Причины и симптомы перелома первого ребра
Наиболее распространённые причины переломов ребер, включая перелом первого, — это дорожно-транспортные происшествия, занятия спортом и падения. У пожилых людей с ослабленной костной тканью сильный кашель также может привести к перелому, но это случается реже.
Основной признак перелома первого ребра — интенсивная боль в области груди, усиливающаяся при глубоких вдохах и кашле. Это может привести к поверхностному дыханию, что увеличивает риск пневмонии.
Если человек испытывает резкую боль в груди в течение 10-20 минут без перерыва, необходимо срочно вызвать скорую помощь. Этот симптом может указывать не только на травму ребра, но и на сердечный приступ. Дополнительные признаки перелома ребра включают появление синяка в области повреждения. При сильном кровотечении пострадавший может начать харкать кровь.
Перелом первого ребра является серьезной травмой, которая требует внимательного подхода со стороны медицинских специалистов. Врачи отмечают, что такая травма часто сопровождается повреждением окружающих мягких тканей и может привести к осложнениям, включая пневмоторакс или повреждение сосудов. Важно, чтобы пациенты с подозрением на перелом первого ребра проходили тщательное обследование, включая рентгенографию или компьютерную томографию.
Специалисты подчеркивают, что лечение может варьироваться в зависимости от степени повреждения. В большинстве случаев рекомендуется консервативная терапия, включающая обезболивание и ограничение физической активности. Однако в случаях сложных переломов может потребоваться хирургическое вмешательство. Врачи также акцентируют внимание на важности реабилитации, которая помогает восстановить функцию грудной клетки и предотвратить долгосрочные последствия.

Что делать при переломе первого ребра?
При оказании неотложной помощи при переломе первого ребра важно быстро и точно наложить фиксирующую повязку на грудную клетку пострадавшего. Основная задача первой помощи заключается в полном обездвиживании поврежденной кости. Наложение эластичной повязки поможет зафиксировать ребро, облегчит дыхание и уменьшит болевые ощущения. Если эластичных бинтов нет, повязку можно изготовить из любой доступной ткани.
Не стоит долго разговаривать с пострадавшим, так как это может вызвать у него сильную боль. Важно, чтобы человек находился в положении «сидя» во время оказания первой помощи и до приезда врачей. Это существенно снизит риск получения дополнительных травм внутренних органов. Перелом первого ребра без осложнений, как правило, не требует госпитализации.
При первой помощи необходимо не только наложить повязку, но и приложить что-то холодное к поврежденному участку. Также можно предложить пострадавшему обезболивающее, например, ибупрофен. В любом случае следует вызвать скорую помощь или самостоятельно доставить пострадавшего в травмпункт для установления точного диагноза и проверки на наличие осложнений или повреждений внутренних органов.
| Симптом | Возможная причина | Лечение |
|---|---|---|
| Боль в области ключицы и плеча | Прямая травма (например, удар, падение) | Иммобилизация, обезболивание, хирургическое вмешательство (в зависимости от тяжести) |
| Ограничение подвижности руки | Повреждение нервов или мышц | Физиотерапия, обезболивание |
| Одышка | Повреждение плевры или легких | Дыхательная поддержка, хирургическое вмешательство (в зависимости от тяжести) |
| Кровотечение | Повреждение сосудов | Переливание крови, хирургическое вмешательство |
| Деформация грудной клетки | Смещение фрагментов ребра | Репозиция, хирургическое вмешательство |
| Поверхностная гематома | Подкожное кровоизлияние | Наблюдение, холодные компрессы |
| Боль при глубоком вдохе | Раздражение плевры | Обезболивание, дыхательная гимнастика |
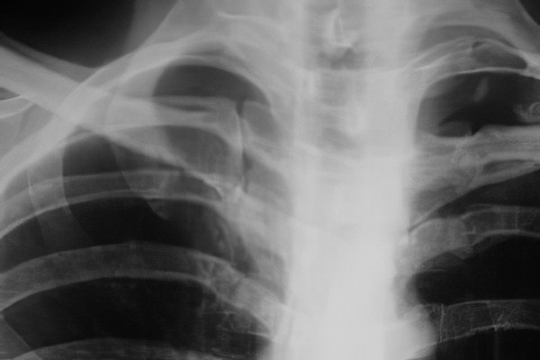
Диагностика и лечение перелома первого ребра
В современной медицине для диагностики переломов ребер используются рентгенография, магнитно-резонансная томография (МРТ) и компьютерная томография (КТ). Сначала выполняется рентгеновский снимок, который часто достаточно для выявления очевидных и простых переломов. Если рентген не дает четкой картины или не позволяет определить степень и местоположение повреждения, рекомендуется использовать МРТ и КТ. Эти методы помогают точно установить характер травм как ребер, так и окружающих мягких тканей и сосудов.
При лечении обычных переломов первого ребра не всегда требуется накладывать давящие повязки. В некоторых случаях это может привести к осложнениям, таким как пневмония или плеврит. Если необходимо обеспечить неподвижность места перелома, современные специалисты предпочитают использовать эластичную повязку, которая напоминает пациенту о необходимости дышать «животом».
Когда пациент поступает в травмпункт и врач подтверждает наличие перелома ребра, обычно выполняется одноразовая новокаиновая блокада в области травмы. Это часто становится завершающим этапом лечения, если состояние пострадавшего удовлетворительное и отсутствуют сопутствующие травмы. Затем проводится симптоматическая терапия, направленная на быстрое устранение неприятных ощущений, с акцентом на эффективное обезболивание.
Перелом первого ребра — это серьезная травма, о которой часто говорят в медицинских кругах и среди пациентов. Многие отмечают, что такая травма может быть не только болезненной, но и опасной из-за близости к жизненно важным органам, таким как легкие и сосуды. Люди, пережившие этот опыт, делятся своими ощущениями: сильная боль в области груди, затрудненное дыхание и необходимость в длительном восстановлении. Некоторые отмечают, что даже после заживления ребра, дискомфорт может сохраняться, особенно при физической активности. Важно также упомянуть, что лечение перелома первого ребра требует внимательного подхода, и многие пациенты подчеркивают значимость консультаций с врачами и соблюдения рекомендаций. В целом, этот опыт оставляет у людей глубокий след, заставляя их более внимательно относиться к своему здоровью и безопасности.

Восстановление после перелома первого ребра
Одним из ключевых факторов успешного лечения и быстрого восстановления после перелома первого ребра является соблюдение покоя и исключение физических нагрузок. Пострадавшему рекомендуется находиться в постели в сидячем положении, что способствует более быстрому сращению костей. Врач может назначить физиотерапевтические процедуры, отхаркивающие средства и лечебную дыхательную гимнастику для предотвращения застойных процессов в органах грудной клетки. При отсутствии осложнений лечение и реабилитация обычно занимают не более 30 дней.
Вопрос-ответ

Можно ли двигаться с переломом ребра?
В целом лечение перелома ребер в домашних условиях не предполагает постоянного постельного режима. Больному необходимо меньше двигаться, больше сидеть, выполнять легкую дыхательную гимнастику. Важно исключить физические нагрузки и резкие движения. При переломе ребер больной должен точно выполнять врачебные рекомендации.
Сколько заживает перелом ребер?
Сроки заживления. Так, неосложненные травмы заживают в среднем за 3-4 недели.
Как долго срастаются переломы ребра?
Перелом ребра срастается около 3-х недель. Но эти сроки достаточно условны, так как сращение кости зависит от множества условий.
Советы
СОВЕТ №1
Обратитесь к врачу сразу после травмы. Перелом первого ребра может быть не так очевиден, как другие переломы, но он может привести к серьезным осложнениям, таким как повреждение легких или сосудов. Ранняя диагностика и лечение помогут избежать осложнений.
СОВЕТ №2
Следуйте рекомендациям по реабилитации. После получения медицинской помощи важно соблюдать все указания врача, включая физическую терапию и ограничения в активности. Это поможет ускорить процесс восстановления и предотвратить повторные травмы.
СОВЕТ №3
Используйте поддерживающие устройства. В некоторых случаях может потребоваться использование бандажа или других поддерживающих средств для стабилизации грудной клетки. Это поможет уменьшить боль и обеспечить правильное заживление.
СОВЕТ №4
Обратите внимание на свое дыхание. Глубокое и регулярное дыхание важно для предотвращения осложнений, таких как пневмония. Попробуйте выполнять дыхательные упражнения, чтобы поддерживать легкие в хорошем состоянии во время восстановления.

