Что такое саркома головного мозга?
К сожалению, саркома головного мозга может поразить людей всех возрастов. По статистике, доля случаев саркомы мозга среди всех онкологических заболеваний составляет от 0,6% до 2%.
Опасность этого недуга заключается в том, что его симптомы проявляются на поздних стадиях. Обычно пациенты обращаются за медицинской помощью из-за резкого ухудшения самочувствия, сильных головных болей и нарастающего дискомфорта. Чаще всего это происходит на 2-3 стадии заболевания.
Саркома головного мозга является редким, но агрессивным видом опухоли, и мнение врачей по этому поводу однозначно: ранняя диагностика и комплексный подход к лечению имеют решающее значение для повышения шансов на выживание. Специалисты подчеркивают, что симптомы могут быть не специфичными, что затрудняет своевременное обращение к врачу. Неврологи и онкологи рекомендуют обращать внимание на изменения в поведении, головные боли и неврологические нарушения. Лечение обычно включает хирургическое вмешательство, химиотерапию и радиотерапию, однако выбор метода зависит от стадии заболевания и общего состояния пациента. Врачи также акцентируют внимание на важности поддержки пациентов и их семей, поскольку эмоциональное состояние играет значительную роль в процессе выздоровления.

Виды саркомы головного мозга
Онкологическое образование, возникающее в мозговой ткани и её оболочках, называется саркомой. Заболевание начинается с формирования узла в головном мозге.
К основным признакам саркомы головного мозга относятся:
- нечеткость границ между злокачественными и здоровыми участками ткани;
- агрессивное воздействие на соседние клетки;
- высокая скорость поражения близлежащих структур.
Саркому делят на два основных типа в зависимости от локализации:
- внутримозговая форма, которая не имеет четких границ и характеризуется быстрым инвазивным ростом, затрагивающим соседние ткани;
- внемозговая форма, обладающая более четкими границами, но способная прорастать в мозговую ткань. Она также затрагивает соседние структуры, отличается высокой агрессивностью, частыми рецидивами и метастазированием. Выживаемость при этой форме составляет всего 30-35% в течение двух лет. Важно не путать саркому с менингиомой, доброкачественным образованием, чтобы не упустить время для эффективного лечения.
| Тип саркомы головного мозга | Характерные особенности | Прогноз и лечение |
|---|---|---|
| Менингиосаркома | Агрессивный рост, часто метастазирует, может возникать из менингеальных оболочек. | Хирургическое удаление, лучевая терапия, химиотерапия. Прогноз зависит от стадии и степени злокачественности. |
| Ангиосаркома | Редкая, высокозлокачественная опухоль сосудов головного мозга. Быстрый рост, склонность к кровотечениям. | Хирургическое удаление (если возможно), лучевая терапия, химиотерапия. Прогноз, как правило, неблагоприятный. |
| Фибросаркома | Относительно редкая, может быть низко- или высокозлокачественной. Рост может быть медленным или быстрым. | Хирургическое удаление, лучевая терапия. Прогноз зависит от степени злокачественности и стадии. |
| Рабдоидная саркома | Очень агрессивная, встречается преимущественно у детей. Быстрый рост, раннее метастазирование. | Хирургическое удаление (если возможно), химиотерапия, лучевая терапия. Прогноз, как правило, неблагоприятный. |
Причины и симптомы саркомы головного мозга
Для раннего выявления этого опасного заболевания важно обратить внимание на частые необъяснимые головные боли. Они могут предшествовать более серьезным симптомам, таким как:
- нарушение координации движений, головокружение, рвота;
- эпилептические припадки;
- психические расстройства и изменения в поведении;
- кратковременные нарушения зрения и возможная полная атрофия зрительного нерва на фоне повышенного внутричерепного давления;
- частые обмороки;
- повышенные уровни внутричерепного давления;
- частичный и полный паралич.
Расположение опухоли определяет специфические симптомы. Например, если саркома локализуется в затылочной области мозга, страдает зрение пациента. При поражении височной доли возникают проблемы со слухом. Если затрагиваются теменная или лобная части мозга, это может проявляться в снижении двигательной активности, тактильной чувствительности и ухудшении интеллекта. В случае вовлечения гипофиза в патологический процесс может произойти изменение гормонального баланса в организме.
На сегодняшний день ученые в области онкологии не пришли к единому мнению о причинах возникновения саркомы головного мозга. Существуют различные гипотезы, включая черепно-мозговые травмы, неблагоприятные экологические условия и неправильный образ жизни с влиянием вредных привычек.
Саркома головного мозга — это редкое, но серьезное заболевание, которое вызывает много обсуждений среди пациентов и медицинских специалистов. Люди, столкнувшиеся с этой болезнью, часто делятся своими переживаниями и страхами. Многие отмечают, что диагноз становится шоком, и первое время они испытывают растерянность. Важно, что поддержка близких и общение с другими пациентами помогают справиться с эмоциональной нагрузкой.
Медицинские эксперты подчеркивают, что ранняя диагностика и индивидуальный подход к лечению могут значительно улучшить прогноз. Некоторые пациенты рассказывают о своем опыте лечения, делясь как положительными, так и отрицательными моментами. Важно отметить, что информация о заболевании и доступ к современным методам терапии играют ключевую роль в борьбе с недугом. Обсуждения на форумах и в социальных сетях становятся важным источником поддержки и обмена опытом для многих, кто сталкивается с этой болезнью.

Диагностика и классификация саркомы мозга
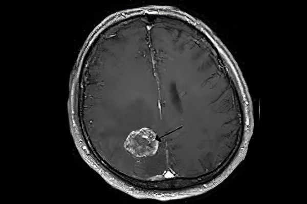
Если у вас есть один или несколько симптомов, указывающих на возможное онкологическое заболевание, важно немедленно обратиться к врачу-неврологу для обследования. Рекомендуется пройти компьютерную томографию, ультразвуковое исследование и сцинтиграфию. Наиболее информативным методом диагностики является магнитно-резонансная томография. Она позволяет определить местоположение опухоли, отслеживать динамику онкологического процесса и оценить объем пораженной области. Все перечисленные методы относятся к неинвазивным диагностическим подходам.
К инвазивным методам диагностики относятся измерение давления цереброспинальной жидкости (ликвора) и его цитологическое исследование. Также возможно проведение рентгеноконтрастной ангиографии и иммунохимического анализа. Для окончательной постановки диагноза выполняется пункционная биопсия, которая является наиболее надежным методом диагностики саркомы головного мозга.
Патологические изменения в мозге при саркоме могут быть трех типов в зависимости от структур, из которых образуются опухоли:
- Менингосаркома – опухоль, формирующаяся в оболочках мозга и содержащая аномально измененные сосуды, которые быстро прорастают в соседние ткани;
- Ангиоретикулосаркома – опухоль, развивающаяся из стенок сосудов мозга. Она характеризуется большим количеством капилляров, что способствует быстрому метастазированию;
- Фибросаркома – новообразование, возникающее из фиброзных тканей. Хотя этот тип опухоли прогрессирует медленнее, чем менингосаркома и ангиоретикулосаркома, он сопровождается постоянными сильными головными болями и нарастающей неврологической симптоматикой.
Современные методы лечения саркомы мозга
Своевременное выявление опухоли головного мозга играет ключевую роль в успешности лечения.
На первом этапе терапии проводится удаление новообразования, если нет противопоказаний. К ним относятся слабое состояние пациента, пожилой возраст и сложное расположение опухоли, затрудняющее операцию.
Хотя хирургическое вмешательство при саркоме головного мозга считается одним из наиболее эффективных методов, его применение не всегда возможно из-за значительных размеров опухоли. Удаление крупного новообразования может повредить критически важные участки мозга, что приведет к инвалидности или даже летальному исходу.
Паллиативное лечение показано, когда опухоль затрагивает области мозга, отвечающие за жизненно важные функции. Ранее такие случаи воспринимались как приговор, но современные технологии, такие как «гамма-нож» и «кибер-нож», позволяют спасать жизни пациентов с саркомой мозга.
Эти методы являются неинвазивными, что исключает необходимость в хирургическом вмешательстве. Хотя они основаны на радиохирургическом подходе, ионизирующие лучи направляются исключительно на опухолевые ткани, не повреждая здоровые клетки мозга.
Современные подходы к лечению саркомы головного мозга значительно увеличивают шансы на выживание пациентов и позволяют им вести полноценную жизнь.

Вопрос-ответ
Что такое саркома головного мозга?
Саркома головного мозга — это группа злокачественных опухолей, развивающихся из клеток соединительной ткани. Встречаемость сарком головного мозга — до 2%, то есть новообразования диагностируются редко. Заболеванию подвержены представители обоих полов, независимо от возраста.
Какие первые признаки опухоли в голове?
Первые признаки опухоли в голове могут включать головные боли, которые становятся более интенсивными и частыми, изменения в зрении (размытость, двойное зрение), нарушения координации и равновесия, проблемы с памятью или концентрацией, а также изменения в поведении и настроении. Также могут наблюдаться тошнота и рвота, особенно по утрам. Если возникают такие симптомы, важно обратиться к врачу для диагностики.
Можно ли полностью вылечить опухоль головного мозга?
На первой стадии заболевания гарантия полного избавления от опухоли практически стопроцентна. На второй – сохраняются немалые шансы на благоприятный исход. При третьей стадии целью лечения часто становится не избавление от злокачественного образования, а облегчение состояния и продление жизни пациента.
Можно ли вылечить глиому головного мозга?
Это самая распространенная опухоль головного мозга. В большинстве случаев она обладает доброкачественным характером, поддается лечению и тогда имеет благоприятный прогноз.
Советы
СОВЕТ №1
Регулярно проходите медицинские обследования. Саркома головного мозга может проявляться различными симптомами, поэтому важно своевременно обращаться к врачу при появлении головных болей, изменений в зрении или других настораживающих признаках.
СОВЕТ №2
Обратите внимание на свое питание. Здоровая диета, богатая антиоксидантами, может помочь поддерживать общее состояние здоровья и укрепить иммунную систему, что важно для борьбы с любыми заболеваниями, включая рак.
СОВЕТ №3
Не стесняйтесь искать второе мнение. Если вам поставили диагноз саркомы головного мозга, важно обсудить его с несколькими специалистами, чтобы получить полное представление о возможных вариантах лечения и подходах.
СОВЕТ №4
Поддерживайте связь с близкими и ищите психологическую помощь. Диагноз рака может быть эмоционально тяжелым, и поддержка со стороны семьи, друзей или профессионалов может значительно облегчить этот процесс.


