и ингаляций с лекарственными средствами;
- УВЧ;
- ЛФК и массажа грудкой клетки.
Если пациент поступает в стационар в тяжелом состоянии, его подключают к аппарату искусственной вентиляции легких, проводят лечебную бронхоскопию и гипербарическую оксигенацию.
При неэффективности консервативной терапии проводят хирургическую операцию, в процессе которой удаляют пораженную часть легкого.
Внебольничное лечение
При выявлении признаков заболевания, самостоятельно заниматься терапией крайне опасно. Это может привести к серьезному ухудшению здоровья. Для назначения действенного лечения стоит обратиться за консультацией к доктору.
Врач для лечения взрослых назначает сильно действующие антибактериальные препараты, снижающие воспалительный процесс в легких взрослого или ребенка.
Левостороннее воспаление легких подлежит лечебному вмешательству по следующей схеме:
- Антибиотики: Амоксициллин, Цефалоспорин, Левафлоксацин. Подбор медикаментов осуществляется согласно определенным возбудителям заболевания;
- Отхаркивающие препараты, которые помогают освободить легкие от скопившейся внутренней секреции;
- Противовоспалительные средства, необходимые для устранения жара, воспаления, болезненных ощущений;
- Витаминизированные комплексы – витамины С, А, группы В. Они необходимы для повышения иммунитета взрослого или ребенка. Могут вводиться внутривенно или внутримышечно.
При течении левосторонней пневмонии проводится лечение в домашних условиях. Дополнительно рекомендуется воздействовать на организм народными средствами.
В таком случае можно воспользоваться ингаляциями с хреном, эвкалиптовой настойкой, отварами на основе алоэ, хрена с лимоном, листвой подорожника, а также нанесение чеснока на грудную клетку в виде горчичников.
Сколько длится воспалительный процесс левосторонней пневмонии, может определить доктор. Если вовремя начать терапевтическое воздействие, назначенное по схеме, то заболевание уже через неделю полностью прекратится. В противном случае есть вероятность затянуть болезнь на долго.
Хотите увеличить размер полового члена? Читайте отзывы покупателей на спрей Доминатор, мужчины делятся своими результатами. Чтобы купить оригинальное средство для увеличения члена Titan Gel, кликните тут, ведь Титан гель лучше заказать через официальный сайт производителя. Далее расположена статься про препарат от простатита: Предстанол — развод или правда… Оказывается вылечить простатит легко и просто.
Особенности левосторонней пневмонии нижней доли
Пневмония такого типа возникает зачастую у детей, пожилых людей, а также у людей со слабым иммунитетом. Таких больных тяжело лечить, так как из-за ослабленного иммунитета и плохого кровоснабжения, препараты проблематично усваиваются.
Первыми симптомами является появление мокрого кашля со слизью, слабость, боль в горле, прогрессирующая отдышка. Помимо этого, присутствует высокая температура, болевые ощущения с левой стороны легких, головная боль. Для такого заболевания характерным считается то, что на симптомы могут быть незаметными, поэтому первые признаки многие не замечают.
Причины
Левосторонняя пневмония передается воздушно – капельным путем от зараженного человека к здоровому. В результате чиханья больного человека, бактерии выходят из дыхательных путей и проникают в легкие окружающих людей. В случае ослабленного иммунитета бактерии стремительно развиваются, поэтому проявляется воспаление. В таком положении с болезнью можно справиться при помощи антибиотиков. Левосторонняя пневмония может возникать в результате:
- Никотиновой зависимости
- Сильное переохлаждение организма
- Стрессовое состояние
- Частые заболевания легочной системы.
Воспалительный процесс проявляется в слизистой оболочке бронхов, в результате чего он переходит на бронхиолы и расходится в область альвеол. Это воспаление способствует заражению легочных тканей.
Общая информация
Пневмония верхнедолевая – это воспаление легких, которое локализуется в верхней доле легкого, может затрагивать от 1 до 3 сегментов. Чаще всего возбудителями данной формы становятся клебсиеллы и пневмококки. Они проникают, и некоторое время находятся на слизистой, а при ослаблении иммунитета происходит заражение. Такое случается и при контакте с больным – микроорганизмы попадают в легкие и начинают свое размножение.
Инфекционный процесс провоцирует резкое ухудшение состояния человека, он может влиять и на здоровье других органов и систем. Главная особенность верхнедолевого воспаления – это тяжелое течение, сопровождающееся помутнением сознания, сильной и длительной лихорадкой.
Чаще болезнь диагностируется в пожилом возрасте, у детей или у людей с очень слабым иммунитетом.
Пневмония поражает верхнюю часть легких реже, чем нижнюю. Также воспаление в основном диагностируется в правой верхней доле из-за того, что правый бронх короче и шире, поэтому инфекция распространяется в нем быстрее и легче.
Диагностировать верхнедолевое воспаление легких сложнее. Пациенты с такой формой нуждаются тщательной дифференциальной диагностике. Сразу же врач должен исключить возможность того, что симптоматику спровоцировал туберкулез. Рентгенография обязательно всесторонняя, потому что результаты могут быть схожи с туберкулезом.
Причины у взрослых
Главной причиной болезни является проникновение в организм болезнетворных микроорганизмов, распространителем которых является пациент с аналогичным диагнозом (пути попадания: воздушно-капельным или через кровоток). Основные возбудители болезни – пневмококки.
Достаточно часто правосторонняя пневмония выступает в качестве осложнения другого заболевания (развитие на фоне бронхита, тонзиллита, трахеобронхита, аденовирусной инфекции). Вторичные формы могут возникать на фоне:
- менингококковой инфекции;
- отита;
- кори;
- шигеллеза.
Также причиной может послужить нарушенное кровообращение.
Кроме того, можно выделить ряд факторов, способствующих развитию правосторонней пневмонии:
- наличие хронических болезней, поражающих легкие;
- длительное влияние на организм низких температур;
- недавно перенесенное оперативное вмешательство;
- снижение защитных сил организма;
- вынужденная гиподинамия (например, длительный постельный режим);
- вредные привычки (курение, злоупотребление алкоголем).
Дифференциальный диагноз
Туберкулез — заболевание легкого, которое следует исключить в первую очередь. Со сходной рентгенологической симптоматикой может протекать инфильтративный туберкулез у детей и взрослых, с локализацией процесса в первом и втором сегментах либо в целой доле. Следует помнить, что при туберкулезе процесс в легких развивается медленно, нет яркой клинической симптоматики, и температура, как правило, субфебрильная. Ранняя диагностика и своевременное лечение туберкулеза очень важны.
При возникновении у детей верхнедолевой пневмонии следует исключить аскаридоз. При этом заболевании личинки гельминтов мигрируют из пищеварительного тракта, дозревая в половозрелую особь в легких детей, что может вызвать состояние, похожее на верхнедолевую пневмонию. При обнаружении аскарид следует провести лечение от гельминтов.
У лиц пожилого возраста подобную клиническую картину рецидивирующей верхнедолевой пневмонии может вызывать опухоль бронха. Важно своевременно выявить и провести хирургическое лечение онкологического процесса.
| Диагностическая методика | Верхнедолевая пневмония | Инфильтративный туберкулез | Аскаридоз | Опухоль бронха |
| Клиника | Острое начало, лихорадка, озноб, одышка, влажный кашель с отхождением мокроты. | Постепенное начало, субфебрильная температура, малопродуктивный кашель, слабость, похудание, снижение аппетита | Постепенное начало, малопродуктивный кашель, температура нормальная или незначительно повышена. Чаще возникает у детей. | Ухудшение общего состояния, кахексия, утомляемость, боли в грудной клетке. Чаще возникает у лиц пожилого возраста, у курящих. |
| Лабораторная диагностика | Выраженный лейкоцитоз с преобладанием нейтрофилов, ускорение СОЭ, повышение концентрации острофазовых белков воспаления. | Анализ крови может быть без особенностей, возможно незначительное повышение лимфоцитов в лейкоформуле, ускорение СОЭ, повышение активности биохимических маркеров воспаления. | В анализе крови — эозинофилия. Обнаружение яиц гельминтов в кале. | Возможно повышение СОЭ, биохимических маркеров воспаления. |
| Рентгеноло- гическая диагностика | Гомогенное затемнение, без четких границ, переходящее в здоровую легочную ткань. | Наличие инфильтративных изменений, стойких к лечению антибиотиками. Могут быть облаковидные, бронхолобулярные инфильтраты, лобит, перициссурит. | Рентгенологические признаки рецидивирующей пневмонии. | Мелкие очаговые затемнения без четких границ |
Симптоматика
Правосторонняя пневмония у ребёнка или взрослого зачастую протекает в острой затяжной форме, отчего имеет как ранние симптомы, так и поздние.
На фоне того, что воспаление лёгких зачастую объясняется влиянием патологических бактерий или грибков, то стоит отметить, что болезнь имеет инкубационный период. Это время, которое проходит с момента инфицирования до выражения ранней симптоматики. В типичной форме он будет продолжаться до трёх суток, а при атипичном протекании – до трёхнедельного срока.
Таким образом, первыми клиническими проявлениями воспаления правого лёгкого выступают:
- кашель без отделения мокроты, который выражается на постоянной основе;
- резкое повышение температуры тела;
- длительность лихорадки больше трёх дней.
Признаки пневмонии
Острая правосторонняя пневмония, поразившая нижнюю долю лёгкого, выражается в:
- повышенной потливости;
- сильном ознобе;
- вынужденном положении тела, которое принимает человек во время сна, а именно на левом боку;
- выделении большого количества вязкой мокроты во время кашля;
- появлении патологических вкраплений в мокроте – речь идёт о гное и крови;
- учащённом дыхании;
- появлении болей в груди справа при вдохе.
Правосторонняя пневмония верхней доли лёгкого имеет такие симптомы:
- высокая температура и озноб;
- сильный сухой кашель;
- постоянные боли в груди;
- одышка;
- специфические высыпания вокруг рта;
- приобретение склерами желтоватого оттенка;
- тошнота и рвота.
Несмотря на то что полисегментарная пневмония у ребёнка зачастую протекает в скрытой форме, при тяжёлой форме в качестве клинических признаков будут выступать:
- боли в горле;
- головные боли и головокружения;
- нездоровое покраснение кожи лица;
- посинение губ и кончиков пальцев;
- спутанность сознания;
- отвращение к пище.
Примечательно то, что если тотальная пневмония правого лёгкого развилась на фоне иного заболевания, то клиническую картину будут дополнять симптомы болезни-провокатора.
Первые признаки болезни
Признаки начала воспаления легких должен знать каждый человек, чтобы своевременно обратиться к врачу. Они позволят спасти жизнь или предотвратить грозные последствия:
- Сухой навязчивый кашель (только не бронхит курильщика);
- Повышение температуры до 38-39 градусов;
- Небольшое отделение мокроты;
- Длительность лихорадки более 3 дней.
По медицинским канонам, если температура держится более 3 дней – это признак бактериальной инфекции. В такой ситуации назначаются антибактериальные препараты. Если температура располагается на отметке ниже 38 градусов, не нужно принимать антибиотики. Считается, что при субфебрилитете усиливаются биохимические реакции организма для ускорения ликвидации патологических изменений. Когда организм самостоятельно не справляется с инфекцией, ему нужна помощь. Тогда назначаются лекарственные препараты.
Если температурная реакция достигает высоких показателей – 39-40 градусов, человек чувствует слабость, недомогание, мышечную боль. Допускать воспаление легких до таких симптомов нельзя!
Медикаментозное лечение
В лечении верхнедолевой пневмонии могут быть использованы антибактериальные средства следующих групп:
- защищенные пенициллины, цефалоспорины;
- макролиды;
- респираторные фторхинолоны;
- карбапенемы;
- аминогликозиды.
Выбор того или иного антибиотика зависит от степени тяжести пневмонии, возбудителя, наличия сопутствующей патологии. Лечение нетяжелой внебольничной верхнедолевой пневмонии у пациентов моложе 60 лет без сопутствующей патологии может включать препараты, приведенные в таблице ниже.
| Группа препаратов | Антибиотики пенициллино- вого ряда | Противовоспалитель- ное средство | Антибиотик — макролид | Муколитические средства |
| Наименование препарата | Амоксициллин + Клавулановая кислота | Фенспирид | Азитромицин | Амброксол |
| Торговое название | Амоксиклав | Эреспал | Азитромицин Сумамед | Амброксол |
| Механизм действия | Бактерицидное действие, разрушение клеточной стенки бактерий. | Препятствует развитию воспаления, снижает бронхоспазм, улучшает проходимость бронхов. | Бактериостатический эффект, подавляет размножение бактерий. | Разжижает мокроту, улучшая ее отхождение, обеспечивая дренажную функцию бронхов. |
Современные методы диагностики
Правильная и своевременная диагностика очень важна. При появлении первых же симптомов стоит обратиться к врачу, ведь, несмотря на существование мощных антибактериальных препаратов, воспаление легких все еще может иметь летальный исход:
- Пациент обязательно должен сдать кровь на анализ — при исследовании можно заметить повышение скорости оседания эритроцитов, а также увеличение количества лейкоцитов, что свидетельствует о воспалительном процессе.
- Проводится биохимический анализ образцов крови, а также исследование мокроты для обнаружения возбудителя.
- Важна для диагностики и рентгенография грудной клетки, которая дает возможность выявить очаги воспаления.
- В некоторых случаях проводится фибробронхоскопия, которая позволяет осмотреть бронхи пациента изнутри.
Этиология заболевания
Причина появления пневмонии –, бактериальное заражение организма некоторыми видами патогенных микроорганизмов. Наиболее распространенными возбудителями являются: бактерии семейства кокков (стафилококк, стрептококк и пневмококк), хламидии, гемофильная палочка, Легионелла, микоплазма, Кандида. Попадание возбудителя заболевания в легочную ткань происходит через кровоток или лимфатическую систему, а также через дыхательные пути.
Микроорганизмы, вызывающие пневмонию, все время воздействуют на дыхательные пути. Чаще всего иммунитет здорового человека может противостоять болезни. Однако ослабление организма или агрессивные микроорганизмы могут послужить причиной заболевания. Существуют провоцирующие факторы, которые способствуют развитию левосторонней пневмонии у взрослых:
- Вредные привычки. При курении в легкие попадают смолы, которые оседают на их стенках. Это приводит к понижению местного иммунитета, повышается риск развития различных заболеваний дыхательной системы.
- Хронические болезни легких. Также приводят к понижению местного иммунитета. Особенно опасны заболевания, подавляющие иммунную функцию организма (ВИЧ и СПИД).
- Длительное лежание. Это может быть связано с параличом, послеоперационным периодом и другими причинами. В результате нарушается процесс дыхания, легкие ослабевают. Рекомендуется хотя бы несколько раз за день менять положение тела. Это замедлит процесс образования пролежней и будет способствовать отхождению мокроты.
Реже причиной появления пневмонии является травмирование грудной клетки. В результате может начаться воспалительный процесс в области легких. Также причиной появления заболевания может стать попадание инородных предметов или жидкости в органы дыхания.
Данное заболевание может появиться у людей разной возрастной группы, однако пневмонии наиболее подвержены дети и люди в возрасте от 65 лет. Ишемическая болезнь сердца, хроническая обструктивная болезнь легких и диабет способствуют тяжелому течению пневмонии. Наибольшее число заболеваний регистрируется в зимнее время, также курящие люди больше подвержены заболеванию.
Осложнения и последствия
Неблагоприятные факторы специалисты условно делят на внелегочные и легочные.
Среди легочных факторов можно выделить абсцесс, острую недостаточность дыхательного типа, гангренозные образования в легочной части, плеврит, синдром бронхиальной обструкции, осложненная форма пневмонии.
Среди внелегочных осложнений можно выделить эндокардит, миокард, менингит, анемия, токсический шок, менингальный энцефалит. Для того чтобы подобные факторы не возникли, следует придерживаться установленного курса лечения и необходимых профилактических форм.
Согласно статистике, в следствие воспалительных процессов погибает около 5% больных. По числу смертности левосторонняя пневмония занимает 6 место в мире. Это связано с тем, что пациенты игнорируют первые признаки и обращаются за медицинской помощью только при возникновении серьезных симптомов: сильный кашель, повышенная температура, частые обмороки.
Общее описание заболевания
Долевая пневмония – это воспалительное заболевание инфекционно-аллергического характера, поражающее легкие. Но воспалительный процесс затрагивает не все легкое, а лишь его долю (в некоторых случаях несколько долей). Воспаление легочной ткани способствует образованию отеков и гноя, постепенно ее разрушая. Наиболее подвержены долевой форме пневмонии люди с ослабленным иммунитетом.
Что такое пневмония долевая?
Заболевание легких влечет за собой массу неприятных последствий. Среди таковых недугов числится и пневмония долевая. Патология являет собой острую инфекционно-аллергическую болезнь, которая включает в себя одну или несколько долей легкого, а также плевру.
При данном недуге отмечаются такие симптомы, как головная боль, лихорадка, озноб, плевральная болезненность, общая слабость, одышка и другие неприятные проявления. Исходя из данных рентгенографии, аускультации, клинического анализа крови, устанавливается диагноз пациента. При пневмонии легочных долей необходимо вовремя начать лечение антибиотиками, провести дезинтоксикационную и симптоматическую терапию, физиотерапию.
Факторы развития
Преимущественно вызывающими заболевание причинами могут быть всевозможные штаммы пневмококка. В других случаях это могут быть иные микроорганизмы, проникающие в легкое гематогенным, бронхогенным, лимфогенным способом.
Появление пневмонии легочных долей имеет отношение к персистенции пневмококка в носоглотке здорового пациента, а также к чувствительности организма к его антигенам.
Обострение недуга может возникнуть как у здорового человека, так и при вторичном проникновении пневмококков в дыхательные пути.
Пневмония долевая часто развивается в результате переохлаждения организма, перенесения острого респираторного вирусного заболевания, гриппа, снижения местного и общего иммунитета, стрессового состояния, травмы, интенсивной физической нагрузки.
Нередко провоцирующими заболевание факторами становится сахарный диабет, туберкулез, ИБС, хронический алкоголизм, онкологические заболевания и другие состояния. Наследственная предрасположенность достаточно часто играет роль в проявления недуга у человека.
Патогенетическая картина пневмонии долевой делится на четыре вида механизмов, которые предрасполагают к появлению воспаления легочных долей:
- Аспирация содержимого ротоглотки. Это самый частый способ заражения респираторных отделов легких, потому и главный патогенетический механизм развития пневмоний.
- Гематогенное распространение раздражителя из внелегочного центра инфекции.
- Ингаляция микробного аэрозоля.
- Прямое распространение раздражителя из соседних поврежденных органов или в результате инфицирования при возникающем травмировании грудной клетки.
Легочная пневмония может отличаться по размерам поражения легких. Потому определяются такие виды:
- Очаговая.
- Сегментарная (поражается лишь часть легкого).
- Долевая (повреждена одна доля).
- Тотальная (воспаляется все легкое).
- Двухсторонняя (повреждаются оба легких).
Различают еще один вид патологий легкого – внебольничная пневмония. Возникает недуг вне стен медицинского учреждения и имеет свои формы, которые отличаются своими симптомами, рядом причин, механизмом лечения.
Симптомы и диагностика
Правосторонняя пневмония нижней доли появляется чаще, нежели воспаление с левой части. Такое явление можно объяснить иным строением дыхательных путей правой части.
Воспаление нижней доли справа располагается косо, что дает возможность накопиться там вирусам и бактериям.
Так как во время постоянного или временного ухудшения состояния иммунитета и угнетения местных защитных функций патогенные микроорганизмы размножаются в бронхах, то появляются симптомы бронхопневмонии. Им свойственно присутствие большого количества мелких очажных тканей.
При воспалении проявляются такие признаки:
- Лихорадка.
- Повышение температуры.
- Головная боль.
- Слабость.
- Одышка, кашель, боль легочная.
Патология у детей развивается достаточно быстро. На протяжении нескольких дней без правильного лечения инфильтрат, который был найден на рентгенограмме, переходит в долевой или сегментарный очаг.
Это явление обусловлено тем, что детский организм никогда ранее не подвергался воздействию вируса или бактериям, спровоцировавшим недуг. Так как у ребенка нет антител к раздражителю, иммунная система не сопротивляется.
По следующим симптомам можно определить присутствие недуга:
- Повышение частоты дыхания.
- Высокая температура.
- Кашель.
- Выделение мокроты.
- Насморк.
Особенностью пневмонии является и то, что патология верхней доли диагностируется чаще у детей, чем у взрослых.
Диагностика воспаления в легочной доле проводится на основе жалоб больного, результатов анамнеза и других методов исследования. В обязательном порядке проводится рентгенография легких, в результате которой будут показаны все изменения и нарушения.
Лечение и профилактика
Своевременное и правильное определение признаков помогает совершать адекватное лечение.
Легочная пневмония в обостренной форме в качестве лечения включает постельный режим, постоянное питье теплой жидкости и правильное сбалансированное питание.
Терапия при заболевании будет применяться по показаниям: лечебная бронхоскопия, ИВЛ, оксигенотерапия. Если у пациента был инфекционно-токсический шок, то проводится стабилизация АД, исправление микроциркуляторных нарушений и метаболического ацидоза.
В случае если прием антибактериальных средств не помогает, то это говорит о повышенной чувствительности раздражителя к медикаментам. Важно знать, что, помимо применения антибиотиков, для устранения воспалений в легких также используется активизация защитных факторов организма. Целью лечения является помощь организму в борьбе с инфицированием в пораженной доле, а не уничтожение ткани лекарственными компонентами.
Когда врач не замечает нормальной реакции на антибиотики, то он может повышать дозировку или вовсе меняет средство.
Далее происходит «соревнование» за максимально действенный препарат. Однако такую методику недопустимо проводить в лечении ребенка, так как это провоцирует изменение внутренних органов.
Когда у больного диагностируется хроническая форма воспаления, прием антибиотиков может быть более длительным и интенсивным. Как правило, длительность приема антибиотиков будет обусловлена характером протекания недуга и степенью его тяжести, правильностью и своевременностью проводимого лечения, темпами нормализации состояния пациента, результатами рентгенографии. Срок лечения обычно длится 7-10 дней, а в некоторых случаях занимает даже от двух до трех недель.
При долевой пневмонии как дополнение применяется противовоспалительная терапия, используются жаропонижающие средства, антигистаминные препараты, иммуностимуляторы.
Дополнительные моменты
Программа лечения будет включать и физиотерапию: УВЧ, лекарственный электрофорез, массаж грудной клетки, ингаляции и лечебную физкультуру.
В случае воспалительного процессе более чем на одной доле легкого для людей, страдающих алкоголизмом, для больных с протекающим параллельно заболеванием требуется более длительный процесс лечения.
В зависимости от вероятности развития осложнений (дети от 5 лет, люди в преклонном возрасте, больные с тяжелыми параллельно протекающими заболеваниями, пониженная иммунная система, бактерии и др.) будет определяться прогноз легочной пневмонии.
При своевременном обращении к пульмонологу и в случае, если пациент более молод, исход зачастую носит благоприятный характер.
Профилактические меры включают процедуры закаливания, регулярные физические нагрузки (умеренные), предотвращение переохлаждения организма и воздействия стрессов. Больного важно изолировать от здоровых людей, которым, в свою очередь, важно применять марлевые повязки. Необходимо проводить химические и физические методы дезинфекции. Обязательно своевременно лечить все заболевания дыхательной системы (ринит, гайморит). С целью профилактики все вредные привычки, в частности, курение, должны быть сведены к минимуму или вовсе устранены.
Anna
Месяц назад была правосторонняя пневмания в верхней доли. То что появилась заболевание поняла сразу, но надеялась что это обычная простуда. Через 3 недели после хождения на работу с кашлем и температурой решилась сделать ренген. результат не утешитильный. Сразу же положили в больницу на 2 недели. ничего страшного там не делали, только лишь ставили капельницы. Не затягивайте с этим. иначе перейдет в хроническую стадию и будет ой-ой как печальненько.
МТС
лечение легкой формы пневмонии может лечиться дома антибиотиками в таблетках. Главное что вам нужно пропить антибиотики полностью, до конца, не прерывая лечение, и не пропуская приёма ни одной таблетки. А точно определить вылечились вы или нет — после лечения делают контрольный снимок рентгена легких.
Клинические проявления
Симптомы левосторонней пневмонии появляются сразу после образования жидкости в альвеолах. Человек может отмечать следующие признаки патологического процесса:
- резкое и выраженное появление лихорадки;
- кашель (изначально сухой, затем с гнойной мокротой);
- если заболевание осложнено плевритом, могут появиться сильные боли.
Если заболевшему человеку была оказана квалифицированная медицинская помощь, то среднее время продолжительности заболевания составляет около 2 – 2,5 недель.
Атипичный тип пневмонии практически всегда приводит к развитию осложнений различной формы тяжести. Это связано с несвоевременным обращением заболевших к врачу. Основными симптомами этого типа болезни являются: кашель с выделением мокроты оранжевого цвета, лихорадка, боль в области горла, неприятные ощущения в мышцах и суставах.
Этиология и патогенез
По частоте локализации патологического процесса ведущее место отводится правостороннему поражению. В месте бифуркации трахеи правый главный бронх имеет вертикальное направление и является ее продолжением. По дальнейшему разделению правого главного бронха анатомически выделяется верхняя, средняя и нижняя доли правого легкого. Правый среднедолевой бронх самый длинный и узкий, поэтому в 50% случаев правосторонняя пневмония развивается с поражением средней доли.
Пневмония средней доли правого легкого — это острое инфекционное воспаление легочной паренхимы сегментов средней доли правого легкого с наличием внутриальвеолярной экссудации в одном или обоих сегментах. При поражении одного из сегментов средней доли легкого говорят о сегментарной, или очаговой пневмонии. При поражении двух сегментов – о долевой, которая при вовлечении плевры приобретает характер крупозного воспаления (крупозное воспаление сопровождается поражением доли и окружающей ее плевры, как правило, связанное с пневмококковой инфекцией).
Причины и лечение пневмонии правосторонней
Пневмония правосторонняя – это распространенное заболевание легких. Воспаление легких, так еще называют пневмонию, характеризуется развитием патогенных микроорганизмов в жизненно необходимом органе человека. Пневмония поражает легкие и может быть односторонней, то есть локализоваться в одном легком или двухсторонней. Чаще всего наблюдается правосторонняя пневмония.
Воспаление легких провоцируют бактерии, вирусы и разные грибки. В недалеком прошлом болезнь была смертельной, так как методы лечения отсутствовали. Но сегодня лишь малому проценту людей грозит летальный исход. Чем раньше врач диагностирует заболевание, тем быстрее последует выздоровление.
Причины правосторонней пневмонии
Воспаление легких возникает после заражения организма вирусом и передается воздушно-капельным путем. При банальном чихании больного пневмонией высвобождаются вредоносные микроорганизмы и попадают в легкие другого человека. Затем они размножаются и заполняют орган, вызывая воспаление. Необходимо использовать все меры предосторожности, чтобы не заразится, если дома кто-то болен.
При ослабленной иммунной системе микроорганизмы, которые живут на слизистой человека, начинают атаковать организм.
При нормальном состоянии здоровья проблем быть не должно, но ослабленный иммунитет не может их побороть. Таким образом организм поражает бактерицидная пневмония.
Причиной болезни могут быть грибки, которые проникают внутрь организма и начинают там “хозяйничать”. Эти микроорганизмы могут также присутствовать в доме, где повышенная сырость.
Спровоцировать заболевание им не составляет труда, достаточно лишь, чтобы организм был ослабленным. Находясь долгое время в помещение с вредоносными грибками, организм вполне может получить негативные последствия.
Симптомы воспаления легких
У воспаления легких есть свои отличительные симптомы, которые позволяют поставить диагноз. Одним из самых главных признаков болезни является боль в груди при желании глубоко вздохнуть. Но бывают случаи, когда проявляется только один из симптомов, тогда проводят дополнительные исследования.
Основные симптомы пневмонии:
- высокая температура тела, которая свидетельствует о воспалительном процессе;
- кашель, из-за которого пневмонию можно перепутать с острым бронхитом;
- насморк;
- отдышка, врачи фиксируют тахикардию;
- боли в грудной клетке при глубоком дыхании;
- хрипы в легких.
Так как на ранней стадии заболевания симптомы почти отсутствуют, есть определенная опасность для здоровья. По внешнему виду больного можно заметить, что он быстро утомляется и у него отсутствует аппетит. Симптомы не всегда проявляются и у маленьких детей. Родителям необходимо быть внимательными и бить тревогу при любых недомоганиях. Дети не всегда могут объяснить, что болит, поэтому обязанность следить за их здоровьем лежит на родителях.
Как диагностировать правостороннюю пневмонию?
Самым эффективным методом диагностики пневмонии остается рентгенография. На снимке можно заметить, как само заболевание, так и локализацию его на легком, площадь поражения органа. Рентгенография – самый доступный метод диагностики.
Просветы на снимке свидетельствуют о наличии воспалительного процесса. Поэтому при подозрении на воспаление легких врач в обязательном порядке назначает рентгенологическое исследование, которое фиксирует наличие заболевания.
Чтобы выяснить, что стало причиной заболевания, необходимо сделать анализ мокроты, которая отхаркивается при кашле. Если кашель сухого типа, то анализ сделать невозможно. Благодаря такой диагностике можно точно определить возбудителя пневмонии и начать выгонять из организма именно его.
В обязательном порядке берут кровь на анализ. Если увеличено количество белых телец, то в организме наблюдается сбой. Завышенный показатель СОЭ также свидетельствует о воспалении. При любом недомогании необходимо делать анализ крови: это подскажет, где кроется проблема.
Ранняя диагностика помогает сэкономить время и быстрее начать эффективное лечение.
У маленьких детей также бывает пневмония. Родителей должно насторожить, если у ребенка высокая температура тела, а жаропонижающие препараты не эффективны. Если с болезнью старшего ребенка вы можете попытаться справиться самостоятельно, то если жар у младенца, немедленно вызывайте “скорую помощь”.
Лечение пневмонии медикаментозными препаратами
Антибиотики – самые эффективные препараты в лечение пневмонии. Так как причины заболевания разные, соответственно, и лечение необходимо подбирать в зависимости от патогенного микроорганизма. Еще недавно пенициллин был чудо-средством от всех бактерий, но сегодня микроорганизмы устойчивее и не реагируют на один вид антибиотиков. Все чаще используются препараты второго и третьего поколения.
Пневмония правосторонняя опасна тем, что бактерии имеют свойство быстро распространяться по всему бронхиальному дереву. Поэтому важно на раннем этапе устранить недомогание. Есть опасность, что воспаление с правой стороны может перейти на левую.
До получения результатов анализа пневмонию лечат антибиотиками широкого спектра действия. Если такая терапия оказывается неэффективной, тогда меняют группу антибиотиков. Бывает, что невозможно сдать анализ на мокроту, поэтому врачам необходимо хорошо продумать схему лечения. Правостороннюю пневмонию лечат левофлоксацином, сульфаметоксазолом, амоксициллином. Такое лечение эффективно лишь при бактерицидном заражении.
Если причиной заболевания является вирус внутри организма, то антибиотики не принесут видимых результатов. Необходимо начинать противовирусную терапию. Бактерицидную пневмонию легче вылечить, чем вирусную. Споры грибков, которые вызывают воспаление легких, быстро размножаются внутри органа, поэтому необходимо начать лечение средством против определенного вида грибка.
С такой болезнью лучше не шутить, здесь не место самолечению. Больной не может назначить себе лекарственные препараты даже в том случае, если болеет не в первый раз, так как этиология заболевания может быть совершено другая. При затяжной болезни и неправильном лечении возможен летальный исход.
Профилактика воспаления легких
Самым лучшей профилактикой от любого недомогания является укрепление иммунитета. Если человек имеет крепкий иммунитет, то и болезни не будут его атаковать. Сам организм может побороть нежданных гостей – микроорганизмов, только если он достаточно силен.
Чтобы иметь хорошую защитную функцию необходимо правильно питаться. Пища должна быть сбалансирована и содержать как белки, жиры и углеводы, так и витамины, микроэлементы. Время от времени пропивать витаминный комплекс, особенно в период авитаминоза. Пить достаточное количество воды, так как у жидкости есть свойство промывать организм и освобождать от бактерий.
Умеренное занятие спортом, только улучшит работу всех органов. Физические упражнения всегда идут на пользу, выбирайте тот вид спорта, который не противопоказан именно вам. Пешие прогулки и езда на велосипеде не только укрепят мышцы, но и помогут справляться со стрессами. Обычная каждодневная зарядка по утрам продлевает жизнь человеку на несколько лет.
Еще одно, о чем не следует забывать – это сон. Недаром его называют великим лекарем. Научно доказано, что если человек страдает от постоянного недосыпания, то у него больше возможностей заболеть, чем у других. Благодаря сну организм восстанавливается и набирается силы на активную работу в течение дня. Взрослому человеку необходимо спать от семи до девяти часов в сутки, тогда никакая болезнь не будет вас страшить.
Как проявляется болезнь
Как уже говорилось выше, при долевой форме пневмонии легкое поражается не полностью. В большинстве случаев воспаление возникает в одной доле легкого. По мере прогрессирования воспалительный процесс захватывает другие доли, и даже близлежащие органы.
По месту локализации данное заболевание делят на следующие виды:
- верхнедолевую пневмонию (если воспаление охватывает верхнюю долю);
- нижнедолевую (при поражении нижней доли);
- среднедолевую и междолевую (если воспалительный процесс развивается в средней доле или между долями).
В зависимости от стороны поражения, пневмония может быть правосторонней, левосторонней и двусторонней.
Если заболевание развивается быстро, его называют остро текущим. Если же болезнь длится более месяца, ее называют затяжной.
В целом симптомы заболевания вне зависимости от места локализации и стороны поражения легкого идентичны. Верхнедолевая и нижнедолевая пневмония отличаются стремительным началом, при котором на фоне относительного благополучия у человека резко повышается температура до 39°С.
У больного появляется озноб. Но повышение температуры и озноб могут не проявиться у людей с ослабленной иммунной системой, к которым относятся дети, пожилые пациенты и люди, страдающие хроническими заболеваниями.
Что такое воспаление правого легкого?
Правый бронх по сравнению с левым более широкий и короткий, поэтому инфекции проще проникнуть и распространиться по нему. К тому же он размещен под углом, благодаря чему облегчается процесс инфильтрации и последующее накопление вредоносных микроорганизмов внутри. Бактериальное размножение развивается стремительно, вследствие этого заболевание имеет прогрессирующий характер.
Внимание! При позднем обращении к специалисту и запоздалом лечении болезни есть риск тяжелых осложнений.
В международной классификации пневмония имеет код по МКБ-10 – J15-J15.9. Болезнь при бактериальном и вирусном генезе заразна и переходит от больного к здоровому воздушно-капельным путем. Причины разнообразны: поражение стафилококком и пневмококком, инвазия хламидиями, нарастающий кандидоз, любая другая вирусная инфекция (включая смешанный возбудитель).
Одна из наиболее опасных форм – правосторонняя полисегментарная пневмония. При стремительном развитии болезнь охватывает всё легкое, что приводит к кислородному голоданию и может привести к смерти больного. Воспалительный процесс в эпителии ведет к плевриту, что в свою очередь создает серьезные трудности в работе органов дыхания. Этот вид болезни нуждается в незамедлительной медикаментозной терапии.
Когда патологическим процессом при правостороннем воспалении легких затронуты только две доли легкого из трех, такая пневмония называется билобарной.

