Что такое рак лимфоузлов?
Рак лимфоузлов — это онкологическое заболевание, при котором злокачественная опухоль образуется в лимфатических узлах и затрагивает лимфатическую систему.
Врачи подчеркивают, что рак лимфоузлов, или лимфома, может проявляться различными симптомами, включая увеличение лимфоузлов, ночные поты, необъяснимую потерю веса и усталость. На ранних стадиях заболевание может протекать бессимптомно, что затрудняет его диагностику. По мере прогрессирования болезни пациенты могут испытывать дискомфорт и боль в области пораженных узлов. Врачи акцентируют внимание на важности раннего выявления и диагностики, так как это значительно увеличивает шансы на успешное лечение. Лечение может включать химиотерапию, радиотерапию и, в некоторых случаях, трансплантацию стволовых клеток. Специалисты рекомендуют регулярные медицинские осмотры и обращение к врачу при появлении настораживающих симптомов, чтобы своевременно начать лечение и повысить вероятность благоприятного исхода.

Виды рака лимфоузлов
Важно понимать, что термин «рак лимфатических узлов» охватывает более 30 различных видов опухолей.
Среди них выделяют несколько основных категорий:
- Ходжкинская лимфома — составляет около 25-35% всех лимфом. Этот вид определяется при обследовании наличием крупных клеток Ридш-Тернберга в лимфатических узлах. Также известна как лимфогранулематоз.
- Неходжкинские лимфомы — общее название для всех остальных злокачественных лимфом, которые составляют 65-75%. Диагноз устанавливается только после гистологического анализа образцов клеток и тканей.
Наличие злокачественных клеток в лимфатических узлах часто является осложнением различных онкологических заболеваний. Основной путь их распространения — лимфогенное или региональное поражение, после чего затрагиваются более удалённые узлы. Это происходит из-за распространения раковых клеток по организму. В лимфатических узлах также может образовываться опухоль специфического характера.
| Симптом | Стадия | Лечение |
|---|---|---|
| Увеличенные лимфатические узлы (безболезненные или болезненные) | I (ранняя) | Наблюдение, лучевая терапия, химиотерапия |
| Утомляемость | II (локально-распространенная) | Химиотерапия, лучевая терапия, возможно, операция |
| Потеря веса | III (распространенная) | Химиотерапия, лучевая терапия, возможно, трансплантация стволовых клеток |
| Ночная потливость | IV (метастатическая) | Химиотерапия, таргетная терапия, иммунотерапия, поддерживающая терапия |
| Лихорадка | ||
| Кожный зуд | ||
| Одышка | ||
| Боль в костях | ||
| Повышенная температура тела |
Симптомы рака лимфоузлов
Необходимо различать симптомы лимфогранулематоза и неходжкинской лимфомы. В первом случае проявления заболевания разнообразны и включают:
- Значительное увеличение лимфатических узлов в области шеи и над ключицей, реже — в паху или подмышках. На начальных стадиях лимфоузлы подвижны и не болезненны, но со временем могут сливаться, становясь более плотными, а кожа над ними может менять цвет. На этом этапе лихорадка и симптомы интоксикации отсутствуют.
- Увеличение узлов средостения. Это проявляется специфическим «сухим» кашлем, одышкой и набуханием вен в области шеи. Появляются болевые ощущения за грудиной, а на ней могут быть заметны венозные сеточки. Это свидетельствует о том, что увеличенные лимфатические узлы в средостении начинают давить на верхнюю полую вену.
- Крайне редко рак начинается с увеличения лимфатических узлов, расположенных рядом с аортой. В этом случае пациента могут беспокоить боли в пояснице, которые чаще всего проявляются ночью.
У некоторых пациентов рак может развиваться в острой форме. Специфические признаки такого течения заболевания включают:
- Повышенную потливость, резкое повышение температуры тела и значительное снижение индекса массы тела.
- Позже лимфоузлы становятся значительно больше. Это начало болезни имеет крайне неблагоприятный прогноз.
Со временем появляются более характерные и яркие клинические проявления. У пациентов отмечается выраженная слабость, лихорадка и зуд на коже. Явные поражения наблюдаются со стороны:
- Кожного покрова: на спине и конечностях образуются круглые очаги тёмного или красного цвета размером от двух до трёх миллиметров. Это первые признаки распространения патологического процесса от поражённых лимфатических узлов.
- Лимфатической системы: опухоль чаще всего затрагивает определённые группы лимфоузлов. Могут быть поражены лимфатические узлы в средостении и шейной области, а также мезентеральные узлы, которые располагаются в брюшной полости и поддерживают кишечник. Также могут быть затронуты паракавальные лимфоузлы, находящиеся за брюшной полостью рядом с нижней полой веной.
- Пищеварительных органов: характерны боли в эпигастрии и области пупка, частая отрыжка и диарея.
- Почек: в поясничной области возникают сильные боли.
- Дыхательных органов: наблюдаются кашель, боли в груди и одышка.
- Нервной системы: частые мигрени, головокружение, значительная болезненность в ногах, а также нарушения чувствительности и двигательной активности в зависимости от характера и скорости прогрессирования процесса.
- Костных тканей: чаще всего возникают боли в области грудины и поясничного отдела позвоночника.
- Селезёнки: наблюдается увеличение этого органа.
Рак лимфоузлов, или лимфома, вызывает множество вопросов и опасений у людей. Симптомы заболевания могут варьироваться, но часто включают увеличение лимфоузлов, необъяснимую потерю веса, ночные поты и усталость. На ранних стадиях болезнь может протекать бессимптомно, что делает регулярные медицинские осмотры особенно важными. Люди делятся опытом, как важно не игнорировать тревожные сигналы организма и обращаться к врачу при первых подозрениях. Лечение лимфомы зависит от стадии заболевания и может включать химиотерапию, радиотерапию или трансплантацию стволовых клеток. Многие отмечают, что поддержка близких и участие в группах взаимопомощи играют ключевую роль в процессе выздоровления. Важно помнить, что ранняя диагностика и правильный подход к лечению значительно повышают шансы на успешное выздоровление.

Симптомы неходжкинских лимфом
Первоначальные признаки заболевания включают:
- увеличение периферических лимфатических узлов;
- сдавление соседних сосудов и органов;
- лимфатические узлы, которые не вызывают болевых ощущений, остаются плотными и не сливаются с окружающими тканями и кожей.
Также может развиться «Синдром верхней полой вены», проявляющийся:
- изменением размеров вен в области шеи;
- кишечной непроходимостью;
- желтухой;
- портальной гипертензией (повышенным давлением).
Очаг первичного заболевания может находиться не только в лимфатических узлах, но и в других тканях и органах.
Причины рака лимфоузлов
Существует множество факторов, повышающих риск развития рака лимфатических узлов:
- Возраст. Выделяют два критических периода, когда вероятность лимфомы значительно возрастает: первый — в возрасте от 15 до 30 лет, второй — с 50 лет и старше.
- Расовая принадлежность. Исследования показывают, что представители европеоидной расы чаще страдают от рака лимфатических узлов, особенно люди со светлой кожей.
- Заболевания и нарушения иммунной системы.
- Первая беременность после 35 лет.
- Генетическая предрасположенность. Наличие близких родственников с диагнозом рак лимфатических узлов значительно увеличивает риск.
- Инфекционные болезни. Наибольшую опасность представляют ВИЧ, вирус Эпштейна-Барра и некоторые специфические бактерии.
- Воздействие канцерогенных веществ. Вероятность также возрастает под влиянием канцерогенов и интенсивного излучения.

Особенности метастаз при раке лимфоузлов
Даже начальная стадия метастазирования при раке лимфатических узлов может быть заметна невооружённым глазом. Это проявляется в увеличении лимфоузлов, которое можно определить при пальпации. Чаще всего такие узлы находятся в области шеи, над ключицами, в подмышечных впадинах и в паху. В нормальном состоянии лимфоузлы не должны вызывать болезненных ощущений и быть прощупываемыми.
К другим признакам злокачественной опухоли относятся значительная потеря веса, постоянная усталость и быстрая утомляемость. В ходе диагностических или лабораторных исследований может быть выявлена анемия второй или третьей стадии. Наличие множества злокачественных образований в лимфатических узлах указывает на быстрое прогрессирование рака.
При обнаружении увеличенных лимфатических узлов важно незамедлительно обратиться к врачу для получения квалифицированной медицинской помощи. Самостоятельное лечение в этом случае строго не рекомендуется.
Диагностика рака лимфоузлов
При наличии симптомов или факторов риска, а также для улучшения качества жизни важно пройти обследования. Эти исследования помогут развеять сомнения или установить стадию рака лимфатических узлов.
Первым шагом является опрос, который служит основой для любого обследования. Все жалобы, яркие проявления, ранее перенесённые заболевания и текущие недуги, а также генетическая предрасположенность предоставляют специалисту необходимую информацию для эффективного лечения.
Следующий этап — общий осмотр, который включает пальпацию основных лимфоузлов. Этот метод прост, но в то же время очень информативен.
Также необходимо провести ультразвуковую диагностику, которая является оптимальным способом исследования структуры узлов, вызывающих подозрение у врача. В некоторых случаях может потребоваться МРТ или КТ. Эти методы более точные, но и более дорогие, что делает их менее доступными.
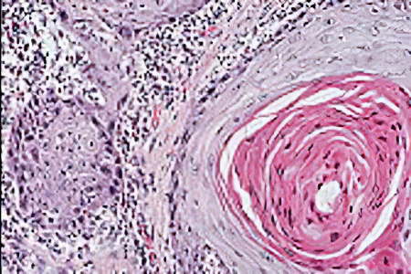
Ключевым методом диагностики является биопсия. Она играет важную роль в лечении онкологических заболеваний. С помощью специальной тонкой иглы врач получает небольшой фрагмент злокачественного образования для анализа клеточной структуры. Это позволяет определить тип опухоли, что влияет на прогноз и метод лечения рака лимфатических узлов.
Стадии рака лимфоузлов
В зависимости от степени распространения заболевания выделяют четыре стадии, учитывающие уровень поражения лимфатических узлов и сопутствующих органов.
- На первой стадии рака лимфатических узлов поражаются узлы в одной области (например, в шейной зоне) или один орган, не входящий в лимфатическую систему.
- На второй стадии, или раке второй степени, поражаются лимфатические узлы в двух или более областях с одной стороны диафрагмы, либо один орган, находящийся вне лимфатической системы.
- Третья стадия, или рак лимфатических узлов третьей степени, характеризуется обширным поражением диафрагмы. Это может сопровождаться поражением одного органа вне лимфатической системы или целого региона, а также селезёнки. В некоторых случаях могут наблюдаться все эти симптомы одновременно.
4 стадия рака лимфоузлов
Четвёртый этап заболевания требует особого внимания. На этой стадии поражаются одна или несколько тканей, находящихся вне лимфатической системы или органов. Лимфатические узлы могут быть вовлечены в процесс или оставаться непоражёнными, что зависит от индивидуальных особенностей пациента.
Лимфома на четвёртой стадии указывает на значительное прогрессирование болезни. Для этой стадии характерны:
- постоянное увеличение поражения костных тканей, лёгких, печени, поджелудочной железы, а также возможное вовлечение мозга;
- быстро развивающиеся злокачественные образования;
- неоперабельный рак костных тканей;
- крайне опасные формы рака, такие как рак лёгких, поджелудочной железы, миелома, плоскоклеточный рак, рак кожи и другие виды онкологии.
Таким образом, шансы на выздоровление на четвёртой и третьей стадиях значительно ниже, чем на первом и втором этапах.
Лечение рака лимфоузлов
Согласно последним исследованиям, лечение данного заболевания демонстрирует высокую эффективность. У 70-83% пациентов наблюдается пятилетняя ремиссия, а уровень рецидивов составляет 30-35%. Эти показатели зависят от своевременности начала лечения, применяемых методов и возраста пациента.
Прогрессирование рака лимфатических узлов зависит от множества факторов: расположения опухоли, её размеров, стадии заболевания, наличия сопутствующих болезней, а также от метастазов и их локализации в других органах. Врачи чаще всего комбинируют традиционные методы лечения, включая один или несколько курсов химиотерапии. Химиотерапия может применяться как самостоятельно, так и в сочетании с лучевой терапией, а также до или после хирургического вмешательства.
- Химиотерапия — универсальный метод борьбы с заболеванием, позволяющий замедлить рост опухоли, уменьшить её размеры и уничтожить определённые раковые клетки.
- Лучевая терапия — ещё один распространённый метод. Курс лечения может длиться от нескольких недель до месяца и чаще всего назначается после удаления лимфатических узлов.
- Хирургическое вмешательство считается одним из самых эффективных способов. Оно включает полное удаление поражённых лимфатических узлов, а также нескольких региональных узлов для снижения риска рецидива.
- Современные методы лечения, такие как трансплантация костного мозга от пациента или донора, также показывают оптимистичные результаты, особенно при раннем обращении к врачу. Важно следить за изменениями в своём состоянии и регулярно проходить диагностические обследования.
Это поможет выявить злокачественное образование на ранней стадии, когда его лечение возможно без значительного ущерба для здоровья.
Вопрос-ответ
Какие симптомы у рака лимфатической системы?
Симптомы рака лимфатической системы, или лимфомы, могут включать увеличение лимфатических узлов (особенно на шее, подмышках или в паху), необъяснимую потерю веса, ночные поты, лихорадку, усталость, зуд кожи и частые инфекции. Важно отметить, что наличие этих симптомов не обязательно указывает на рак, и для точной диагностики следует обратиться к врачу.
Каковы стадии рака лимфатических узлов?
Стадии рака лимфатических узлов, или лимфомы, обычно делятся на четыре основные: стадия I — рак ограничен одним лимфатическим узлом или областью; стадия II — рак затрагивает два или более лимфатических узлов с одной стороны диафрагмы; стадия III — рак охватывает лимфатические узлы с обеих сторон диафрагмы; стадия IV — рак распространился на другие органы или ткани, такие как печень или легкие. Каждая стадия помогает определить подходящее лечение и прогноз.
Что чувствует человек с раком лимфоузлов?
Симптомы и признаки рака лимфоузлов: сильное увеличение лимфатических узлов над ключицей и в области шеи, увеличение узлов средостения со специфическим кашлем, одышкой и набуханием вен в области шеи, болезненные ощущения в области поясницы, чаще всего проявляющиеся в ночное время.
Сколько живут с раком лимфатической системы?
Индолентные формы рака лимфоузлов протекают медленно и относительно благоприятно. При отсутствии лечения средняя продолжительность жизни составляет 7-10 лет.
Советы
СОВЕТ №1
Регулярно проходите медицинские осмотры и обследования. Раннее выявление рака лимфоузлов значительно увеличивает шансы на успешное лечение. Обсуждайте с врачом любые изменения в вашем здоровье, особенно если вы замечаете увеличение лимфоузлов или другие подозрительные симптомы.
СОВЕТ №2
Обратите внимание на свое питание и образ жизни. Здоровая диета, богатая фруктами, овощами и цельными злаками, а также регулярные физические нагрузки могут помочь укрепить иммунную систему и снизить риск развития рака. Избегайте курения и чрезмерного употребления алкоголя.
СОВЕТ №3
Не игнорируйте эмоциональную поддержку. Диагноз рака может быть тяжелым испытанием как для пациента, так и для его близких. Рассмотрите возможность обращения к психологу или участия в группах поддержки, чтобы обсудить свои чувства и получить помощь в трудные времена.
СОВЕТ №4
Изучите доступные варианты лечения и не стесняйтесь задавать вопросы своему врачу. Понимание различных методов лечения, таких как химиотерапия, радиотерапия или иммунотерапия, поможет вам принимать более обоснованные решения о своем здоровье и лечении.





