Женщина, проявляющая заботу о своем здоровье, минимум раз в год, должна посещать гинеколога, а в идеале каждые три месяца. При осмотре врач обязательно берет материал на исследование из цервикального канала, шейки матки и влагалища, чтобы определить уровень чистоты вагины и вовремя выявить болезнь. В норме микробная флора палочковая или смешанная, где основную часть присутствующих бацилл составляют полезные лактобактерии, выглядящие как палочки с толстой стенкой и имеющие одинаковый размер.
В смешанной флоре присутствуют лактобоктерии, которые и составляют большую часть бактерий
Что такое полиморфная палочка
Бактерии существуют в различных формах. Одни имеют круглую или овальную, они называются кокки. Другие приобретают палочковидную форму, это бациллы. Третьи – существуют в виде спирали, называются спирохетами. Бактериальные формы не ограничиваются только этими 3 типами. Некоторые из них полиморфны, что означает существование в различных состояниях.
Такие бактерии не имеют определённой формы или отличаются от трёх известных стереотипных форм. Полиморфные бактерии видоизменяются, приспосабливаясь к геному человека. Полиморфная палочка, в мазке у женщин встречающаяся нередко, относится к бациллам, которые изменяют свою форму и имеют разные типы.
Патогенное воздействие полиморфной палочки
Нормальная микрофлора женского организма – это качественное и количественное соотношение микробных популяций, которые колонизировали определённую систему организма. Колонии бактерий участвуют в поддержании здоровья. Когда начинают преобладать патогенные микроорганизмы, нарушается баланс микрофлоры. Среди патогенов есть как палочковые формы, так и кокки.
Влагалище женщины имеет кислую среду, потому что в ней содержится много молочной кислоты, вырабатываемой под воздействием эстрогена. Около 97% бактерий, населяющих микрофлору, относятся к молочно-кислым бактериям. Одновременно в микрофлоре присутствуют условно-патогенные организмы, кокки, палочки, бациллы.
Их количество не должно в норме превышать 10,3 КОЕ/мл. Превышение этого параметра говорит о начавшемся бактериальном заболевании. Увеличение кокков сопровождается разрастанием другой условно-патогенной формы – полиморфной палочки.
Причины появления полиморфной палочки
Полиморфная палочка в мазке у женщин – это микроскопический организм, который создаёт болезнетворную среду во влагалище, шейке матки или цервикальном канале. Под микрофлорой влагалища подразумевают совместное проживание разных бактерий.
Одни из них присутствуют в организме нормально, не вызывая никаких последствий. Кишечная палочка мирно живёт в желудке и принимает участие в процессе переваривания пищи. Так же и в половой сфере, многие бактерии трудятся на благо здоровья.
Но это разделение условное, среда микрофлоры делится на 3 категории:
- Нормальная микрофлора. Полезные бактерии, выполняющие защитную функцию, преобладают в большинстве.
- Условно-патогенная. Определённое количество бактерий, присутствующие в микрофлоре, никакой пользы не приносят организму, но и вреда не доставляют. Всё это происходит до поры до времени, пока не произойдёт сбой в системе, вызванный стрессом, переохлаждением, что ослабляет иммунную систему. Тогда условно-патогенные формы бактерий объединяются, начинают выделять продукты жизнедеятельности, которые угнетают полезные бактерии, населяющие микрофлору. Функционирование организма нарушается, наступает заболевание.
- Патогенная микрофлора. В ней преобладают микроорганизмы, которые отрицательно действуют на человека. Если организм устойчив, иммунитет повышен, то они не приносят особого вреда. Но любой сбой поднимает шансы получить инфекционное заболевание, бактериальное заражение.
За чистоту микрофлоры отвечают палочки Дедерлейна, поддерживающие кислую среду.
Они же принимают участие в создании антител к различным инфекциям, поддерживают влажность влагалища, сдерживают размножение патогенных микробов в допустимых нормах. Полиморфная палочка является микробом патогенным, способным в любой момент атаковать человека, поразить шейку матки, цервикальный канал.
Палочки Дедерлейна выступают антагонистом этому микробу, не давая полиморфам размножаться сверх меры. При уменьшении количества палочек Дедерлейна их место занимает полиморфная палочка, что указывает на образование дисбактериоза.
В крови начинает увеличиваться количество лейкоцитов, которые отвечают за борьбу с плохими микробами. Их усиленное размножение сигнализирует, что в организме начался инфекционный или воспалительный процесс.
Причины, по которым повышается количество полиморфов в микрофлоре:
- несоблюдение правил интимной гигиены;
- частая смена сексуальных партнёров;
- отказ от барьерных контрацептивов;
- частое и бессистемное спринцевание;
- бесконтрольно длительное употребление антибиотических препаратов;
- гормональные сдвиги в период менопаузы, во время беременности, при нарушениях цикла менструаций;
- заболевания, вызванные инфекциями;
- длительный приём глюкокортикостероидов, ослабляющих иммунитет;
- повреждения слизистой влагалища.
Состояние флоры
На практике чаще всего используется оценка результатов аналитики исследуемого материала микробиологически, согласно чему выделяют следующие стадии чистоты:
- 1 степень характеризует совершенно здоровую женщину, когда визуально определяется в мазке палочковая флора в большом количестве с примесью единичного эпителия и небольшого количества слизи;
- 2 степень также присуща здоровым женщинам, но здесь к присутствующим в достаточном объеме лактобактериям и эпителию присоединяются единичные кокки. Такая ситуация не должна вызывать беспокойства, поскольку считается нормой и наблюдается у достаточного числа девушек, живущих половой жизнью;
- 3 степень имеет не совсем благоприятную картину. В мазке преобладают кокки, палочек небольшое количество, повышается число лейкоцитов (более 10 в поле зрения), снижается работоспособность палочковой флоры, что это значит, догадаться не трудно: развивается воспалительный процесс;
- 4 степень ознаменована наличием только кокков, палочек нет совсем, большое количество эпителия шейки матки, растущее число белых кровяных телец, увеличение выделений. Это указывает на возникновение бактериального кольпита.
В последнем случае для уточнения диагноза доктор может порекомендовать кольпоскопию, чтобы составить мнение об уровне поражения шейки и цервикального канала.
Диагностика полиморфной палочки
Полиморфная палочка в мазке у женщины определяется с помощью бактериологического анализа. Для проведения диагностики сдают мазок на микрофлору. С помощью мазка трудно определить конкретный вид бактерий, которые преобладают в микрофлоре.
Для этого и проводится бактериологический посев, на основе которого не только определяют вид поселившейся бактерии, но и определяют чувствительность её к антибиотикам. Полученные результаты дают возможность врачу диагностировать гинекологические заболевания: кольпит, вагиноз. Часто большое скопление полиморфных палочек указывает на развитие вагинального дисбактериоза.
Влияние микробов на микрофлору:
| Состояние микрофлоры | Нарушения | Формы расстройств |
| Нормальное | Отсутствие отрицательной микрофлоры, преобладание лактобактерий | Нормальное состояние влагалищной среды |
| Промежуточное состояние | Количество лактобактерий умеренное, присутствие палочек, грамположительных и грамотрицательных кокков. Имеются лейкоциты и макрофаги. | Нормальное состояние у здоровых женщин, девочек-подростков, без объективных жалоб. |
| Влагалищный дисбиоз | Лактобактерий мало или они отсутствуют совсем. Многочисленная колония полиморфных палочек и кокков. Количество лейкоцитов колеблется. |
Бактериальный вагиноз
Во время беременности преобладание полиморфной палочки отрицательно сказывается на здоровье женщины и будущего ребёнка. Анализы можно сдать в поликлиниках, где стоимость мазка не превышает 300 руб. Бактериологический посев стоит от 600 до 800 руб.
Причины для выполнения посева в гинекологии
- Если в мазке умеренное или большое количество лейкоцитов, но возбудитель инфекции не известен. Так как при микроскопии существует нижний предел выявляемости микроорганизмов: 10 в 4 — 10 в 5 степени.
- Если микроб выявлен, чтобы определить его чувствительность к антибиотикам.
- Если имеются признаки грибковой инфекции. Чтобы точно установить вид грибов и назначить эффективный антимикотический препарат. Некоторые разновидности грибков, например, Кандида Альбиканс (Candida albicans — диплоидный грибок), очень опасны для будущих мам и могут спровоцировать инфицирование и преждевременный разрыв плодных оболочек.Другие виды грибов Кандида можно не лечить, если нет патологических симптомов.
Профилактика появления полиморфной палочки
Чтобы избежать расстройства микрофлоры:
- Следует не пользоваться ароматизированными средствами интимной гигиены, антибактериальным мылом.
- Стараться как можно чаще менять прокладки, тампоны, не оставлять их во влагалище на весь день.
- Секс должен быть защищённый, снизить число случайных половых контактов.
- При покупке нижнего белья отдать предпочтение изделиям из хлопка, для доступа воздуха к наружным половым органам.
- Включить в рацион кисломолочные продукты, свежие фрукты и овощи. Ограничить сладости, сахара, потому что они не способствуют формированию нормальной микрофлоры влагалища, устойчивой к развитию вагинитов.
Методы лечения полиморфной палочки
Для коррекции микрофлоры следует установить первопричину возникновения дисбиоза. Если не планируется беременность, гинекологическая операция, то можно обойтись без лекарственных препаратов, ожидая, пока равновесие не восстановится самостоятельно. При наличии отягчающих симптомов требуется медикаментозное лечение.
Полиморфная палочка, размножившаяся в микрофлоре, о чём свидетельствует мазок, взятый у женщины, лечится в 2 этапа.
Вначале предполагается применение антибактериальных и антисептических препаратов, которые подавляют размножение патогенов. На 2 этапе – используются препараты, восстанавливающие микрофлору. Между 1 и 2 этапом лечения назначаются лекарства, разрушающие биоплёнку, которую создают патогены для снижения активности клеток, защищающих организм.
Терапия антибактериальными препаратами имеет побочные эффекты в виде гибели естественной флоры и не всегда эффективна, вследствие того, что патогенные организмы принимают разнообразные формы. Многие бактерии имеют повышенное противодействие ко многим препаратам.
Лекарственные препараты
Антибактериальные препараты:
- Метронидазол. Препарат принимают после еды, дважды в день, по 2 таб. Лечение проводится в течение 10 дней. Одновременно с таблетками рекомендовано использовать интравагинальные свечи. Утром и вечером применять по суппозиторию. Терапию свечами проводится в начале менструального цикла. Цена препарата: 10–30 руб.
- Атрикан. Принимается таблетки внутрь во время еды, по 1 капсуле 2 раза в день, утром и вечером. Лечение продолжается 4 дня. Не рекомендуется увеличивать дозы. Цена препарата 2—–300 руб.
- Орнидазол. Вагинальные таблетки применяются по 1 шт. ежедневно перед сном, в течение 5 суток, при трихомониазе. Для лечения вагинитов вводят глубоко во влагалище по 1 шт. перед сном, на протяжении 7 суток. Препарат стоит от 70 руб.
- Клиндамицин. Применяется в виде свечей, курс лечения составляет 3 дня, вводят суппозитории по 1 шт. на ночь. Препарат имеет много побочных эффектов, применение необходимо согласовать с врачом. Цена препарата от 300 до 500 руб.
Лекарства на основе лактобактерий улучшают действие антибактериальной терапии:
- Вагилак. Капсулы применяют по 1 в день во время еды. Улучшение наступает через 2 недели.
- Лактожиналь. С лечебной целью применяется 7 дней по 1 свече вагинальной 2 раза в день. Для профилактики принимают по 1 свече 1 раз в день.
- Гинофлор. Препарат применяется в период менопаузы, по 1–2 таблетки интравагинально, в течение 12 дней.
- Триожиналь. Принимается интравагинально по 1 капсуле утром и вечером, в течение 2 недель.
Препарат, разрушающий бактериальную биоплёнку:
- Вагинорм-С. Таблетки вагинальные, принимаются ежедневно, по 1 шт., в течение двух недель.
Прочие методы
Лечение предусматривает применение биопрепаратов, восстанавливающих биоценоз вагинальной микрофлоры.
Народные методы
Полиморфная палочка в мазке у женщин, обнаруженная во время посещения врача, может быть признаком вагинального дисбактериоза, который лечится домашними средствами.
Лечение с помощью тампонов:
- Хорошо смочить тампон в натуральном молоке или йогурте.
- Вставить его во влагалище, продвигая как можно дальше и оставить на несколько часов.
- Для смачивания можно приготовить смесь, состоящую из молока и порошка куркумы, из расчёта 1 ч. л. порошка на 200 мл тёплого молока.
- Пропитать тампон раствором, состоящим из 3% перекиси водорода, разбавленного в равных количествах водой. Тампон вставляется во влагалище на 30 мин.
- Кокосовое масло обладает профилактическим и антибактериальным свойством. Им также можно смачивать тампон для проведения гигиенической процедуры и оставить во влагалище на 2 часа.
Яблочный уксус является хорошим восстановителем рН среды. Его можно добавить в тёплую ванну для купания и посидеть в ней 30 мин.
Травы, обладающие лечебными свойствами:
Настои из трав используют для спринцевания, примочек, ванночек.
Как подготовится к анализу?
Мазок врач берет у пациентки на гинекологическом кресле (независимо от того — беременна она или нет) с помощью специальной щеточки или стерильной ложечки Фолькмана. Это совсем не больно и очень быстро.
Добиться хорошего, даже идеального мазка технически можно, если санировать влагалище хлоргексидином или мирамистином, например. Но какой в этом смысл?
Можно ли сдавать мазок при приеме антибиотиков или сразу после лечения? Нежелательно это делать в течение 10 дней после использования местного действия препаратов (вагинальных) и одного месяца по прошествии приема антибактериальных средств внутрь.
Микроскопическое исследование назначают:
- в плановом порядке при посещении гинеколога;
- при поступлении в гинекологический стационар;
- перед ЭКО;
- во время беременности (особенно, если часто бывает плохим мазок);
- если есть жалобы: необычные выделения, зуд, тазовая боль и т. д.
Как правило, мазок на флору берется при любом первичном обращении женщины к гинекологу.
Также показаниями к забору мазка и его последующей микроскопии являются:
- 1Плановые профилактические осмотры и диспансеризация.
- 2Патологические бели (отделяемое влагалища, шейки матки, уретры), неприятный их запах, обильный характер, изменение цвета.
- 3Предгравидарная подготовка в рамках планирования естественной и ЭКО-индуцированной беременности.
- 4Скрининг в период беременности.
- 5Неприятные, болезненные ощущения в нижней части живота, которые женщина не связывает с менструальным циклом.
- 6Болезненное мочеиспускание, дизурия, в том числе и симптомы уретрита, цистита. Урологическая патология у женщин, как правило, требует консультации и осмотра гинеколога.
- 7Окончание приема курса антибиотиков с целью определения характера флоры и возможностей ее восстановления.
Нередко людей смущает запись в анализах о наличии в мазке полиморфных палочек. Это подразумевает, что во взятом для исследования материале находятся различные виды палочек.
Понятие полиморфные палочки – это общее название множества видов микробов, которое объединяет микроорганизмы, отличающиеся по размеру и имеющих форму палочек.
Все полиморфные палочки делятся на нормальные, условно-патогенные и патогенные.
От подготовки к исследованию зависит точность анализа, поэтому за 2-3 дня до посещения гинеколога необходимо отказаться от половых актов, не принимать ванну, не пользоваться суппозиториями и кремами, не делать спринцевания, не принимать таблеток.
В день сдачи анализа нужно принять душ. Важной составляющей подготовки является интимная гигиена.
Использовать мыло, гель для душа или другие средства для очищения кожи при подмывании не стоит, иначе результат может быть ложным. За 2-3 ч.
до того, как лечь на гинекологическое кресло, не желательно мочиться.
Сдавать мазок можно в любой день менструального цикла, кроме самих дней месячных.
Узнать результат можно на следующий день. Он действителен 10 дней. В случае плохого анализа лечение нужно начинать сразу.
Возможные осложнения
Образование больших колоний патогенных бактерий во влагалище грозит воспалением влагалищных стенок, шейки матки. Со временем бактерии проникнут в саму матку, что приведёт к развитию эндометрита, аднексита. Воспаление может затронуть мочеиспускательный канал и мочевой пузырь.
Скопление бактерий, пониженная готовность организма сопротивлению, приводит к половым инфекциям: вирусу герпеса, гонококкам, хламидиям.
Нарушение нормальной микрофлоры у женщин, одной из причин которой является полиморфная палочка, обнаруженная в мазке, совсем не безобидное заболевание. Не следует откладывать визит к врачу, потому что дисбиоз влагалища ведёт к серьёзным проблемам.
Видео о причинах появления и методах лечения полиморфной палочки у женщин
О нарушении микрофлоры:
Как расшифровать результаты мазка на флору:
Палочковая флора — признак женского здоровья, для измерения которого со слизистых во влагалище берутся мазки. С помощью цитологических анализов выявляют многие болезни органов мочеполовой системы.
Палочковая флора в мазке у женщин — что это такое, какие показатели признаны нормой? В каких случаях (если в мазке на флору были обнаружены палочки в большом или малом количестве) может понадобиться лечение?
Узнайте, что означает палочковая флора в мазке, для чего в гинекологии сдается анализ на палочковидную флору, какие виды палочек бывают, данные о расшифровке.
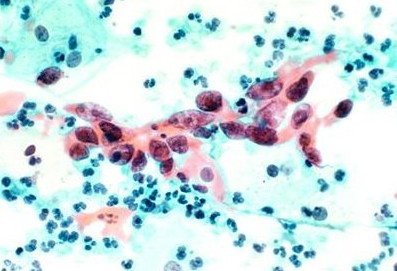
Как берут мазок на цитологию?
Мазок по Папаниколау проводится в условиях клиники. Женщина располагается в гинекологическом кресле. При проведении самой процедуры гинеколог забирает клетки с участка цервикального канала, со слизистой влагалища. В первом случае используют специальный зонд — эндобраш. Вводят его после небольшого расширения маточного канала путем использования расширителя. Для забора материала со стенок влагалища используется шпатель Эйра.
Когда проводится жидкостная цитология шейки, во время самой манипуляции женщина может ощущать незначительный дискомфорт, легкую болезненность. Ее появление обусловлено расширением цервикального канала, который снабжен большим количеством нервных окончаний. Продолжительность процедуры зависит от опытности гинеколога, и в среднем составляет 5-10 минут. Полученный материал помещается в пробирку с реагентом, отправляется в лабораторию.
О чем говорят изменения показателей
Обеспечение надлежащего выполнения органами репродуктивной системы своих функций зависит от наличия грамположительных палочек во влагалище. При установлении достаточного количества этих палочек в мазке для беспокойства нет причин.
Если же их количество отличается от рекомендуемой нормы, речь, скорее всего, идет о патологиях в женском организме.
Для установления окончательного диагноза понадобится оценка лактобацилл и лейкоцитов.
При наличии воспалительных очагов во влагалище при изучении материала наблюдается снижение количества грамположительных палочек, рост лейкоцитов от 10 до 30. Тогда специалисты диагностируют флору смешанного характера.
При обнаружении единичных лейкоцитов на фоне достаточного присутствия палочек Дедерлайна устанавливают скудную и благоприятную микрофлору, которая способна противостоять болезнетворным микроорганизмам.
При этом во многих случаях в женском влагалище может обильно выделяться слизь, а при исследовании не исключено обнаружение полиморфных палочек.
Скудность грамположительной флоры на фоне преобладания патогенных мелких палочек свидетельствует о сильном ослаблении иммунной защиты, которая не справляется с возбудителями заболеваний органов мочеполовой системы.
Такое состояние нуждается в коррекции микрофлоры, выявлении и устранении причин изменений.
Норма
Здоровая микрофлора мочеполовой системы – это присутствие нескольких лейкоцитов и палочковая флора. Основу составляют грамположительные палочки или палочки Дедерлейна. Они должны присутствовать в большом количестве.
Таблица «Референсные значения мазка на флору»
| Показатели | Норма, количество клеток в поле зрения | |
| Влагалище и уретра | Цервикальный канал | |
| Плоский эпителий (выстилает внутренние стенки влагалища и шейки матки) | 5–15 | |
| Лейкоциты (защитные клетки, отвечающие за фагоцитоз – ликвидацию патогенных бактерий) – | 3–12 (при беременности норма до 35) | 3–30 |
| Лактобациллы (палочки Дедерлейна) – обеспечивают здоровую кислую среду, в которой не могут жить патогенные микроорганизмы | Большое количество | Нет |
| Слизь (результат работы секретных желёз) | Умеренное количество |
Диагностические мероприятия
При обнаружении в мазке кокков, мелкой палочки, большого количества лейкоцитов для определения причин изменений, постановки диагноза и назначения лечения нужны дополнительные исследования.
Речь идет о:
ДНК-диагностике (ПЦР), среди методов которой — полимеразная цепная реакция. Метод выявления патогенной микрофлоры и возбудителей заболеваний высокочувствительный.
При ПЦР удается выявить возбудителей самых распространенных заболеваний органов репродуктивной системы: трихомониаза, хламидиоза, уреа- и микоплазмы, генитального герпеса.
| Вагинит | Просматривается увеличенное количество макрофагов, лейкоцитов, имеются гонококки, споры, мицелий. | Неспецифический или микотический вагинит, гонорея. |
- Серологическим методом выявления антител к возбудителям инфекционных заболеваний в крови.
Целесообразность и особенности лечения
Лечение обязательно, если в мазке на флору обнаружено недопустимое снижение количества грамположительных палочек на фоне роста патогенной микрофлоры, представленной мелкими палочками, лейкоцитами, кокками.
От определения первопричин нарушений нормальной микрофлоры и зависит тактика лечения.
Отклонения от нормы в мазке на флору связаны с бактериальным вагинозом, лечение которого проводится антибактериальными лекарственными средствами.
Терапию дополняет коррекция питания по требованиям кисломолочной диеты, чтобы снизить количество патогенных микроорганизмов во влагалище.
Для борьбы непосредственно с возбудителями заболеваний назначают приемы антибиотиков, противогрибковых и антибактериальных препаратов.
В целях устранения беспокоящей симптоматики, которая может проявляться характерными выделениями, зудом и жжением в области половых органов, рекомендованы процедуры спринцевания и свечи.
В лечении бактериального вагиноза используют препараты, именуемые Метронидазолом и Клиндамицином (таблетированные средства, свечи, гели).
Обязательная часть успешного лечения — наполнение влагалища полезной микрофлорой через коррекцию питания (регулярное употребление кисломолочных продуктов и квашеной капусты), прием вспомогательных препаратов, содержащих молочнокислые бактерии.
Есть немало препаратов широкого спектра воздействия, которые могут применяться одновременно в борьбе с хламидиозом, трихомониазом, уреаплазмой. Их назначением должен заниматься только специалист.
Степени чистоты влагалища
Часто доктор выписывает направление на анализ мазка на чистоту. С помощью этого метода выявляется «степень чистоты» влагалища. Всего их четыре. Нормальными являются только первая и вторая степени, третья и четвертая степени сигнализируют о наличии заболеваний половых путей.
1 степень – идеальный вариант, который, к сожалению, встречается нечасто. Лейкоциты в мазке не превышают допустимые нормы. Флора представлена большим числом палочек Дедерлейна, слизи и клеток слущенного эпителия в небольшом количестве.
2 степень – Наиболее распространенный вариант нормы, при котором лейкоциты в пределах нормы, слизь и эпителий в умеренном количестве. Появляется небольшое количество кокков или грибов Кандида, лактобактерии в большом количестве.
3 степень – в мазке определяется большое количество слизи и эпителиальных клеток. Полезных лактобацилл мало, вместо этого отмечается увеличенное количество грибков Кандида и патогенных микробов.
4 степень– лейкоцитов так много что доктор описывает их термином «сплошь». Очень большое число болезнетворных микроорганизмов. Палочки Дедерлейна отсутствуют. Слизь и эпителий в большом количестве.
Первая и вторая степени не требуют лечения, а последние две степени свидетельствуют о воспалительном процессе, вызванном тем или иным возбудителем, и требуют безотлагательной терапии.
По чистоте можно судить о микрофлоре, нормальная она или патогенная. Всего различают 4 степени, но только первые две являются нормой.
Характеристика:
- I степень. Она встречается редко. Среда кислая, рН=4-4,5. Лейкоциты, палочки Дедерлейна и другие показатели находятся в переделах нормы.
- II степень. Кислотность влагалища уменьшается, рН возрастает до 5. Это свидетельствует о том, что флору заселяет небольшое количество патогенных микроорганизмов. Воспалительный процесс отсутствует, поэтому лейкоциты не превышены. Инфекция находится на начальной стадии развития, поэтому могут появиться грибы Кандида и кокки.
- III степень. Обнаруживается рост патогенной микрофлоры, зато количество лактобактерий значительно снижается. Среда влагалища становится щелочной, рН= 5-7. Эпителиальные клетки свидетельствуют о воспалении.
- IV степень. Изменяется рН, она составляет 7-8. Лейкоциты, слизь и другие включения намного превышают нормальные показатели. Лактобактерии отсутствуют, флора патогенная.
III и IV степени нуждаются в лечении.
Изучение во время беременности
Как меняется палочковая флора в мазке при беременности? Изменения микрофлоры влагалища в период беременности во многих случаях не является тревожным сигналом, свидетельствующим о необходимости назначения лечения.
Одной из распространенных причин снижения грамположительных палочек и развития патогенной микрофлоры выступают гормональные нарушения в женском организме и ослабление иммунной системы, чем часто сопровождается беременность.
Снижение иммунитета в период вынашивания малыша провоцирует развитие молочницы, что отражается на показателях микрофлоры влагалища.
При молочнице в мазке обнаруживаются полиморфные частицы.
Молочница может стать причиной развития серьезных осложнений и отрицательно сказывается на протекании беременности.
Поэтому при обнаружении характерных выделений следует безотлагательно обращаться к гинекологу.
Без внимания не должен оставаться и бактериальный вагиноз, который тоже осложняет течение беременности.
Берегите свое здоровье и не занимайтесь самолечением – только специалист сможет выявить отклонения и принять решение относительно лечения пациента.
Флора палочковая – это важный показатель женского здоровья. Для определения берется мазок со слизистой оболочки влагалища. Анализ на цитологию помогает выявить многие заболевания половой сферы у женщин. По нему может быть определена флора полиморфно-палочковая. Этот анализ помогает выявить многие опасные заболевания.
Что может показать исследование мазка
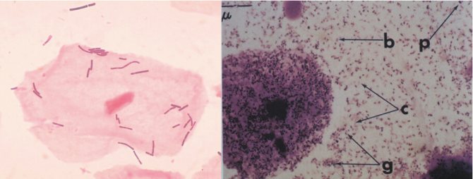
Исследование флоры предполагает отбор специалистом материала как непосредственно из влагалища, так и из уретры. Макроскопическая диагностика обычно выявляет в мазке следующие клеточные типы:
- Плоский эпителий. Этот клеточный тип образует всю внутреннюю влагалищную поверхность. Выявление чрезмерного количества этого клеточного типа может означать наличие уретрита либо вагинита. Нехватка плоского эпителия практически наверняка сообщает, что присутствует недостаточность синтеза прогестерона.
- Лейкоциты. Являются своеобразными «сторожами», противостоящими патогенным микроорганизмам. Норма их наличия составляет для влагалища не более десяти штук, а для шейки матки не более тридцати. Если содержание лейкоцитов более высокое, то можно предполагать развитие воспалительных патологий (вагинит либо цервицит). При этом обычно присутствует фагоцитоз – пожирание патологических агентов лейкоцитами.
- Слизь. Является секрецией шейки матки или влагалищных желез. Умеренная величина в анализе является нормальным явлением. Смешанная обильная слизь достаточно часто сообщает о дисбактериозе.
- Влагалищные палочки. Обычно этот элемент (грамположительные клетки) составляют нормальную микрофлору. Однако иногда наблюдается их недостаток, что значит наличие бактериального вагиноза.
Как видно, любое отклонение от нормального значения любого из показателей микрофлоры способно сообщить о развитии той либо иной патологии. Поэтому даже здоровым женщинам рекомендуется периодически сдавать мазок для исследования. Это позволяет выявлять патологии на самых ранних этапах их развития, когда лечение еще может оказаться достаточно несложным.
Полезные и вредные палочки
Расшифровка анализов помогает выявить, какие полезные и вредные палочки обитают в репродуктивной системе женщины.
При необходимости для определения каждого конкретного вида палочки могут делаться разные анализы. Но есть несколько палочек, которые в любом случае должны обнаруживаться.
Опасной считается мелкая палочковая флора во влагалище женщины. Она указывает на то, что в мазке могут находиться грамотрицательные вредные бактерии, которые сильно снижают иммунитет и не дают организму бороться даже с самыми незначительными заболеваниями.
Если мелкая флора палочковая обильная, это является тревожным сигналом. Врач должен обязательно назначить комплексное лечение специальными препаратами, которые смогут восстановить нормальную микрофлору во влагалище. Мелкопалочковая флора может также указывать на наличие таких заболеваний, как гарднереллез или дисбактериоз. Тогда лечение должно проходить по строгой схеме, которая разрабатывается лечащим врачом.
Наибольшая опасность состоит в том, что флора смешанная с преобладанием палочек мелких может со временем уничтожить полезную флору влагалища. И тогда довольно сложно будет избежать осложнений, которые могут привести даже к бесплодию.
Полезными считаются крупные грамположительные палочки Дедерлейна. Они должны в достаточном количестве находиться в мазке каждой здоровой женщины. Эти неподвижные бактерии создают во влагалище кислую среду, которая влияет на процесс оплодотворения.
Суть состоит в том, что в кислой среде погибают ослабленные сперматозоиды, в то время как активные и пригодные для образования зиготы клетки остаются и проходят дальше к матке. За счет этого риск рождения слабого и больного ребенка уменьшается в несколько раз.
Грамположительные палочки Дедерлайна отвечают за чистоту половых путей, а также могут уничтожать возбудителей трихомониаза и гонореи. Они выделяют вещество, сходное с перекисью водорода, которое является природным антисептиком в женской половой сфере.
Норма таких палочек в женском организме определяется врачом. Достаточное количество таких бактерий говорит о здоровье женщины. А вот в том случае, если палочек очень мало, это может указывать на патологические процессы в женском организме.
Для определения нормативного значения палочек Дедерлайна берется во внимание не только их количество, но еще и наличие лейкоцитов и лактобацилл.
- Так, если наблюдается от 10 до 30 лейкоцитов, во флоре есть и кокки, и палочки, но при этом палочек Дедерлайна мало, то флора считается смешанной. Она наблюдается у женщин, которые ведут регулярную половую жизнь. Смешанная флора может быть и у девочек подросткового возраста. В остальных случаях смешанная флора может свидетельствовать о воспалительном процессе во влагалище.
- Если в мазке наблюдаются только единичные лейкоциты, но при этом есть большое количество палочек Дедерлайна, то микрофлора во влагалище бедная и благоприятная. Она наблюдается у полностью здоровых женщин и девушек, организмы которых отлично справляются с болезнетворными бактериями.
- Если количество палочек Дедерлайна среднее, лейкоцитов около 10, а лактобацилл много, то это свидетельствует о средней флоре во влагалище. У некоторых женщин во влагалище может наблюдаться большое количество слизи, много кокков. Лактобациллы при этом отсутствуют, в мазке на флору может обнаруживаться полиморфная палочка.
Какие бывают и все ли они опасны
Цитологические исследования мазка из влагалища помогают установить, в каких количествах в выделениях обнаружены болезнетворные и полезные палочки.
По результатам анализов специалисты устанавливают, в каком состоянии репродуктивные органы, нуждается ли пациентка в лечении.
Об отклонениях в состоянии репродуктивной системы можно говорить при обнаружении в мазке мелкой палочковой флоры. Значит, во влагалище есть грамотрицательные вредные бактерии, снижающие иммунитет.
В результате таких изменений происходит ослабление иммунной системы и снижение ее сопротивляемости развитию разных заболеваний.
Обильная мелкая палочковая флора в мазке у женщины – это тревожный сигнал, указывающий на воспалительные процессы.
Пациентке, у которой обнаружены мелкие палочки, рекомендуют комплексное лечение препаратами для восстановления нормальной микрофлоры во влагалище.
Наличие мелкопалочковой флоры в мазке может также свидетельствовать о гарднереллезе и дисбактериозе, лечение которых проводит врач, назначая индивидуально строгую схему.
К категории полезных бактерий относятся грамположительные палочки Дедерлейна — их часть должна присутствовать в мазке. Основные функции этих элементов — создание кислой среды на слизистой влагалища, что необходимо для оплодотворения.
На грамположительные палочки также возложены чистота половых путей и уничтожение возбудителей гонореи и трихомониаза, за счет выделения своеобразного «антисептика».
К категории патогенных относится полиморфная палочка. Это небольшой организм, провоцирующий развитие серьезных болезненных изменений в микрофлоре.
Полиморфно-палочковая флора в мазке на цитологию — что это значит? Активное развитие полиморфно-палочковой флоры происходит на фоне уменьшения нормы грамположительных палочек Дедерлейна во влагалище. Патологические изменения сопровождаются резким ростом количества лейкоцитов.
Самые распространенные причины роста патогенной микрофлоры представлены:
- развивающейся молочницей, связанной с гормональной перестройкой, снижением иммунитета, что характерно для женского организма в период вынашивания ребенка;
- вагинальным дисбактериозом, который развивается на фоне нарушений работы органов ЖКТ, проблем с питанием.
Тревожные признаки
Неблагоприятная бациллярная флора в мазке у женщины может выявиться только в результате обследования. Но в некоторых случаях все же можно у себя заподозрить это. На гинекологическое заболевание может указывать несколько симптомов.
- Зуд и болевые ощущения в области половых органов, которые усиливаются в момент половой близости, могут свидетельствовать о вагинозе. Но в некоторых случаях эти симптомы проявляются по причине недостаточной интимной гигиены. Если же на самом деле имеется заболевание, то добавляются еще другие признаки.
- Из влагалища выделяется большое количество слизи с кисловатым запахом. Часто она напоминает прокисшее молоко. Цвет слизи может быть белым или желтоватым, но никак не прозрачным. Иногда все может сопровождаться незначительными болями внизу живота.
Все эти признаки в комплексе говорят о том, что у женщины бактериальный вагиноз (молочница). Если вовремя не начать лечение, которое на начальной стадии всегда быстрое и эффективное, то выделения могут приобрести творожистую консистенцию, количество их увеличится. Запах при этом станет более резким и неприятным и будет заметен даже находящимся рядом людям.
Итак, для точного определения палочки в мазке нужно обязательно сдать анализы. Только так можно будет вовремя обнаружить некоторые опасные заболевания и начать лечение. Ведь гинекологические болезни нередко дают о себе знать только тогда, когда уже находятся в запущенной стадии. Своевременное исследование флоры на палочку является хорошей профилактикой женских заболеваний.
Полиморфно палочковая флора
В группу полиморфно палочковой флоры входят бациллы, имеющие разный размер и форму палочек, отличающихся от полезных образцов толщиной. Такие микробы гораздо мельче и получили название грамм-отрицательных.
Это провоцирует возникновение заболеваний, от дисбактериоза до воспалительных и инфекционных процессов.
Симптомы
Обнаруженная в мазке полиморфно палочковая флора в большом количестве сопровождается неприятными ощущениями в шейке матки и цервикальном канале. Сопровождается следующими симптомами:
- наблюдается большое количество выделений светлого, серого или зеленоватого цвета, иногда даже гнойных;
- проявляется неприятный кисловатый запах;
- беспокоит зуд и дискомфорт;
- болезненность при половом контакте;
- неприятное ощущение при испражнении;
- боль внизу живота и в промежности.
Ошибки самолечения
Очень часто женщины принимают вышеперечисленные признаки за молочницу и начинают лечиться самостоятельно, загоняя ситуацию в тупик. Этого делать нельзя категорически. При появлении малейших отклонений в работе половой системы, надо посетить женскую консультацию, чтобы установить причину и грамотно от нее избавиться.
Представители полиморфно палочковой флоры могут оседать на стенках влагалища в виде белого налета, который обнаруживает гинеколог при осмотре. Точно определить, что это за бацилла трудно, поэтому, как правило, назначается бактериоскопия. Исследуемый материал после забора помещается в специальную среду, где микробы прорастают.















