Что такое пародонт?
Пародонтит — серьезное инфекционное заболевание тканей пародонта, проявляющееся кровоточивостью десен и образованием абсцессов. Инфекция проникает в корневую систему зубов, что приводит к увеличению промежутков между ними и, в конечном итоге, к их выпадению. Пародонтит не является отдельным заболеванием; он чаще всего развивается на фоне нарушений в эндокринной системе. Поэтому для его лечения необходим комплексный подход.
Тщательное и настойчивое лечение обязательно даст положительные результаты. После восстановления гормонального фона и лечения хронических тонзиллитов, гайморитов и других заболеваний обычно наблюдается ремиссия пародонтита. В дополнение к терапевтическим методам применяются стоматологические процедуры, такие как массаж десен.
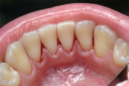
Врачи отмечают, что пародонтит — это серьезное заболевание, которое развивается в несколько стадий. На первой стадии, известной как гингивит, пациенты могут испытывать покраснение и отечность десен, а также легкое кровотечение при чистке зубов. Если не принять меры, заболевание прогрессирует, и на второй стадии появляются более выраженные симптомы: десны начинают отступать, образуются карманы между зубами и деснами, что может привести к потере зубов. На третьей стадии пародонтит становится хроническим, и пациенты сталкиваются с сильной болью, неприятным запахом изо рта и значительной подвижностью зубов. Врачи подчеркивают важность ранней диагностики и регулярных профилактических осмотров для предотвращения серьезных последствий.

Откуда берётся пародонтит и как его распознать?
Основной причиной пародонтита является бактериальный налёт, который постоянно образуется на зубах. Если его не удалять, он затвердевает и превращается в зубной камень. Это приводит к разрушению тканей, удерживающих зубы, и образованию промежутков между зубами и деснами, где накапливается налёт. Корень зуба под воздействием разрушительных процессов кариеса начинает смещаться. Чем запущеннее заболевание, тем выше риск потери зубов. Поэтому не стоит откладывать лечение, даже если вы не любите посещать стоматолога: существуют безболезненные и эффективные методы терапии.
Если зубной налёт поражает только слизистую оболочку, это состояние называется гингивитом — начальной стадией пародонтального заболевания. Более серьёзные формы классифицируются как зубной пародонтит.
Пародонтит развивается быстрее у людей с такими проблемами, как:
- Аномалии в развитии зубочелюстной системы.
- Ослабленный иммунитет.
- Явный дефицит витаминов и микроэлементов.
- Наличие зубного камня.
- Чрезмерная сухость во рту.
| Стадия пародонтита | Симптомы | Рентгенологические признаки |
|---|---|---|
| Гингивит (предшествующая стадия) | Покраснение и отечность десен, кровоточивость при чистке зубов, неприятный запах изо рта, незначительное воспаление десневого края | Незначительные изменения, возможно, небольшое снижение высоты костной ткани |
| Легкий пародонтит | Увеличение кровоточивости десен, образование пародонтальных карманов глубиной до 3 мм, незначительная подвижность зубов, увеличение глубины десневых борозд, рецессия десны | Небольшое снижение высоты альвеолярной кости, начальные признаки потери костной ткани |
| Средний пародонтит | Выраженная кровоточивость десен, образование пародонтальных карманов глубиной 4-6 мм, умеренная подвижность зубов, увеличение глубины десневых борозд, выраженная рецессия десны, гнойное отделяемое из пародонтальных карманов, ухудшение эстетики улыбки | Выраженное снижение высоты альвеолярной кости, увеличение глубины пародонтальных карманов, потеря костной ткани до 1/3 |
| Тяжелый пародонтит | Сильная кровоточивость десен, глубокие пародонтальные карманы (более 6 мм), значительная подвижность зубов, сильная рецессия десны, образование свищей, потеря зубов, изменение прикуса, неприятный запах изо рта | Значительное снижение высоты альвеолярной кости, увеличение глубины пародонтальных карманов, потеря костной ткани более 1/3, разрушение альвеолярных перегородок |
Симптомы пародонтита
Симптомы начальной стадии: вы можете почувствовать зуд и пульсацию в деснах, неприятный запах изо рта и дискомфорт при жевании.
Симптомы средней степени тяжести: опорная структура зуба ослабляется, зубы становятся подвижными, а их чувствительность возрастает. Дёсна часто кровоточат, особенно во время чистки, а также отекают и воспаляются.
Симптомы запущенной формы заболевания: выраженный болевой синдром. Вы можете испытывать общее недомогание и повышенную температуру тела, а жевание становится всё более затруднительным. Зубы значительно смещаются, и некоторые из них могут начать выпадать.
Пародонтит — это воспалительное заболевание десен, которое может привести к потере зубов, если его не лечить. Люди часто делятся своими переживаниями о симптомах, таких как кровоточивость десен, неприятный запах изо рта и подвижность зубов. Многие отмечают, что на ранних стадиях заболевание может протекать бессимптомно, что делает его особенно коварным. На более поздних этапах пациенты сталкиваются с болезненностью и отеками, что значительно ухудшает качество жизни. Некоторые рассказывают о том, как регулярные визиты к стоматологу и профессиональная гигиена помогли им справиться с проблемой. Важно понимать, что ранняя диагностика и своевременное лечение могут предотвратить серьезные последствия и сохранить здоровье зубов и десен.

Степени пародонтита
Степени пародонтита классифицируют по глубине пародонтального кармана, уровню рассасывания костной ткани и подвижности зубов.
Пародонтит легкой степени проявляется отсутствием подвижности зубов. Глубина пародонтального кармана составляет до 3,5 мм. Высота межзубных перегородок уменьшается не более чем на одну треть от их общей длины.
Пародонтит средней степени тяжести характеризуется подвижностью зубов 1–2-й степени, что приводит к их смещению и образованию промежутков. Глубина пародонтального кармана достигает до 5 мм, из него начинает выделяться гной. Высота межзубных перегородок уменьшается до половины их длины.
Пародонтит тяжелой степени проявляется подвижностью зубов 2–3-й степени, что может привести к полному дефекту зубных рядов. Из пародонтального кармана постоянно выделяется гной, а его глубина составляет 6 мм. Высота межзубных перегородок снижается более чем на половину их длины.
Лечение пародонтита: 7 эффективных процедур для борьбы с болезнью
Полностью избавиться от пародонтита невозможно, но игнорировать его проявления не стоит. Лечебные мероприятия могут улучшить здоровье дёсен, снизить воспаление и сохранить расшатавшиеся зубы. Чем раньше начнётся терапия, тем выше её эффективность.
При локализованном пародонтите страдают один или несколько зубов. Генерализованная форма заболевания затрагивает целый ряд зубов.
Генерализованный пародонтит представляет серьезную угрозу, так как может перейти в пародонтоз. Это часто происходит при хроническом течении болезни. Заболевание считается неизлечимым, и единственным выходом становится удаление расшатавшихся зубов с последующей установкой имплантатов. Современная стоматология предлагает возможность вживления искусственных корней в области атрофированных участков десны, что позволяет человеку вести полноценную жизнь, избегая эстетических дефектов и ограничений в питании, не подвергая свою пищеварительную систему дополнительным рискам. С дёснами и зубами, поражёнными пародонтозом, это невозможно.
Чтобы предотвратить развитие пародонтоза, важно своевременно лечить пародонтит. В следующем разделе мы представим 7 эффективных процедур, которые помогут улучшить состояние дёсен.

Удаление зубного налёта и камня
При первых признаках пародонтита важно незамедлительно обратиться к стоматологу для профессиональной чистки зубов. Специалист удалит зубной налёт и камень, способствующие воспалительным процессам. Рекомендуется проходить такую чистку не реже одного раза в полгода.
Методы проведения чистки:
-
Ультразвуковая чистка. Это наиболее распространённая процедура. Специальный аппарат генерирует ультразвуковые волны определённой частоты, воздействуя на зубы через наконечник. Стоматолог одновременно обрабатывает зубной ряд струёй воды. Ультразвук разрушает зубные отложения, а вода вымывает их из ротовой полости. Для этой процедуры используются аппараты Вектор или Вариус, что иногда позволяет избежать хирургического кюретажа дёсен.
-
Air Flow или пескоструйная чистка зубов. Этот метод включает смесь песка, воздуха и воды для удаления зубных отложений. Процедура эффективна даже для труднодоступных участков и часто комбинируется с ультразвуковой чисткой для достижения лучших результатов.
-
Ручная чистка. Зубы обрабатываются специальным инструментом с крючком на конце. Стоматолог аккуратно удаляет камень, находящийся под дёснами. Этот метод используется реже, так как считается устаревшим, но его можно комбинировать с ультразвуковой чисткой для повышения эффективности.
-
Химическая чистка. Этот метод применяется при наличии твёрдых и обширных зубных отложений. Врач использует специальные кислоты для их растворения. Однако стоит учитывать, что процедура может быть рискованной: если кислота попадёт на десны или зубную эмаль, это может привести к повреждениям. Тем не менее, в некоторых случаях другие методы не дают желаемого результата.
-
Лазерная чистка. Это современный и безопасный способ удаления зубного камня. Основной недостаток — высокая стоимость процедуры. Лазер эффективно справляется даже с самыми стойкими отложениями, уничтожая микробы и укрепляя зубную эмаль.
Кюретаж дёсен
Иногда для решения проблем с зубами недостаточно профессиональной чистки. В таких случаях стоматологи используют процедуру, известную как «кюретаж дёсен». Эта операция необходима, когда у пациента образуются значительные десневые карманы, а налёт находится глубоко под дёснами, что делает его удаление стандартными методами невозможным. Чистка в этом случае осуществляется вслепую, так как врач не видит, насколько глубоко расположены зубные отложения.
Кюретаж позволяет устранить десневые карманы, восстанавливая плотное прилегание десны к зубу и предотвращая инфицирование тканей ротовой полости. Перед началом процедуры пациенту вводят местный анестетик для минимизации дискомфорта.
Существует два основных метода проведения кюретажа:
- Открытый кюретаж. В этом случае врач делает разрез десны и отслаивает её от зуба, получая доступ к отложениям под ней. После их удаления доктор полирует зубы. При необходимости может быть выполнена подсадка искусственной кости для заполнения образовавшегося пространства. Затем десна возвращается на место, и на неё накладываются швы.
- Закрытый кюретаж. При этом методе десну не разрезают. Врач удаляет зубные отложения с помощью специальных инструментов. Эта процедура подходит для пациентов с десневыми карманами глубиной не более 3 мм.
Во время открытого кюретажа стоматолог также может провести лоскутную операцию для коррекции формы десны.
Медикаментозная коррекция
Прием медикаментов помогает устранить воспалительные процессы. Местное лечение включает компрессы и полоскания. В некоторых случаях пациенту может быть рекомендован системный прием лекарств.
Для полоскания ротовой полости подойдут растворы Хлоргексидина и Мирамистина. Также можно использовать отвары коры дуба, ромашки или шалфея. При кровоточивости десен на них следует наносить мазь Метрогил Дента. Антибиотики и противовоспалительные средства для внутреннего применения врач назначает индивидуально, учитывая особенности состояния пациента.
Физиотерапевтические процедуры
Если медикаментозное лечение дополнить физиотерапевтическими процедурами, это поможет быстрее решить проблему. Для снижения кровоточивости десен, а также для устранения болей и воспалительных процессов применяются методы магнитотерапии, электрофореза, дарсонвализации и ультрафиолетового лечения. Хорошие результаты также показывает массаж десен. Его можно проводить не только в медицинских учреждениях с использованием вакуумных аппаратов, но и в домашних условиях. Массаж выполняется подушечками пальцев или мягкой зубной щеткой.
Наиболее эффективным методом борьбы с пародонтитом считается ультразвуковая терапия. Она проводится с помощью аппаратов Vector и Varius. Эта процедура помогает избавиться от зубных отложений и способствует оздоровлению десен.
Шинирование зуба
Шинирование укрепляет подвижные зубы и предотвращает их выпадение. Расшатанные зубы соединяются с более стабильными с помощью шин или стекловолоконных нитей. Эти устройства устанавливаются на внутренней стороне зубов, создавая небольшую бороздку. Сверху конструкция покрывается композитным материалом, что делает её почти незаметной. Шина не вызывает дискомфорта у пациента.
Если зубной ряд поврежден, вместо шины используются съемные бюгельные протезы. Они имеют металлическую основу и фиксируются с помощью крючков. Эти протезы отличаются высокой прочностью и могут служить как для замены утраченных зубов, так и для стабилизации расшатанных.
Качественная гигиена ротовой полости
Пародонтит чаще всего возникает из-за недостаточного ухода за зубами и дёснами. Чтобы сохранить результаты лечения, необходимо уделять особое внимание гигиене полости рта.
Зубы следует чистить дважды в день: утром перед завтраком и вечером перед сном. Рекомендуется использовать зубную щётку со средней жесткостью щетины. Даже при воспалении дёсен не стоит переходить на мягкую щётку, так как она не сможет эффективно удалить налёт.
В процессе лечения полезно применять специальные лечебные пасты, которые помогут снять воспаление дёсен. Спустя месяц можно вернуться к обычным зубным пастам.
После каждого приёма пищи важно полоскать рот или использовать зубную нить. Если этого не делать, остатки пищи между зубами размягчатся и превратятся в зубной налёт, в котором бактерии размножаются очень быстро.
Для качественного очищения зубов в домашних условиях стоит использовать ирригатор. Он эффективно очищает межзубные пространства и мягко массирует дёсны, что способствует улучшению обменных процессов в тканях.
Чтобы поддерживать здоровье ротовой полости, одной ежедневной чистки зубов недостаточно. Стоматологи советуют хотя бы раз в год посещать кабинет гигиениста. Это поможет избавиться от твёрдых зубных отложений и предотвратить обострение пародонтита.
Для активизации восстановления дёсен и костных тканей, снижения воспаления и ускорения выздоровления применяются тромбоцитарные инъекции, изготовленные на основе собственной крови пациента.
Имплантация зубов
Полностью избавиться от пародонтита невозможно. Заболевание будет периодически обостряться, и в конечном итоге зубы могут выпасть. Однако при правильном лечении этот процесс может занять 10-20 лет или даже больше.
В некоторых случаях повреждения зубов бывают настолько серьезными, что их сохранить невозможно, и проще удалить. Ранее протезирование для пациентов с пародонтитом было недоступно, но современные достижения в стоматологии позволяют получать новые искусственные зубы. Имплантаты устанавливаются глубоко в костные ткани, которые не подвержены воспалению и разрушению. Уже на следующий день после установки пациент может самостоятельно жевать пищу.
Для пациентов с пародонтитом верхнего зубного ряда возможно проведение скуловой имплантации. В этом случае имплантаты вживляются не только в губчатый слой десны, но и в скуловые кости. Они имеют большую длину, что обеспечивает надежное крепление. Имплантаты не затрагивают носовые пазухи, располагаясь под углом и фиксируясь в скуловой кости, которая отличается высокой прочностью и не подвержена воспалительным процессам. После установки имплантатов на них фиксируется несъемный протез, имитирующий естественный зубной ряд.
Пациентам с пародонтитом рекомендуется обрабатывать ротовую полость отварами лечебных трав в домашних условиях. Однако профессиональная стоматологическая помощь не может быть заменена полосканиями. Воспалительный процесс может стать менее интенсивным, но не прекратится. Прогрессирование заболевания обязательно приведет к потере зубов. Поэтому при первых признаках пародонтита необходимо обратиться к стоматологу.
Вопрос-ответ
Как определить степень пародонтита?
Степень распространения воспалительного процесса или степень разрушения определяют с помощью индекса Сэндлер-Сталя (Sandler-Stahl): I = (К1 / К2) х 100%, где К1 – это количество зубов с поражением пародонта, а К2 – это общее число зубов.
Каковы симптомы пародонтита 4 степени?
Тяжелая степень пародонтита. Подвижность единиц доходит до 3-й или 4-й стадии. Десны пациента болят, и ему становится трудно жевать. Патология постоянно прогрессирует, что приводит к выраженному отеку десен с формированием абсцессов.
Каковы симптомы пародонтоза 1 степени?
Первая стадия пародонтоза. На первой стадии наблюдается дистрофия альвеолярных отростков, которая сопровождается зудом и жжением в деснах, появлением стойкого налета, повышением чувствительности. Видимые патологии и воспалительные процессы отсутствуют, но зубы не болят и не шатаются.
Сколько степеней у пародонтита?
Средняя степень пародонтита соответствует 1-2 степени подвижности зубов, при которых величина смещения зубов может составлять до 1 мм или более. При тяжелой степени пародонтита наблюдается смещение зубов 3-4 степени, при которых зуб может двигаться во всех направлениях и даже поворачиваться вокруг своей оси.
Советы
СОВЕТ №1
Регулярно посещайте стоматолога для профилактических осмотров. Это поможет выявить пародонтит на ранних стадиях и предотвратить его развитие.
СОВЕТ №2
Обратите внимание на гигиену полости рта. Чистите зубы дважды в день и используйте зубную нить, чтобы удалить остатки пищи и налет, которые могут способствовать развитию пародонтита.
СОВЕТ №3
Следите за своим питанием. Употребление продуктов, богатых витаминами C и D, а также кальцием, может укрепить десны и снизить риск заболеваний пародонта.
СОВЕТ №4
Обратите внимание на симптомы, такие как кровоточивость десен, неприятный запах изо рта и подвижность зубов. При их появлении немедленно обращайтесь к стоматологу для диагностики и лечения.










